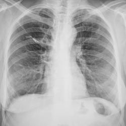
Пол пациента: Женский пол Тип патологии: Другое Область исследования: Грудная клетка и верхние дыхательные пути Методы исследования: Rg Какие мнения будут по снимку? https://radiomed.ru/sites/default/files/styles/case_slider_image/public/user/12/12.dscn0592a.jpg?itok=BSdOZYlK ID:24532 Чт, 15/11/2012 - 18:44 #1 Андрей Багаев Не на сайте Был на сайте: 11 лет 2 месяцев назад Зарегистрирован: 28.01.2011 - 19:14 Публикации: 57 оеперированное правое легкое. что с рисунком-фиброзная деформация? Чт, 15/11/2012 - 19:23 #2 Петр Николаевич Не на сайте Был на сайте: 3 года 10 месяцев назад Зарегистрирован: 15.03.2011 - 13:22 Публикации: 150 Андрей Багаев wrote: оеперированное правое легкое. что с рисунком-фиброзная деформация? танталовые швы, скорее всего оперативное вмешательство по поводу туберкулеза (удаление туберкулемы, каверны). Пт, 16/11/2012 - 12:42 #3 RuslanChupanov Не на сайте Был на сайте: 3 года 11 месяцев назад Зарегистрирован: 23.08.2011 - 13:01 Публикации: 31 Глаз цепляется за верхушку левого легкого, мерещится округлое образование...Приложения: Пт, 16/11/2012 - 13:24 #4 Nikolas Не на сайте Был на сайте: 2 месяцев 1 неделя назад Зарегистрирован: 21.12.2010 - 20:37 Публикации: 4559 RuslanChupanov. Сб, 17/11/2012 - 11:13 #5 Гаврилов Кирилл... Не на сайте Был на сайте: 7 лет 10 месяцев назад Зарегистрирован: 03.11.2009 - 21:50 Публикации: 87 RuslanChupanov wrote: Глаз цепляется за верхушку левого легкого, мерещится округлое образование... Да, что-то есть. Нужно томографить. Рентгеновы лучи никогда не ошибаются. Ошибаемся мы, переводя их на свой язык
оеперированное правое легкое. что с рисунком-фиброзная деформация?
танталовые швы, скорее всего оперативное вмешательство по поводу туберкулеза (удаление туберкулемы, каверны).
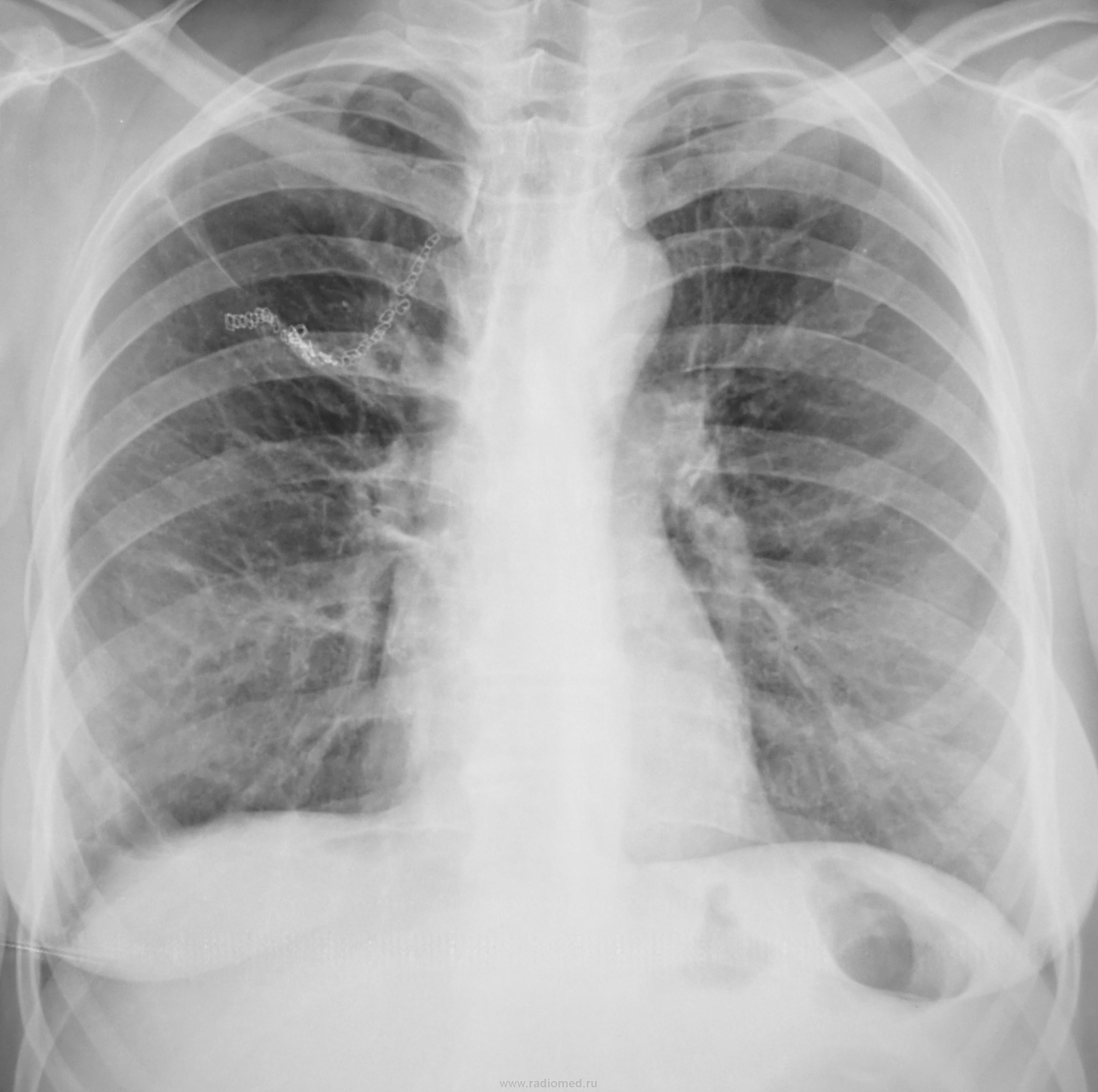
Глаз цепляется за верхушку левого легкого, мерещится округлое образование...
RuslanChupanov.
Да, что-то есть. Нужно томографить.
Рентгеновы лучи никогда не ошибаются. Ошибаемся мы, переводя их на свой язык