Грыжа пищеводного отверстия диафрагмы

Пол пациента: 
Тип патологии: 
Область исследования: 
Методы исследования: 

Пациент ж, возраст – 56 лет

Клиника Пациентка временами предъявляет жалобы на дисфагию, загрудинные боли, по поводу чего неоднократно обращалась к терапевтам и кардиологам. На ЭКГ – данных за ИБС не выявлено.

Пациентка направлена на исследование в связи с вышеуказанными жалобами.

Рентгенологическое исследование проведено по стандартной методике (на РДК на 3 рабочих места – «Вироматик».


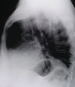
Протокол рентгенологического исследования. Со стороны органов грудной полости патологических изменений не выявлено. Глотка, пищевод и кардия свободно проходимы. Пищевод обычного расположения, формы и размеров, контуры его ровные, четкие. Желудок обычного расположения, формы и размеров. При натуживании, пальпации за экраном и в положении Тренделенбурга фиксируется пролабирование части желудка (иллюстрация 1) в грудную полость. При переводе пациентки в вертикальное положение грыжа пищеводного отверстия диафрагмы «самостоятельно вправляется».

 

1
1

 

 

 

 

 

 

 

 

Заключение (выводы):  Функциональная недостаточность пищеводного отверстия диафрагмы, скользящая (не фиксированная) грыжа пищеводного отверстия диафрагмы с пролабированием части желудка в грудную полость.

Литературная справка. Как отмечает ряд авторов, грыжи пищеводного отверстия диафрагмы, перестали быть редкостью в рентгенодиагностике.  Большой вклад в изучение данной патологии внесли отечественные ученые  – А.И. Айзенштат, Е.М. Каган, Б.В. Петровский, Н.Н. Каншин, И.Л. Тагер, А.А. Липко и многие другие. Штейн и Финкельштейн детально описали признаки скользящей грыжи пищеводного отверстия диафрагмы.

Е.М. Каган, на большом количестве изученного материала, пришел к выводу, что на рентгенологические исследования пациентов направляли «по поводу различных заболеваний», и в результате именно рентгенологического исследования была диагностирована данная патология.

     В литературе, имеется значительное количество сообщений, которые свидетельствуют, что грыжа пищеводного отверстия диафрагмы, чаще всего выявляется после 50 лет, что связано с инволютивными процессами, которые сопровождаются слабостью  сухожильно-связочного аппарата. В части работ указывается, что важную роль в образовании грыжи пищеводного отверстия диафрагмы (ГПОД) играют травма и различные причины, временно или стойко повышающие внутрибрюшное давление. Также одним из факторов, способствующих развитию ГПОД, являются искривления позвоночника, которые приводят к нарушению топографо-анатомических соотношений структурных элементов, образующих пищеводное отверстие.

Авторы указывают, что при ГПОД наиболее частыми клиническими симптомами являются боли в эпигастральной области и за грудиной, изжога, срыгивания, дисфагия, боли в области сердца, анемия. Одним из важных, а иногда и единственным клиническим симптомом ГПОД является длительная стойкая вторичная анемия.

Большинство авторов делят ГПОД на две основные группы:

- скользящие;

- фиксированные.

В вертикальном положении скользящие (не фиксированные) ГПОД постепенно вправляются, т.е. желудок занимает своё обычное положение.

Фиксированная грыжа, как правило, переместившись в заднее средостение, никогда полностью не опускаются в брюшную полость.

Довольно часто при исследовании органов грудной полости, особенно в «косом положении», можно обнаружить на фоне сердечной тени «полостное образование», которое при контрастировании оказывается ГПОД.

 

2
2
3
3
4
4
5
5

 

 

 

Нами неоднократно обнаруживался данный феномен, при расшифровке цифровых флюорограмм (иллюстрации 2, 3, 4, 5). В последующем, при исследовании органов ЖКТР выявлялась ГПОД.

Иллюстрация 2. Тень сердца несколько смещена вправо, резко выраженный гиперпневматоз под левым куполом диафрагмы. На фоне сердечной тени базально «полостное образование».

Иллюстрация 3. Слева базально и латерально определяется некоторое снижение прозрачности легочной ткани. Рядом с сердечной тенью определяется тонкостенное «полостное образование».

Иллюстрация 4. На левой боковой цифровой флюорограмме базально, в заднем средостении дифференцируется несколько «полостных образований»

Иллюстрация 5. На боковой цифровой флюорограмме в задне-нижнем средостении определяется «полостное образование». Дан «глоток» водной взвеси сернокислого бария – задняя стенка «полостного образования» импергнирована барием.

По данным литературы, все симптомы, встречающиеся при ГПОД, делятся на прямые и косвенные симптомы.

Прямые признаки.

1. Наличие в заднем средостении над диафрагмой ограниченного просветления с горизонтальным уровнем жидкости или без него, меняющегося по форме и величине в различные фазы дыхания, при натуживании, при компрессии брюшной полости, и в разные «временные промежутки».

2. Появление в заднем средостении над диафрагмой при натуживании, при наклонах, переведении в горизонтальное положение (или в положение Тренделенбурга) депо бариевой взвеси, которое меняется по форме и величине, и сообщается с частью желудка, расположенной под диафрагмой.

3. Наличие в области пищеводного отверстия диафрагмы типичных складок слизистой оболочки желудка, как бы соединяющих часть желудка, расположенного над диафрагмой, с частью желудка, расположенного под диафрагмой.

Косвенные симптомы.

 

1. Отсутствие или уменьшение, особенно «исчезновение» газового пузыря желудка в процессе исследования или перемещение его частично или полностью в заднее средостение и появление «двух газовых пузырей».

2. Удлинение, дугообразное искривление, извитость наддиафрагмальной части пищевода, с одновременным перемещением его абдоминального отдела в средостение.

3. Перемещение части слизистой оболочки желудка в дистальный отдел пищевода.

4. Смещение или поворот сердца вокруг продольной оси.

5. Уплощение свода желудка

6. Уменьшение размеров желудка, смещение его вправо, ограничение подвижности желудка.

ВложениеРазмер
Иконка изображения 129.47 КБ
Иконка изображения 236.83 КБ
Иконка изображения 336 КБ
Иконка изображения 443.14 КБ
Иконка изображения 532.46 КБ