Изменения в лёгких.

Пол пациента: 
Методы исследования: 

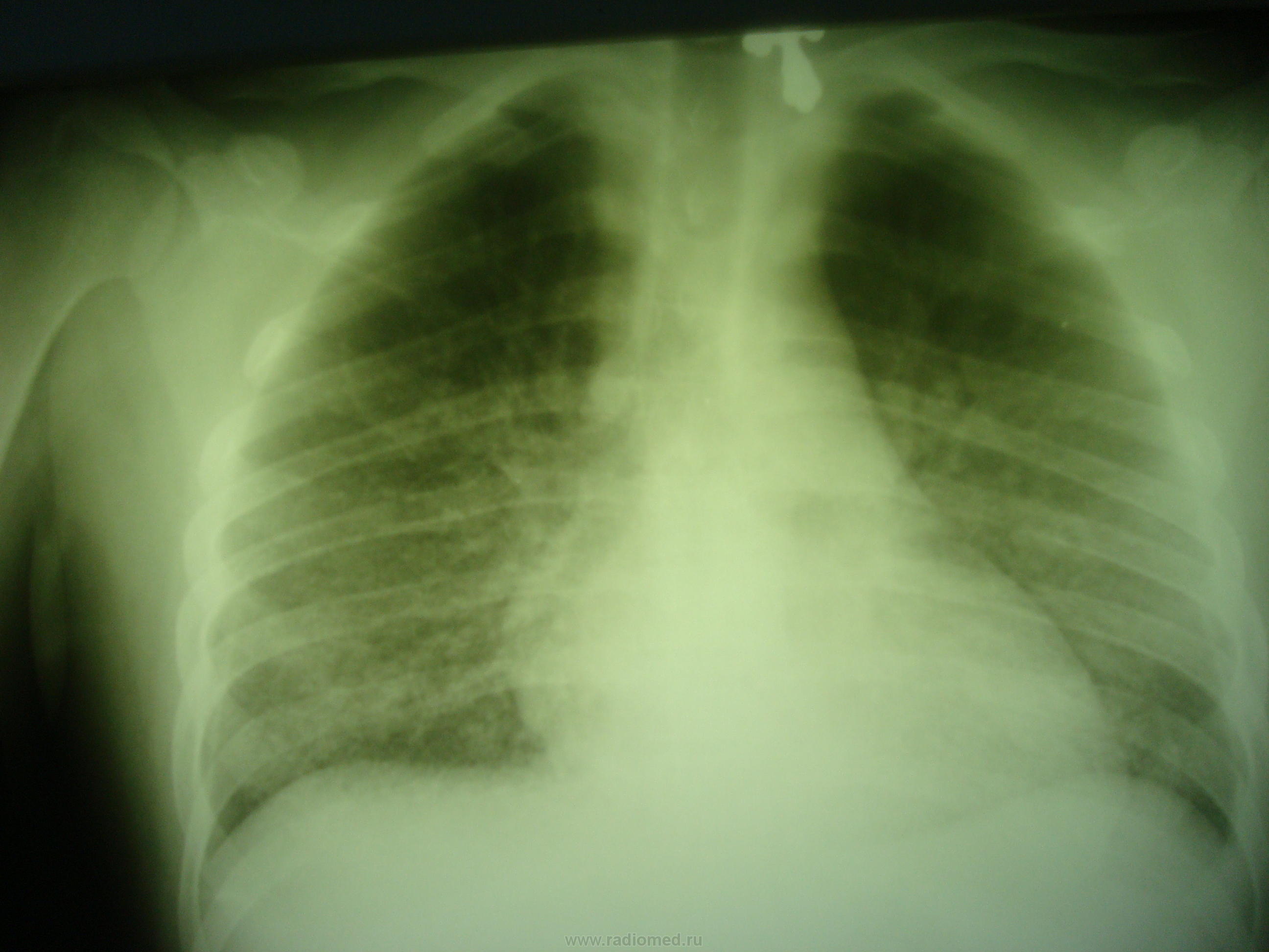
Пациент 21 год.Находился на лечении в гематолгическом отделении. DS Острый лейкоз.При поступлении в отделение 22..07.2013г выполенена R-грамма лёгких в прямой проекции.С 24.07.2013г появилсь лихорадка 38-39 градусов. 27.07 .2013года была выполена контрольная R-графия лёгких в 2-х проекциях. Состояние ухудшалось, появилась одышка 28.07.2013г. контрольная R-графия лёгких. Как можно расценить найденные в лёгих изменения?

  • https://radiomed.ru/sites/default/files/styles/case_slider_image/public/user/406/27__iyulya_2013g.jpg?itok=CMn_Prg3
  • https://radiomed.ru/sites/default/files/styles/case_slider_image/public/user/406/27_iyulya_bokovoy.jpg?itok=9gP-AkAg
  • https://radiomed.ru/sites/default/files/styles/case_slider_image/public/user/406/28_iyulya_pryamaya_proekciya.jpg?itok=rUUhYrYL
  • https://radiomed.ru/sites/default/files/styles/case_slider_image/public/user/406/28_iyulya_levyy_bokovoy.jpg?itok=pT4Sbzbk
ID:30335
Nikolas аватар
Не на сайте
Был на сайте: 1 месяц 3 недели назад
Зарегистрирован: 21.12.2010 - 20:37
Публикации: 4559

связанная с лейкозом. Очаги и фокусы в легких определяются с обеих сторон в средних и нижних отделах с реакцией междолевой плевры.  Лечить основное заболевание и пневмонию. Не исключаю и лекарственное поражение легочной ткани. 

Almo аватар
Не на сайте
Был на сайте: 1 день 11 минут назад
Зарегистрирован: 28.09.2008 - 18:50
Публикации: 8259

Пульмонологи на момент 27.07.2013г., в нижнем поле  слева выслушивали влажные хрипы,  которы были расценены, как проявление пневмонии.

maker4ik аватар
Не на сайте
Был на сайте: 8 лет 7 месяцев назад
Зарегистрирован: 19.10.2011 - 17:49
Публикации: 2682

2сторонняя пневмония.

Mila85 аватар
Не на сайте
Был на сайте: 3 года 1 месяц назад
Зарегистрирован: 15.03.2012 - 16:59
Публикации: 1790

Двустороннее усиление легочного рисунка за счет интерстициального компонента, мелкие очаги. Не исключено, что это лейкемоидные инфильтраты, особенно если бластов много в анализе крови

Almo аватар
Не на сайте
Был на сайте: 1 день 11 минут назад
Зарегистрирован: 28.09.2008 - 18:50
Публикации: 8259

При посеве крови на стерильность, получили грибы рода Candida.

Mila85 аватар
Не на сайте
Был на сайте: 3 года 1 месяц назад
Зарегистрирован: 15.03.2012 - 16:59
Публикации: 1790

Получается, что пациент уже получал х/т лечение, на фоне иммунодефицита после лечения развилось? 

Almo аватар
Не на сайте
Был на сайте: 1 день 11 минут назад
Зарегистрирован: 28.09.2008 - 18:50
Публикации: 8259

Да, наверняка получал химиотерапию.Но, всех деталей пока представить не могу.

Nikolas аватар
Не на сайте
Был на сайте: 1 месяц 3 недели назад
Зарегистрирован: 21.12.2010 - 20:37
Публикации: 4559

указано, что у таких больных пневмонию могут вызвать часто грамотрицательные микрорганизмы. Встречаются и случаи грибкового поражения ( кандидоз, аспергиллез и др.).

Almo аватар
Не на сайте
Был на сайте: 1 день 11 минут назад
Зарегистрирован: 28.09.2008 - 18:50
Публикации: 8259

Как я понимаю, если кровь нестерильна-это уже сепсис.Есть ли на R-граммах признаки характерные для поражения лёгких при сепсие или всю R-семиотику можно объяснить проявлениями пневмонии? Или картину измений в лёгких можно трактовать как-то иначе? Дело в том, что как уже указывал выше, 28.07.2013г. на фоне лихорадки, состояние пациента ухудшилось, появилась нарастающая одышка, был переведён в реанимационное отделение, проводились реанимационные мероприятия, но несмотря на это, наступил летальный исход. Вскрытия не было ( обязательно  в таких случиях, бывает прижизненнное гистологическое подтвержение основного диагноза, методом стернальной пункции).

Mila85 аватар
Не на сайте
Был на сайте: 3 года 1 месяц назад
Зарегистрирован: 15.03.2012 - 16:59
Публикации: 1790

http://radiology.rsna.org/content/236/1/332.full.pdf+html

Если в крови гриб нашли, то при такой картине наверное была гематогенная диссеминация

Almo аватар
Не на сайте
Был на сайте: 1 день 11 минут назад
Зарегистрирован: 28.09.2008 - 18:50
Публикации: 8259

Спасибо, за ссылку!yes Хоть и есть, как всегда, проблема языкового барьера (переводчик Google, не перевёл то, что в таблице, остальное перевёл грубовато, но суть ясна);  совсем по другому стал смотреть на представленный случай.У данного пациента, на фоне химиотерапии острого лейкоза, развилась иммуносупрессия, следствием которой, явилась септическая  грибковая ( кандидозая )пневмония, в виде милиарной диссеминации. Ну, где-то так, можно представить  патогенетическую цепочку исходя из статьи. Кончно если бы было КТ исследование лёгких  (как  это представлено в статье), информация по субстрату изменений лёгких была бы точнее.

Mila85 аватар
Не на сайте
Был на сайте: 3 года 1 месяц назад
Зарегистрирован: 15.03.2012 - 16:59
Публикации: 1790

Да, скорее всего так оно и было.. Одно время подрабатывала на гематологии - у многих во время химиотерапии в легких заводилась всякая дрянь, особенно часто аспергиллез