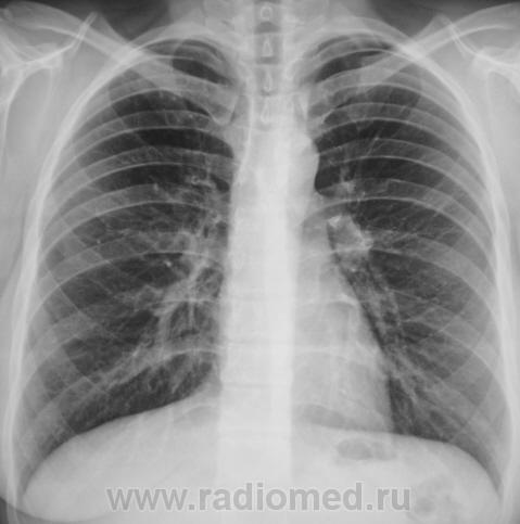
Какие мнения, уважаемые коллеги, будут по рентгенограмме?

Пол пациента: 
Тип патологии: 
Методы исследования: 

Какие мнения, уважаемые коллеги, будут по рентгенограмме?

  • https://radiomed.ru/sites/default/files/styles/case_slider_image/public/user/12/2.pb260045.jpg?itok=drvkXgG3
ID:9454
Николай аватар
Не на сайте
Был на сайте: 2 года 9 месяцев назад
Зарегистрирован: 29.05.2009 - 04:38
Публикации: 554

я думаю здесь норма

stovbav аватар
Не на сайте
Был на сайте: 2 года 2 месяцев назад
Зарегистрирован: 20.12.2009 - 17:28
Публикации: 7066

Зоны интереса:

1. На уровне переднего отрезка 1-го ребра справа (под ключицей) - подозрение на очавую тень

2. На уровне переднего отрезка 4-го ребра справа - похоже на консолидированый перелом.

Катенёв Валентин Львович аватар
Не на сайте
Был на сайте: 7 лет 3 недели назад
Зарегистрирован: 22.03.2008 - 22:15
Публикации: 54876

stovbav wrote:

Зоны интереса:

1. На уровне переднего отрезка 1-го ребра справа (под ключицей) - подозрение на очавую тень

2. На уровне переднего отрезка 4-го ребра справа - похоже на консолидированый перелом.

Здравствуйте!

Какую тактику или, "что" предложите?

stovbav аватар
Не на сайте
Был на сайте: 2 года 2 месяцев назад
Зарегистрирован: 20.12.2009 - 17:28
Публикации: 7066

Здравствуйте, уважаемый Валентин Львович!

Томограмма верхушки справа (1-2 среза 6-7 см); есть очаг - в работу, нет - значит повезло.....

С 4-м ребром можно не заморачиваться.

Катенёв Валентин Львович аватар
Не на сайте
Был на сайте: 7 лет 3 недели назад
Зарегистрирован: 22.03.2008 - 22:15
Публикации: 54876

Ниже томограммы верхушек.

[[wysiwyg_imageupload:723:]][[wysiwyg_imageupload:724:]][[wysiwyg_imageupload:725:]][[wysiwyg_imageupload:726:]]

Катенёв Валентин Львович аватар
Не на сайте
Был на сайте: 7 лет 3 недели назад
Зарегистрирован: 22.03.2008 - 22:15
Публикации: 54876

Томограммы добавлены.

stovbav аватар
Не на сайте
Был на сайте: 2 года 2 месяцев назад
Зарегистрирован: 20.12.2009 - 17:28
Публикации: 7066

Что и следовало доказать - к фтизиатрам (хотя очег и несколько плотноват...или я не прав?)

Катенёв Валентин Львович аватар
Не на сайте
Был на сайте: 7 лет 3 недели назад
Зарегистрирован: 22.03.2008 - 22:15
Публикации: 54876

Конечно, Вы правы. По прямой дороге потопал пациент к фтизиатру, а фтизиатр принял его, как родного...

stovbav аватар
Не на сайте
Был на сайте: 2 года 2 месяцев назад
Зарегистрирован: 20.12.2009 - 17:28
Публикации: 7066

Один снимок..пару томограмм...все цифра....все в архиве ...и что теперь сказать о дозе....wink...

Раньше и не мечтали...

Катенёв Валентин Львович аватар
Не на сайте
Был на сайте: 7 лет 3 недели назад
Зарегистрирован: 22.03.2008 - 22:15
Публикации: 54876

Уважаемый Виктор Григорьевич!

Да дело даже не в дозе. По всей видимости, дело в раннем выявлении той или иной патологии, а если, и не в раннем, то хотя-бы в адекватном и не "запущенном" выявлении. Мы, как и все, руководствуемся регламентом, а регламент в "дозном векторе" один - СаН ПиН. У нас тут некоторые молодые коллеги гневно заклеймили нас, хотя СаН ПиН, и в руках не держали, а если-бы врубились, то поняли, что все рентгенологические исследования "по дозности" разделены на три группы:

1. Профилактические.

2. По клиническим показаниям.

3. По жизненным показаниям.

А, если-бы, врубились в допустимые "пределы доз" в этих группах, но не "варнякали" по - незнанию и не отвечали-бы пациентам таким "гнусным образом".

Отвратительным является то, что эти "клеймители" допущены к самостоятельной работе руководством отделения и ЛПУ без даже ознакомления с основным документом регламентирующим работу отделений лучевой диагностики.

stovbav аватар
Не на сайте
Был на сайте: 2 года 2 месяцев назад
Зарегистрирован: 20.12.2009 - 17:28
Публикации: 7066

Я это и имел ввиду, "подмигивая" Вам в предыдущем посте. Просто не хотел "шевелить" тему, где у специалистов вопросов быть не должно, должно быть только четкое понимание - что и зачем я делаю. Спасибо за случай.

Катенёв Валентин Львович аватар
Не на сайте
Был на сайте: 7 лет 3 недели назад
Зарегистрирован: 22.03.2008 - 22:15
Публикации: 54876

Спасибо за коммент, но "эту тему" мы шевелить будем, да её и надо шевелить. А, то в ряде случаев "батьки" в течение года, по нескольку раз (не по два) и стопы, и позвоночник, и КТ и рентгенологическое исследование желудка (дабы найти, может язву), и внутривенку (а может что-то), чтобы "сынок" в Армию не пошел, о дозе тогда забывают.

Просто, докторам, врачам-рентгенологам стоит давать объективный коммент, а не "от балды", как выражается наша глубоко - и многоуважаемая интерн Дарья...