Пол пациента:
Тип патологии:
Область исследования:
Методы исследования:
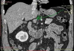
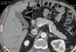
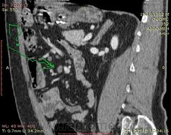
61 год. Рак желудка, в 2011 году субтотальная резекция. Жалоб нет. На вид здоровый, не худой, розоволицый мужик. На УЗИ нашли гиперэхогенное образование в VI сегменте печени 0.8 х 0.6 см. Рекомендовали КТ. Ну и вот: в печени в VI сегменте мелкий кальцинат...больше ничего страшного не вижу. В аорте куча мягких и "твердых" бляшек. Очень интересует Ваше мнение по поводу найденых, как мне кажется, достаточно крупных лимфоузлов...не похожи на метастатическое поражение?
Буду признателен, если еще чего найдёте:-) DICOM здесь http://files.mail.ru/AB7FCA87ED6E46959E5A69AE36F6D138
Похоже еще и люмбализация S1 со спондилелизом и антелистезом?
Желудок резецирован по Б-II, лимфоузлы не увеличены. Подпеченочный аппендикс.
https://www.youtube.com/channel/UCBGxoBUOqUT_bFhSeUgtWEw
и в портальную фазу практически равны по плотности сосудам. Нормальные лимфоузлы всегда гиподенснее сосудов. Форма лимфоузлов может быть любой, и лишь округлость во всех реконструкциях может свидетельствовать о лимфаденопатии. Обычно паракавальный узел крупный и овально-округлый в короналах, но уплощенный на сагитталах, как в вашем случае - нормальный. Не всегда видны жировые ворота лимфоузла. При воспалительной лимфаденопатии узел может быть крупным, "набухшим", при сохранении жировых ворот. Округлый лимфоузел размерами даже меньше нормы в коротком поперечнике, но с патологическим накоплением контраста, считается измененным, и подозрителен на метастаз.
Для информации: симуляция паракавальной лимфаденопатии:
https://www.youtube.com/channel/UCBGxoBUOqUT_bFhSeUgtWEw
+ истинный антелистез L5 I ст (вместо того, чтоб писать: двустороннее незаращение межсуставной части дуги L5 со смещением тела L5 кпереди до 1/3 ширины тела).
Дегенеративный ретролистез L4 1-й ст. Нисходящая правосторонняя парамедианная грыжа L4-5 диска. И похоже на восходящую в L5-S1, но не достоверно. Фораминальный стеноз L4-5-S1 с очень вероятной компрессией дуральных воронок корешков, особенно слева.
Вообще интраспинально на уровне L4-5-S1 некая каша, не всё могу объяснить листезом. Часть каши может быть за счет мягкотканного компонента вокруг суставных фасеток (наподобие периартроза, гипертрофии связок). Не могу разобраться, рекомендовала бы МРТ.
https://www.youtube.com/channel/UCBGxoBUOqUT_bFhSeUgtWEw
Ничего определенного по узлам не скажешь на КТ, если размеры в пределах нормы. Как известно, метастазы могут быть и в неувеличенных узлах. Судя по форме и размерам, это скорее неопухолевые узлы, но куда достовернее можно судить об этом на МРТ (ADC).
С уважением, С.Н. Нагорный
Всегда считал что единственные более менее объективные критерии это:
1) размер ( > 1 см в узком месте - лимфоаденопатия )
2) форма (менее достоверный признак, однако округлая форма узла подозрительна на патологию)
гадание метастатический узел или нет по данным DWI насколько я знаю остается только гаданием, ибо высокий сигнал (в достаточно широких пределах) они имеют и в норме.
Поделитесь, пожалуйста, ссылкой на информацию про корелляцию ADC у различных лимфоузлов относительно наличия в них метастазов.
Лимфаденопатия не = метастазирование. Ни первый, ни второй не являются достоверными критериями, а вот DWI с ИКД более чем. По ADC не гадание, а реальная количественная оценка с хорошей корреляцией. Про какой высокий сигнал вы говорите? На DWI? Так не сигнал на DWI надо оценивать, а ИКД.
С уважением, С.Н. Нагорный
Уважаемая ЛГ! Во-первых спасибо за ответы.
Во-вторых, пожалуйста, поделитесь ссылкой на источник, где можно ознакомиться с описанными вами выше "лимфоузловыми тонкостями"
Единой ссылки нет, это сборная информация с нескольких источников плюсом некоторые личные наработки. Хорошая ссылка на информативность/неинформативность и возможность/невозможность определения мтс в лимфоузлах здесь: http://www.ajnr.org/content/22/1/3.long
Есть и здесь, глава критерии нодулярных метастазов на КТ: http://www.ajronline.org/doi/pdf/10.2214/ajr.158.5.1566697
Вообще статей много https://www.google.com.ua/search?q=criteria+of+lymph+node+metastases+on+CT&espv=210&es_sm=93&tbm=isch&tbo=u&source=univ&sa=X&ei=iBjAUv2vIYbSywPy5YCICg&ved=0CHkQsAQ
https://www.youtube.com/channel/UCBGxoBUOqUT_bFhSeUgtWEw
Нашел несколько статей, действительно, ADC гораздо точнее позволяет предположить метастатические узлы.
вот конкретные цифры китайцы приводят sensitivity of 83.3%, specificity of 74.7%, and accuracy of 78.4%. Это очень неплохой результат.
Так и я о том. Понятно, что абсолютно точно нельзя сказать и критериев точных нет, но тем не менее, есть что обсуждать и пробовать применять.
Это тока по колоректалам. По лимфомам, например, цифры куда лучше.
С уважением, С.Н. Нагорный
Сто раз убеждался- 50х50. Подождем ПЭТ.
Так с ПЭТ ничего нового, работы есть, выводы неоднозначны. Еще большой вопрос что лучше.
С уважением, С.Н. Нагорный
Ну пока разовьются!
На данный момент с Вами согласен никто- только микроскоп , и то...
ПЭТ-КТ - не панацея. Огромные дозы облучения, много ложно-положительных и ложно-отрицательных результатов, труднодоступность (очень высокая стоимость) для большинства населения. Целая куча минусов у метода.
По моим личным наблюдениям, замерить ИКД в лимфоузле размерами до 10 мм практически невозможно, т.к. качество изображений на суммационной карте DWI, выполненной в брюшной полости (пускай даже и с триггером), очень низкое. Большая погрешность измерения. Сам в заключениях редко пишу про "метастатически измененные лимфоузлы". В тексте указываю, что есть лимфоаденопатия, даже если есть конгломераты и основная опухоль.
С уважением, Д.
Согласен про погрешность. С триггером еще хуже. Делаю на свободном дыхании с большим количеством нексов.
С уважением, С.Н. Нагорный
Согласен, в брюшной полости из-за дыхательных артефактов на DWI с лимфоузлами беда. Зато в малом тазу, в паховых областях, в области шеи - очень даже можно пробовать.
Странно, вся классическая онкология построена на классической рентгенологии. И кое-какие результаты все-таки были
. А сейчас, при наличии КТ/МРТ возникают трудности. Может, не стоит так уж докапываться?
Андрей Юрьевич
Андрей Юрьевич, кое-какие результаты - это что? 100% смертность в течение 6-12 мес на любой стадии? Так это уже давно никому не интересно. Или Вы с иронией и говорите "кое-какие"

Трудностей не возникает никаких, просто появляется много нового, которое не все готовы применять и отрабатывать, а некоторые вообще об этом не слышали. Может, и не стоит докапаваться в каких-то случаях, но нередко данные современных инструментов диагностики являются определяющими в лечении. Например, при сохранении объема опухоли в ранние сроки можно отслеживать её ответ на терапию (изменение перфузии, диффузии и тп.), это важно и нужно.
С уважением, С.Н. Нагорный
Странная позиция коллеги с большим диагностическим опытом!?
" ...современные технологии лучевой диагностики имеют большое значение в онкологической практике, обеспечивая точные и своевременные данные о наличии и распространенности опухолевого процесса".
Анатолий Петрович
Я о том, что нет пределов совершенства, и что надо использовать тот иструмент, который есть у тебя в руках. Хирург, в большинстве случаев, принимает решение об аппендэктомии, поговорив с больным и ткнув его в живот пальцем. А это, все-таки, решение об операции. Чего же нам копаться?
Андрей Юрьевич