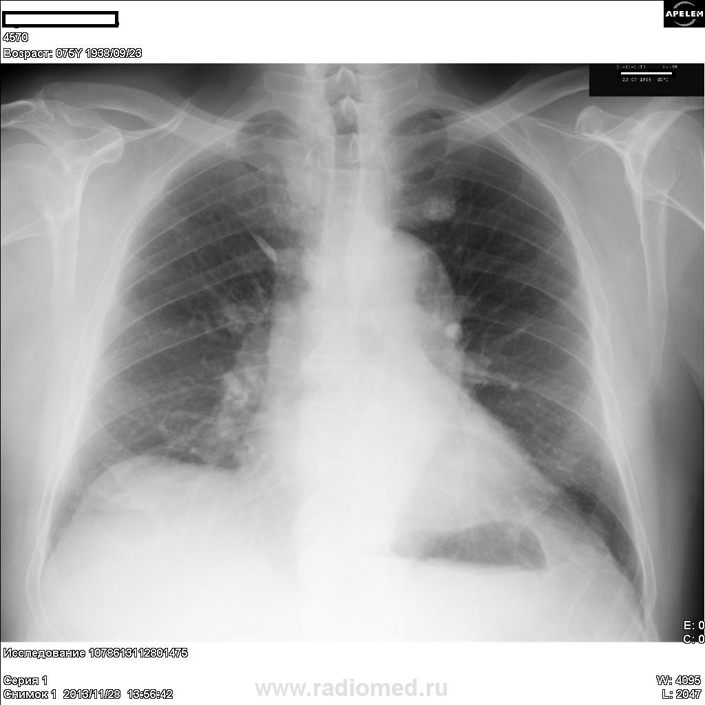
Думаю, что в в/доле справа тень добавочной доли непарной вены (зелёная стрелка), в в/доле слева на уровне I ребра обызвествление рёбернохрящевого сочленения(жёлтая стрелка), а вот затемнение в н/доле слева (красная стрелка) настораживает
С зеленой стрелочкой согласен. Красная - думаю усиление корня. Жёлтая- на мой взгляд с ребром непосредственно не связана, хотя почти вплотную к ребру, и расположена субплеврально.
Что-то похожее Виктор Григорьевич выкладывал недавно... Пришли к выводу (если не ошибаюсь) - организованая субкостальная гематома и локальный плеврофиброз (в том случае).
Что-то похожее Виктор Григорьевич выкладывал недавно... Пришли к выводу (если не ошибаюсь) - организованая субкостальная гематома и локальный плеврофиброз (в том случае).
А мне нижняя доля слева продолжает не нравиться, видится перибронхиальная муфта. Сравните с боковушками на соседних ветках, там такого в хвосте корня нет.
А мне нижняя доля слева продолжает не нравиться, видится перибронхиальная муфта. Сравните с боковушками на соседних ветках, там такого в хвосте корня нет.
Спасибо, уважаемая Наталия Ивановна. Ваше мнение, разумеется, без внимания не осталось. Каждое мнение на сайте ценно. Может быть будут еще комментарии.
Что-то не отдифференцировал даже по томограммам тень от ребра. Сделал бы косую проекцию - для наглядности, но решать Вам.)
Если без косой проекции, Максималист, что же можно было заключить? Мое мнение между туберкулемой и кальцинированной гематомой, уж больно "кругленькая" тень. Вы таки все же присоединяетесь к обызвесвлению реберно-хрящевого сочленения?
У нас принято таких больных включать в группу R+,но я лично смотрю скопически(очень быстро-3секунды),и отпускаю,если вижу,что -хрящ(обызвеств.).С уважением,Миргалина.
Что-то не отдифференцировал даже по томограммам тень от ребра. Сделал бы косую проекцию - для наглядности, но решать Вам.)
Если без косой проекции, Максималист, что же можно было заключить? Мое мнение между туберкулемой и кальцинированной гематомой, уж больно "кругленькая" тень. Вы таки все же присоединяетесь к обызвесвлению реберно-хрящевого сочленения?
Что-то не отдифференцировал даже по томограммам тень от ребра. Сделал бы косую проекцию - для наглядности, но решать Вам.)
Если без косой проекции, Максималист, что же можно было заключить? Мое мнение между туберкулемой и кальцинированной гематомой, уж больно "кругленькая" тень. Вы таки все же присоединяетесь к обызвесвлению реберно-хрящевого сочленения?
Вы правы. Хоть и не определился ещё я, но к обызвествлению хряща волей-неволей присоединился, но только пока.)
Что - то в верхней доле не нравится мне тенюха, предложил бы порезать на линейке. На туберкулому тянет. Дмитрий, не делали ли вы скопию?
О туберкулеме подумал, линейку сделал, на скопии не смотрел.
С Уважением, Дмитрий.
Остеома ребра?
Об остеоме не подумал, но был ушиб передней грудной стенки после армии.
С Уважением, Дмитрий.
Думаю, что в в/доле справа тень добавочной доли непарной вены (зелёная стрелка), в в/доле слева на уровне I ребра обызвествление рёбернохрящевого сочленения(жёлтая стрелка), а вот затемнение в н/доле слева (красная стрелка) настораживает
"Слушай всех, прислушивайся к немногим, решай сам".©
С зеленой стрелочкой согласен. Красная - думаю усиление корня. Жёлтая- на мой взгляд с ребром непосредственно не связана, хотя почти вплотную к ребру, и расположена субплеврально.
С Уважением, Дмитрий.
Что-то похожее Виктор Григорьевич выкладывал недавно... Пришли к выводу (если не ошибаюсь) - организованая субкостальная гематома и локальный плеврофиброз (в том случае).
С уважением,
Думаю,ничего страшного(возрастные да посттравматические изменения).
Больше склонясь к образованию остеофитов в месте костно-хрящевого перехода, с реакцией плевры.
А мне нижняя доля слева продолжает не нравиться, видится перибронхиальная муфта. Сравните с боковушками на соседних ветках, там такого в хвосте корня нет.
"Слушай всех, прислушивайся к немногим, решай сам".©
Спасибо, уважаемая Наталия Ивановна. Ваше мнение, разумеется, без внимания не осталось. Каждое мнение на сайте ценно. Может быть будут еще комментарии.
С Уважением, Дмитрий.
Отпустить. Для успокоения рецидива совестливости поднять флюороархив, там тож самое будет.
"Предоставляя весь смысл и совершенство в распоряжение одного только Бога, вы избавляете себя от бездны хлопот." Джон Уитборн.
Что-то не отдифференцировал даже по томограммам тень от ребра. Сделал бы косую проекцию - для наглядности, но решать Вам.)
--------------
"Просто, по видимости, не видеть логики в очевидных вещах - это тоже одно из свойств некоторых умов, наряду с грустными думами о свойствах ума других." © Vega 08/10/2011
Если без косой проекции, Максималист, что же можно было заключить? Мое мнение между туберкулемой и кальцинированной гематомой, уж больно "кругленькая" тень. Вы таки все же присоединяетесь к обызвесвлению реберно-хрящевого сочленения?
С Уважением, Дмитрий.
У нас принято таких больных включать в группу R+,но я лично смотрю скопически(очень быстро-3секунды),и отпускаю,если вижу,что -хрящ(обызвеств.).С уважением,Миргалина.
А я думала, это из плевры растет.
"Слушай всех, прислушивайся к немногим, решай сам".©
Подправлю ссылку: http://www.radiomed.ru/opinions/1-sluchay
Здесь Валентин Львович оценил это как избыточное окостенение, связанное с перенесенной ранее травмой. Спасибо, NIL, за ссылку.
С Уважением, Дмитрий.
Вы правы. Хоть и не определился ещё я, но к обызвествлению хряща волей-неволей присоединился, но только пока.)
--------------
"Просто, по видимости, не видеть логики в очевидных вещах - это тоже одно из свойств некоторых умов, наряду с грустными думами о свойствах ума других." © Vega 08/10/2011