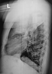
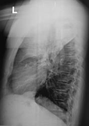
Контроль после флюорографии. Жалоб нет!

Пол пациента: 
Тип патологии: 
Методы исследования: 

Контроль после флюорографии.  Жалоб нет!

Томограммы.

  • https://radiomed.ru/sites/default/files/styles/case_slider_image/public/user/12/2.p4190010a.jpg?itok=WUG0eYhH
  • https://radiomed.ru/sites/default/files/styles/case_slider_image/public/user/12/3.p4190010ab.jpg?itok=rc-MCWjf
  • https://radiomed.ru/sites/default/files/styles/case_slider_image/public/user/12/4.p4190011.jpg?itok=miL9mfFA
  • https://radiomed.ru/sites/default/files/styles/case_slider_image/public/user/12/5.p4190011a.jpg?itok=cp0rAhg4
  • https://radiomed.ru/sites/default/files/styles/case_slider_image/public/user/12/6.p4190011ab.jpg?itok=GDQk5guR
  • https://radiomed.ru/sites/default/files/styles/case_slider_image/public/user/12/1.p4190012_0.jpg?itok=8fBtPx5i
  • https://radiomed.ru/sites/default/files/styles/case_slider_image/public/user/12/2.p4190012a.jpg?itok=974LRgS9
  • https://radiomed.ru/sites/default/files/styles/case_slider_image/public/user/12/3.p4190013.jpg?itok=SS2poyLq
  • https://radiomed.ru/sites/default/files/styles/case_slider_image/public/user/12/4.p4190013a.jpg?itok=x3LZqy04
  • https://radiomed.ru/sites/default/files/styles/case_slider_image/public/user/12/5.p4190014.jpg?itok=WyBeTI_W
  • https://radiomed.ru/sites/default/files/styles/case_slider_image/public/user/12/6.p4190014a.jpg?itok=zirYHK7q
ID:20981
Nikolas аватар
Не на сайте
Был на сайте: 2 месяцев 2 часа назад
Зарегистрирован: 21.12.2010 - 20:37
Публикации: 4559

Трудно представить, что нет жалоб. Жалобы скоро будут.

Любовь С. аватар
Не на сайте
Был на сайте: 9 лет 5 месяцев назад
Зарегистрирован: 23.12.2010 - 01:58
Публикации: 2324

Возраст и предыдущая ФЛГ? А пока что саркома.

"Предоставляя весь смысл и совершенство в распоряжение одного только Бога, вы избавляете себя от бездны хлопот." Джон Уитборн.

Катенёв Валентин Львович аватар
Не на сайте
Был на сайте: 7 лет 3 недели назад
Зарегистрирован: 22.03.2008 - 22:15
Публикации: 54876

Возраст - около 50 лет. Предыдущих нет. Приехал на ПМЖ, из другой республики.

Любовь С. аватар
Не на сайте
Был на сайте: 9 лет 5 месяцев назад
Зарегистрирован: 23.12.2010 - 01:58
Публикации: 2324

Спасибо! Пока останусь при своем мнении, такое поражение без клиники и без явного уменьшения объёма - саркома.

"Предоставляя весь смысл и совершенство в распоряжение одного только Бога, вы избавляете себя от бездны хлопот." Джон Уитборн.

Катенёв Валентин Львович аватар
Не на сайте
Был на сайте: 7 лет 3 недели назад
Зарегистрирован: 22.03.2008 - 22:15
Публикации: 54876

По всей видимости, Вы правы. А, почему, именно, саркома?

Катенёв Валентин Львович аватар
Не на сайте
Был на сайте: 7 лет 3 недели назад
Зарегистрирован: 22.03.2008 - 22:15
Публикации: 54876

А объём, что сильно уменьшен, так по боковой, вроде бы и нет.

Любовь С. аватар
Не на сайте
Был на сайте: 9 лет 5 месяцев назад
Зарегистрирован: 23.12.2010 - 01:58
Публикации: 2324

Саркома - потому что я не знаю иной патологии, такого размера поражения и без объёмного уменьшения. Тем более при отсутствии клиники: пневмония отпадает, остается саркома. Может, кто-то еще что предложит.

"Предоставляя весь смысл и совершенство в распоряжение одного только Бога, вы избавляете себя от бездны хлопот." Джон Уитборн.

И.Бондаренко аватар
Не на сайте
Был на сайте: 1 день 22 часа назад
Зарегистрирован: 13.09.2011 - 22:55
Публикации: 9206

Что можно предложить? Только верификацию. К онкологам его

Катенёв Валентин Львович аватар
Не на сайте
Был на сайте: 7 лет 3 недели назад
Зарегистрирован: 22.03.2008 - 22:15
Публикации: 54876

Консультация онкологов назначена лечащим врачом.

Евгений1313 аватар
Не на сайте
Был на сайте: 13 лет 1 неделя назад
Зарегистрирован: 15.10.2010 - 19:13
Публикации: 808

Жалоб нет или больной диссимулирует-всё одно. Ателектаз есть, нижнедолевой бронх сужен из вне,ФТБС-покажет, Нам остается только гадать.....

Dr_Olya аватар
Не на сайте
Был на сайте: 13 лет 5 дней назад
Зарегистрирован: 27.04.2012 - 19:33
Публикации: 18

Ателектаз,а вот мне интересно почему верхушка воздушна или это  распад ?

Евгений1313 аватар
Не на сайте
Был на сайте: 13 лет 1 неделя назад
Зарегистрирован: 15.10.2010 - 19:13
Публикации: 808

Это не распад...А клапанные вздутия периферической ткани легкого-результат нарастающей обтурации бронха.

Nikolas аватар
Не на сайте
Был на сайте: 2 месяцев 2 часа назад
Зарегистрирован: 21.12.2010 - 20:37
Публикации: 4559

о больном?

Катенёв Валентин Львович аватар
Не на сайте
Был на сайте: 7 лет 3 недели назад
Зарегистрирован: 22.03.2008 - 22:15
Публикации: 54876

Больной в онкологии.

Nikolas аватар
Не на сайте
Был на сайте: 2 месяцев 2 часа назад
Зарегистрирован: 21.12.2010 - 20:37
Публикации: 4559

ответ.