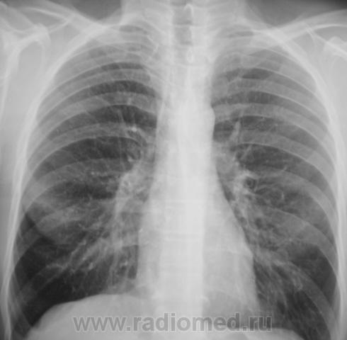
Контроль после флюорографии... и динамика....

Пол пациента: 
Тип патологии: 
Методы исследования: 

Контроль после флюорографии... и динамика....

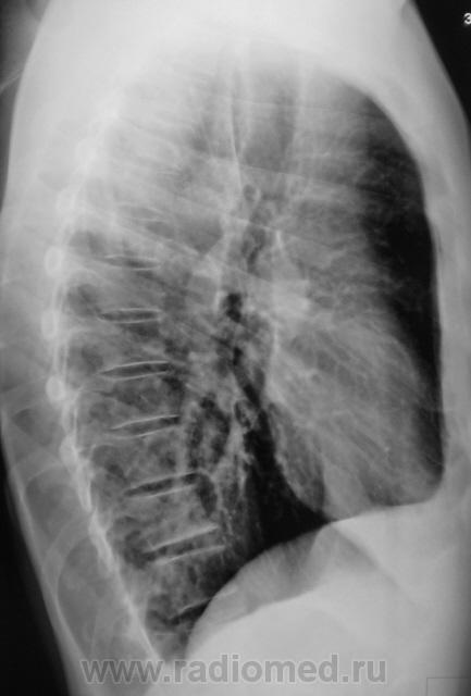
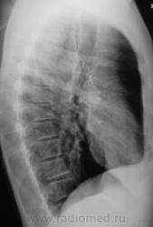
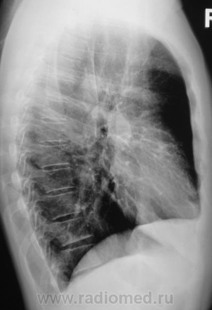
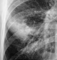
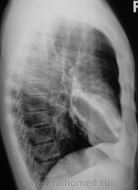
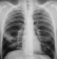
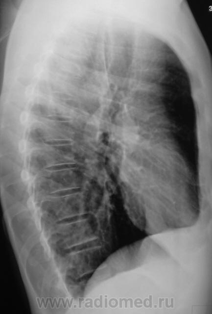
Первое исследование.

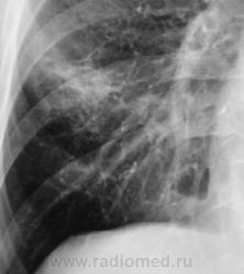
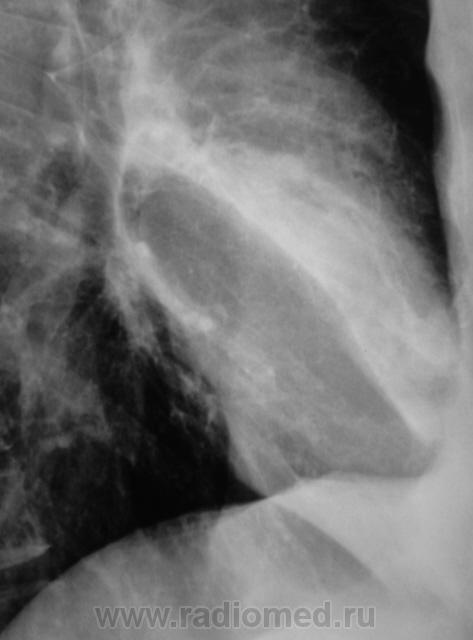
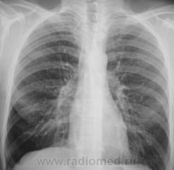
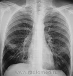
Контроль через 1 месяц после противовоспалительной терапии.

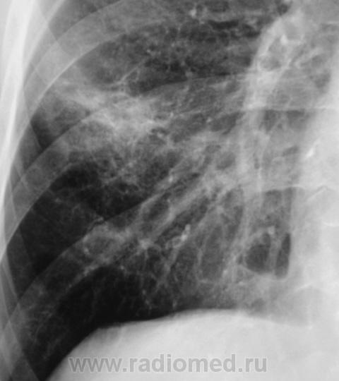
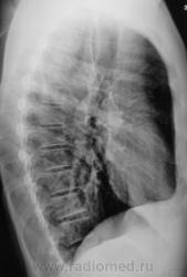
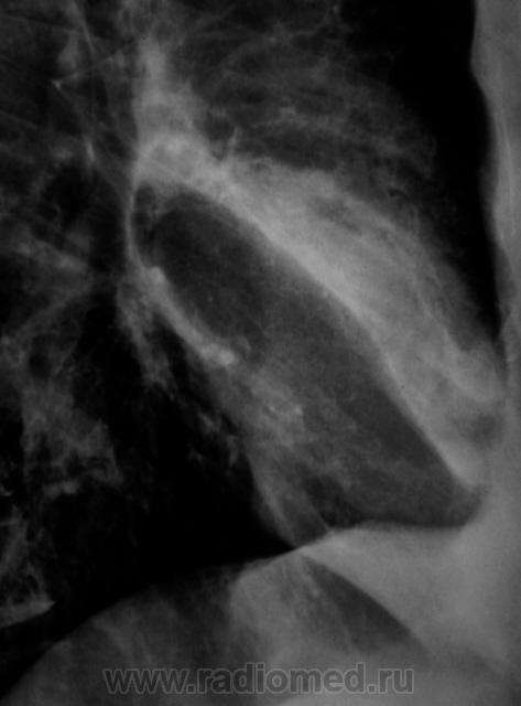
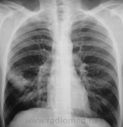
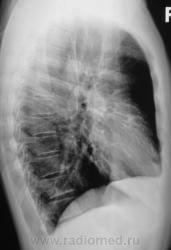
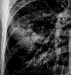
Еще контроль через 1 месяц.

  • https://radiomed.ru/sites/default/files/styles/case_slider_image/public/user/12/2.pc170018.jpg?itok=wrzw_iCq
  • https://radiomed.ru/sites/default/files/styles/case_slider_image/public/user/12/3.pc170018a.jpg?itok=CSa35grI
  • https://radiomed.ru/sites/default/files/styles/case_slider_image/public/user/12/4.pc170018ab.jpg?itok=8VxRWHYb
  • https://radiomed.ru/sites/default/files/styles/case_slider_image/public/user/12/5.pc170018abv.jpg?itok=iyHIL8AI
  • https://radiomed.ru/sites/default/files/styles/case_slider_image/public/user/12/6.pc170019.jpg?itok=1IuRrfcB
  • https://radiomed.ru/sites/default/files/styles/case_slider_image/public/user/12/7.pc170020.jpg?itok=lvevo_9S
  • https://radiomed.ru/sites/default/files/styles/case_slider_image/public/user/12/8.pc170020a.jpg?itok=omKvM6to
  • https://radiomed.ru/sites/default/files/styles/case_slider_image/public/user/12/9.pc170021.jpg?itok=C1ysryyK
  • https://radiomed.ru/sites/default/files/styles/case_slider_image/public/user/12/10.pc170022.jpg?itok=kJiVFDTE
  • https://radiomed.ru/sites/default/files/styles/case_slider_image/public/user/12/11.pc170022a.jpg?itok=jBX__v0E
  • https://radiomed.ru/sites/default/files/styles/case_slider_image/public/user/12/12.pc170022ab.jpg?itok=fz7GkhNj
  • https://radiomed.ru/sites/default/files/styles/case_slider_image/public/user/12/13.pc170023.jpg?itok=Tb6yNq7W
  • https://radiomed.ru/sites/default/files/styles/case_slider_image/public/user/12/14.pc170024.jpg?itok=9jPsep1J
  • https://radiomed.ru/sites/default/files/styles/case_slider_image/public/user/12/15.pc170024a.jpg?itok=K_9liDUq
  • https://radiomed.ru/sites/default/files/styles/case_slider_image/public/user/12/16.pc170025.jpg?itok=b_Vw0XfH
  • https://radiomed.ru/sites/default/files/styles/case_slider_image/public/user/12/17.pc170026.jpg?itok=sxd6wlYF
  • https://radiomed.ru/sites/default/files/styles/case_slider_image/public/user/12/18.pc170026a.jpg?itok=XaLTpoY5
  • https://radiomed.ru/sites/default/files/styles/case_slider_image/public/user/12/19.pc170027.jpg?itok=0I15QpFs
  • https://radiomed.ru/sites/default/files/styles/case_slider_image/public/user/12/20.pc170028.jpg?itok=qx5QQnd-
  • https://radiomed.ru/sites/default/files/styles/case_slider_image/public/user/12/21.pc170028a.jpg?itok=dNxNWD9U
  • https://radiomed.ru/sites/default/files/styles/case_slider_image/public/user/12/22.pc170029.jpg?itok=lHZhDFKh
  • https://radiomed.ru/sites/default/files/styles/case_slider_image/public/user/12/23.pc170029a.jpg?itok=5DAjXgzk
  • https://radiomed.ru/sites/default/files/styles/case_slider_image/public/user/12/1.pc170030.jpg?itok=MZYyl66S
  • https://radiomed.ru/sites/default/files/styles/case_slider_image/public/user/12/2.pc170031.jpg?itok=TQ0xMkL8
  • https://radiomed.ru/sites/default/files/styles/case_slider_image/public/user/12/3.pc170031-1.jpg?itok=FLYtK4Co
  • https://radiomed.ru/sites/default/files/styles/case_slider_image/public/user/12/4.pc170031-1a.jpg?itok=iHoImbIL
  • https://radiomed.ru/sites/default/files/styles/case_slider_image/public/user/12/5.pc170031-3.jpg?itok=Z1f5GYOe
  • https://radiomed.ru/sites/default/files/styles/case_slider_image/public/user/12/6.pc170031-3a.jpg?itok=N-m8UUAT
  • https://radiomed.ru/sites/default/files/styles/case_slider_image/public/user/12/7.pc170032.jpg?itok=95ie3zFS
  • https://radiomed.ru/sites/default/files/styles/case_slider_image/public/user/12/8.pc170032a.jpg?itok=BhjnBYjA
  • https://radiomed.ru/sites/default/files/styles/case_slider_image/public/user/12/9.pc170033.jpg?itok=VxFqj9N2
  • https://radiomed.ru/sites/default/files/styles/case_slider_image/public/user/12/10.pc170033a.jpg?itok=1v06UL36
ID:10349
stovbav аватар
Не на сайте
Был на сайте: 2 года 2 месяцев назад
Зарегистрирован: 20.12.2009 - 17:28
Публикации: 7066

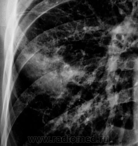
Распад был изначально, но, к счастью больного, все закончилось практическим выздоровлением.

Сан Саныч1 аватар
Не на сайте
Был на сайте: 11 месяцев 2 недели назад
Зарегистрирован: 07.06.2010 - 21:17
Публикации: 2114

Долго что-то пневмонию лечили. А распад очень сомнительный. Больше на игру теней похож.

Хочешь сделать что-то нормально - сделай это сам!

Катенёв Валентин Львович аватар
Не на сайте
Был на сайте: 7 лет 2 недели назад
Зарегистрирован: 22.03.2008 - 22:15
Публикации: 54876

Да, лечение весьма затянулось.