изменения в костях таза

Пол пациента: 
Тип патологии: 
Область исследования: 
Методы исследования: 

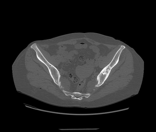
Добрый день уважаемые коллеги. Пришла сегодня на исследование молодая пациентка (37 лет), жалоб нет, есть  изменения в левой подвздошной кости, кортикальные слои сохранены, есть небольшое вздутие кости, по перефирии есть аналогичные, но гораздо меньшие изменения. До этого делала в другом заведении в 2014 году описали как участок кистовидной перестройки, судя по описанию размеры примерно такие же, может чуть чуть побольше. На что может быть похоже? заранее спасибо.

  • аксиалы
ID:64729
Цель публикации: 
И.Бондаренко аватар
Не на сайте
Был на сайте: 1 день 20 часов назад
Зарегистрирован: 13.09.2011 - 22:55
Публикации: 9206

А зачем пришла если жалоб нет? Деньги деть некуда? 

Alext аватар
Не на сайте
Был на сайте: 6 лет 9 месяцев назад
Зарегистрирован: 06.12.2011 - 23:32
Публикации: 331

Ну видимо на контроль пришла, в 2014 году нашли при обследовании, но без понятия зачем ее тогда смотрели если жалоб и тогда не было.  В анамнезе есть образование надпочечника по КТ-признакам доброкачественное с 2009 года, округлое, гиподенсивное с четкими ровными конутрами, не накапливающее контрастное вещество, но опять же не у нас обследовалась. Просто без понятия чего в заключение выносить.

Alext аватар
Не на сайте
Был на сайте: 6 лет 9 месяцев назад
Зарегистрирован: 06.12.2011 - 23:32
Публикации: 331

на фиброзно-кистозную дисплазию не может быть похоже?

maker4ik аватар
Не на сайте
Был на сайте: 8 лет 7 месяцев назад
Зарегистрирован: 19.10.2011 - 17:49
Публикации: 2682

Фиброзная дисплазия?

И.Бондаренко аватар
Не на сайте
Был на сайте: 1 день 20 часов назад
Зарегистрирован: 13.09.2011 - 22:55
Публикации: 9206

maker4ik wrote:

Фиброзная дисплазия?

Не исключено. Ещё думал о сакроилиите.

v1tal аватар
Не на сайте
Был на сайте: 4 года 9 месяцев назад
Зарегистрирован: 07.06.2008 - 19:41
Публикации: 1779

К маммологу бы ее отправить. 

"Знаешь, у некоторых врачей есть комплекс мессии — им необходимо спасать мир. А у тебя комплекс Рубика — тебе необходимо решать головоломки."

tatyana аватар
Не на сайте
Был на сайте: 4 года 1 месяц назад
Зарегистрирован: 24.06.2009 - 08:33
Публикации: 2090

maker4ik wrote:

Фиброзная дисплазия?

да

"самоуверенность дилетантов - предмет зависти профессионалов"

А. Горюнов аватар
Не на сайте
Был на сайте: 1 месяц 1 неделя назад
Зарегистрирован: 07.10.2012 - 12:12
Публикации: 2744

maker4ik wrote:

Фиброзная дисплазия?

+1 к фиброзной дисплазии.

Анатолий Петрович

Nela аватар
Не на сайте
Был на сайте: 6 лет 1 месяц назад
Зарегистрирован: 12.05.2009 - 20:43
Публикации: 1847

Я тоже за фиброзную дисплазию.