Сегодня подобный случай был, по боковому мало к чему придраться, а по прямому - да, есть. Я бы поставил справа внизу, к тому же учитывая сезон "вирусных"...
Сегодня подобный случай был, по боковому мало к чему придраться, а по прямому - да, есть. Я бы поставил справа внизу, к тому же учитывая сезон "вирусных"...
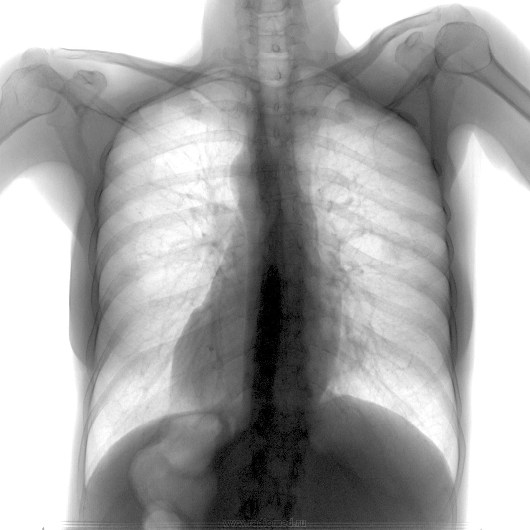
Но инфильтрат есть и в среднем отделе! А как Вам их форма, не "круглит"?
Сегодня подобный случай был, по боковому мало к чему придраться, а по прямому - да, есть. Я бы поставил справа внизу, к тому же учитывая сезон "вирусных"...
Но инфильтрат есть и в среднем отделе! А как Вам их форма, не "круглит"?
"Круглит"... А леч.врач ничего не говорит? Клиника, кровь, там неизвестно ничего ? Что ж, с нетерпением будем ждать ПН
Пневмония? На боку не нашел... А зачем боковой в бюстгалтере?)))
С уважением,
Повертеть на скопии?
Очевидно лаборанту "показалось", что он не помешает (беседу провел
)
Да, боковой в этом плане "слабоват"...но это не факт, что все чисто))))
Болезни ног: виды, симптомы, причины, профилактика и лечение
Вроде бы пневмония есть.А это бумага?
Какая "бумага"?...что то не понял....
Болезни ног: виды, симптомы, причины, профилактика и лечение
Сегодня подобный случай был, по боковому мало к чему придраться, а по прямому - да, есть. Я бы поставил справа внизу, к тому же учитывая сезон "вирусных"...
Ну в смысле-бумажный носитель?Как то очень много белого.
Да нет, прямо с цифрового ФГ...разве что формат поменял...может из за этого "посветлело"))))
Болезни ног: виды, симптомы, причины, профилактика и лечение
Но инфильтрат есть и в среднем отделе! А как Вам их форма, не "круглит"?
Болезни ног: виды, симптомы, причины, профилактика и лечение
Форма действительно круглая.
Это то меня и "смутило". У этой истории есть продолжение...но...только в понедельник уже.....
Болезни ног: виды, симптомы, причины, профилактика и лечение
"Круглит"... А леч.врач ничего не говорит? Клиника, кровь, там неизвестно ничего ? Что ж, с нетерпением будем ждать ПН
в дифф. диагноз добавил бы туберкулему.
Одну?)))
Болезни ног: виды, симптомы, причины, профилактика и лечение
Виктор Григорьевич, а линейку делали?
Нет...уже прямо КТ...что тянуть...у нас в городе их три...так что с доступностью более или менее)))
Болезни ног: виды, симптомы, причины, профилактика и лечение
Вообще, вижу две округлые тени. Вторая в 10 сегменте.
Вобщем мне тоже тени "показались" курглыми. Учитывая это, "смазанную" книку воспалени для исключения метастатического поражения была проведена КТ.
Болезни ног: виды, симптомы, причины, профилактика и лечение
И что КТ показало?
В понедельник))) все данные на рабочем компе))))
Болезни ног: виды, симптомы, причины, профилактика и лечение
С нетерпением ждём.
Вот снимок из архива за 2012 год и несколько самых показательных слайдов КТ за 2013 год (через дней пять-семь после ФГ)
Болезни ног: виды, симптомы, причины, профилактика и лечение
А описание?
Не было бы у меня сомнений на счет описания, не стал бы и случай выставлять)))..... "пневмония? рак?" - где то так примерно))))
Болезни ног: виды, симптомы, причины, профилактика и лечение
Подождем тех, кто разбирается.