Левосторонняя верхнедолевая сегментарная пневмония? Или?

Пол пациента: 
Методы исследования: 

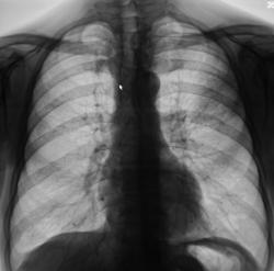
Пациент направлен врачом терапевтом в рентгеновский кабинет на рентгенографию органов грудной полости с диагнозом "Левостороняя пневмония?". Жалобы вроде - бы типичные.

Произведена рентгенография в стандартных проекциях.

ИзображениеИзображениеИзображение

ИзображениеИзображениеИзображениеИзображение

Ваше мнение коллеги?

OPEXOB аватар
Не на сайте
Был на сайте: 10 лет 1 неделя назад
Зарегистрирован: 26.07.2008 - 10:02
Публикации: 280

Получается ателектаз S3 слева !? Вроде бы молодой организм.

Я, пожалуй пока остановлюсь на очаговом туберкулезе S3 слева. Интересны другие мнения...

Nela аватар
Не на сайте
Был на сайте: 6 лет 1 месяц назад
Зарегистрирован: 12.05.2009 - 20:43
Публикации: 1847

Я не специалист по легким, но разве это не инфильтрат?

Ермолаев аватар
Не на сайте
Был на сайте: 8 лет 11 месяцев назад
Зарегистрирован: 07.02.2009 - 16:33
Публикации: 670

Уважаемые коллеги! Лично я не стал бы спешить категорично высказаться о туберкулезе или о пневмонии. В данном случае имеет место негомогенная довольно слабой интенсивности инфильтрация легочной ткани в проекции S2 и Sax верхней доли левого легкого. Необходимо порекомендовать коллегам терапевтам провести курс неспецифической терапии пневмонии. Через 7-10 дней контроль. Есть положительная динамика - пневмония. Нет - туберкулез.

dok

Катенёв Валентин Львович аватар
Не на сайте
Был на сайте: 7 лет 1 месяц назад
Зарегистрирован: 22.03.2008 - 22:15
Публикации: 54876

Произведена томография.

ИзображениеИзображение

ИзображениеИзображениеИзображение

ИзображениеИзображение

ИзображениеИзображение

ИзображениеИзображение

Ваше мнение коллеги?

Ермолаев аватар
Не на сайте
Был на сайте: 8 лет 11 месяцев назад
Зарегистрирован: 07.02.2009 - 16:33
Публикации: 670

Значит все таки туберкулез! Отсев из верхушки справа.

dok

Катенёв Валентин Львович аватар
Не на сайте
Был на сайте: 7 лет 1 месяц назад
Зарегистрирован: 22.03.2008 - 22:15
Публикации: 54876

Да, по всей видимости "Его Величество Туберкулёз", а кто-то упорно "ищет палки", и считает "палку" единственным подтверждением - прямо какое-то извращение.

Ермолаев аватар
Не на сайте
Был на сайте: 8 лет 11 месяцев назад
Зарегистрирован: 07.02.2009 - 16:33
Публикации: 670

Не понимаю коллег-фтизиатров! Если рентгенологически отрицательная динамика, отсев из правого легкого в левое, то процесс АКТИВНЫЙ.

dok

Петрович аватар
Не на сайте
Был на сайте: 7 лет 3 месяцев назад
Зарегистрирован: 22.03.2009 - 01:13
Публикации: 3908

  Поясните пожалуйста, из чего отсев? Эта «фитюлька» с дорожкой к корню не похожа на каверну. Да и слева картина не очень характерная туберкулеза. Не покажет ли Валентин Львович рентген динамику через 2-3 недели, если коллеги-фтизиатры проявят твёрдость и не заберут к себе.

Неоднозначно всё

Ola-la аватар
Не на сайте
Был на сайте: 11 месяцев 6 дней назад
Зарегистрирован: 06.12.2008 - 09:33
Публикации: 1786

Тень справа не может быть ретенционной кистой?

Петрович аватар
Не на сайте
Был на сайте: 7 лет 3 месяцев назад
Зарегистрирован: 22.03.2009 - 01:13
Публикации: 3908

Ola-la << Тень справа не может быть ретенционной кистой?>>

Вот и мне показалось, ...  но без боковой нельзя.

Неоднозначно всё

Катенёв Валентин Львович аватар
Не на сайте
Был на сайте: 7 лет 1 месяц назад
Зарегистрирован: 22.03.2008 - 22:15
Публикации: 54876

ИзображениеИзображение

ИзображениеИзображение

Динамика будет обязательно.

 

Глазков Игорь Артурович аватар
Не на сайте
Был на сайте: 10 месяцев 1 неделя назад
Зарегистрирован: 19.12.2008 - 20:41
Публикации: 1597

на синдром тонкостенных полостей

Прийди к Себе

Катенёв Валентин Львович аватар
Не на сайте
Был на сайте: 7 лет 1 месяц назад
Зарегистрирован: 22.03.2008 - 22:15
Публикации: 54876

Уважаемая Ольга!

Тень справа, по всей видимости, не ретенционная киста. Она действительно (тень) напоминает таковую (ретенционную кисту) на одном из "не оптимальных срезов".

Николай аватар
Не на сайте
Был на сайте: 2 года 10 месяцев назад
Зарегистрирован: 29.05.2009 - 04:38
Публикации: 554

на боковых снимках слева ощущение уменьшенного S2 имеет четкую конусовидную форму вершиной обращенный к корню, пневматизация его нарушена. В области головки левого корня дополнительная тень?Справа в верхней доле округлая тень с четкими, неровними контурами с сосудистой "дорожкой" к корню.

Катенёв Валентин Львович аватар
Не на сайте
Был на сайте: 7 лет 1 месяц назад
Зарегистрирован: 22.03.2008 - 22:15
Публикации: 54876

Уважаемый Николай!

В таких, в общем не простых диагностических случаях, мы садимся вместе с нашим фтизиатром за "мою станцию" и начинаем взвешивать все за и против. В принципе всегда приходим к какому-либло знаменателю, но стараемся диагностический процесс и процесс "противовоспалительного лучения" не затягивать. Конечно, в данном случае весьма много "за фтизу", но думаю, что в течение недели, мы этого пациента "раскрутим".

Николай аватар
Не на сайте
Был на сайте: 2 года 10 месяцев назад
Зарегистрирован: 29.05.2009 - 04:38
Публикации: 554

Очень интересный случай хотелось бы узнать окончательный результат "разкрутки". Вам немного легче судить об этом больном, потому как вы имеете возможность этого больного видеть, собрать анамнез, иметь на руках результаты клинических анализов и др.

Mitkampfer аватар
Не на сайте
Был на сайте: 11 лет 2 месяцев назад
Зарегистрирован: 27.07.2010 - 07:43
Публикации: 1454

выяснилось по пациенту что-то? каков диагноз?

Не ограничивайте свою мысль

Живешь пока учишься

Ecrasez l’infame

Mitkampfer аватар
Не на сайте
Был на сайте: 11 лет 2 месяцев назад
Зарегистрирован: 27.07.2010 - 07:43
Публикации: 1454

Случаем не онкология вылезла? Какие то сомнительные томограммы для туберкулеза...

Не ограничивайте свою мысль

Живешь пока учишься

Ecrasez l’infame

Mitkampfer аватар
Не на сайте
Был на сайте: 11 лет 2 месяцев назад
Зарегистрирован: 27.07.2010 - 07:43
Публикации: 1454

Интересуюсь потому, что получил сегодня аналогичную картину мелкоочаговой инфильтрации, только верхней доли правого легкого. С пациентом пока не общался.

Сказать, что уж очень похоже это на тбс не могу, фиброза мало, полостей распада не обнаружил.

Не ограничивайте свою мысль

Живешь пока учишься

Ecrasez l’infame

Катенёв Валентин Львович аватар
Не на сайте
Был на сайте: 7 лет 1 месяц назад
Зарегистрирован: 22.03.2008 - 22:15
Публикации: 54876

Пациент на учете у фтизиатров.

Катенёв Валентин Львович аватар
Не на сайте
Был на сайте: 7 лет 1 месяц назад
Зарегистрирован: 22.03.2008 - 22:15
Публикации: 54876

Ola-la wrote:

Тень справа не может быть ретенционной кистой?

Время показало, что Вы правы. Инфицированная ретенционная киста оказалась

Mitkampfer аватар
Не на сайте
Был на сайте: 11 лет 2 месяцев назад
Зарегистрирован: 27.07.2010 - 07:43
Публикации: 1454

ну вот не зря заглянул). прояснилась ситуация спасибо).

Не ограничивайте свою мысль

Живешь пока учишься

Ecrasez l’infame

Mitkampfer аватар
Не на сайте
Был на сайте: 11 лет 2 месяцев назад
Зарегистрирован: 27.07.2010 - 07:43
Публикации: 1454

Динамика 2 года. О чем я речь вел.

Приложения: 
2010.png2012.png

Не ограничивайте свою мысль

Живешь пока учишься

Ecrasez l’infame

Петрович аватар
Не на сайте
Был на сайте: 7 лет 3 месяцев назад
Зарегистрирован: 22.03.2009 - 01:13
Публикации: 3908

Катенёв Валентин Львович wrote:
Ola-la wrote:
Тень справа не может быть ретенционной кистой?

Время показало, что Вы правы. Инфицированная ретенционная киста оказалась

Отрадно узнать о верификации, хотя бы и через 3 года. А инфицирована ретенционная киста не МБТ?

Неоднозначно всё

Катенёв Валентин Львович аватар
Не на сайте
Был на сайте: 7 лет 1 месяц назад
Зарегистрирован: 22.03.2008 - 22:15
Публикации: 54876

Петрович wrote:

 А инфицирована ретенционная киста не МБТ?

Вы правы уважаемый Петрович - в "яблочко"!