Контроль после флюорографии 2.

Пол пациента: 
Тип патологии: 
Методы исследования: 

При расшифровке флюорограмм пациент взят на контроль.

Произведено стандартное дообследование.

  • https://radiomed.ru/sites/default/files/styles/case_slider_image/public/user/12/42..P4280002.JPG?itok=eRysW6sD
  • https://radiomed.ru/sites/default/files/styles/case_slider_image/public/user/12/43..P4280002a.jpg?itok=xvALGdT4
  • https://radiomed.ru/sites/default/files/styles/case_slider_image/public/user/12/44..P4280005.JPG?itok=eSXQi5o3
  • https://radiomed.ru/sites/default/files/styles/case_slider_image/public/user/12/45..P4280005a.jpg?itok=onX4esQd
  • https://radiomed.ru/sites/default/files/styles/case_slider_image/public/user/12/46..P4280006.JPG?itok=yFSzSIWb
  • https://radiomed.ru/sites/default/files/styles/case_slider_image/public/user/12/47..P4280006a.jpg?itok=vr2avHhZ
  • https://radiomed.ru/sites/default/files/styles/case_slider_image/public/user/12/48..P4280007.JPG?itok=NcsFGqA-
  • https://radiomed.ru/sites/default/files/styles/case_slider_image/public/user/12/49..P4280008.JPG?itok=9EvzwB_8
  • https://radiomed.ru/sites/default/files/styles/case_slider_image/public/user/12/50..P4280008a.jpg?itok=qqY5uJwN
ID:3430
lupan аватар
Не на сайте
Был на сайте: 6 лет 10 месяцев назад
Зарегистрирован: 07.01.2010 - 17:17
Публикации: 1406

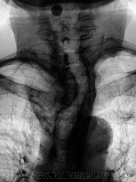
Экспансивно растущее об"емное образование верхнего средостения, неоднородной структуры за счет включений кальция. Состоит ли на учете у эндокринолога? Похоже на "ныряющий" зоб.

Великое преймущество врача заключается в том, что он не обязан следовать собственным советам. ( А. Кристи)

Катенёв Валентин Львович аватар
Не на сайте
Был на сайте: 7 лет 2 недели назад
Зарегистрирован: 22.03.2008 - 22:15
Публикации: 54876

На учете не состоит. О патологическом процессе ранее было ничего не известно. "Выцепили" сегодня, сегодня и дообследовали.

lupan аватар
Не на сайте
Был на сайте: 6 лет 10 месяцев назад
Зарегистрирован: 07.01.2010 - 17:17
Публикации: 1406

Здравствуйте, Валентин Львович. Скопически не смотрели? При глотании?

Великое преймущество врача заключается в том, что он не обязан следовать собственным советам. ( А. Кристи)

Катенёв Валентин Львович аватар
Не на сайте
Был на сайте: 7 лет 2 недели назад
Зарегистрирован: 22.03.2008 - 22:15
Публикации: 54876

Здравствуйте!

Скопически не смотрел, шел "большой поток". Пациент женского пола - "божий одуванчик", весьма преклонного возраста, лежит в терапии с диагнозом "ИБС". Хотя, после Вашего коммента появилась мысль - а почему-бы не взять за экран? Пациентка "под боком", в отделении.

lupan аватар
Не на сайте
Был на сайте: 6 лет 10 месяцев назад
Зарегистрирован: 07.01.2010 - 17:17
Публикации: 1406

Может, кто-нибудь еще какую дельную мысль подбросит.

Великое преймущество врача заключается в том, что он не обязан следовать собственным советам. ( А. Кристи)

Грицько Виталий аватар
Не на сайте
Был на сайте: 8 лет 12 месяцев назад
Зарегистрирован: 05.01.2010 - 14:06
Публикации: 1058

lupan wrote:

Может, кто-нибудь еще какую дельную мысль подбросит.

А что тут подбросиш- узи.

Игорь Иванович аватар
Не на сайте
Был на сайте: 3 года 9 месяцев назад
Зарегистрирован: 23.01.2010 - 14:56
Публикации: 3695

Ох уж эти божьи одуванчики, за свою вековую бытность такого насобирают... Можно все копья поламать, а выйдут пустые хлопоты.

stovbav аватар
Не на сайте
Был на сайте: 2 года 2 месяцев назад
Зарегистрирован: 20.12.2009 - 17:28
Публикации: 7066

Думаю, что не "ныряющий", а конкретно "нырнувший", да там и "заночевавший" загрудинный зоб, включения кальция ничего хорошего не сулят. Согласен - УЗИ с, при необходимости,  биопсией.

v1tal аватар
Не на сайте
Был на сайте: 4 года 9 месяцев назад
Зарегистрирован: 07.06.2008 - 19:41
Публикации: 1779

 Следует провести R-скопию, а желательно ещё и с рентген-контрастным веществом.

"Знаешь, у некоторых врачей есть комплекс мессии — им необходимо спасать мир. А у тебя комплекс Рубика — тебе необходимо решать головоломки."