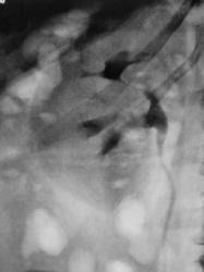
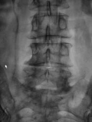
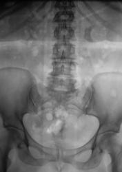
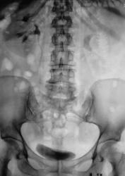
Пол пациента: Мужской пол Тип патологии: Другое Область исследования: Мочеполовая система Методы исследования: Rg Пациент направлен в рентгеновский кабинет для производства внутривенной урографии с подозрением на опухоль левой почки. Произведено стандартное исследование. Ваше мнение коллеги? Вс, 24/05/2009 - 21:05 #1 Андрей Юрьевич Не на сайте Был на сайте: 1 неделя 4 дня назад Зарегистрирован: 16.11.2008 - 22:16 Публикации: 18098 Такой можно и коралловидным назвать. Андрей Юрьевич Пнд, 25/05/2009 - 10:47 #2 v1tal Не на сайте Был на сайте: 4 года 9 месяцев назад Зарегистрирован: 07.06.2008 - 19:41 Публикации: 1779 А сколько лет пациенту? В анамнезе туберкулеза нет? "Знаешь, у некоторых врачей есть комплекс мессии — им необходимо спасать мир. А у тебя комплекс Рубика — тебе необходимо решать головоломки." Пнд, 25/05/2009 - 15:45 #3 Катенёв Валенти... Не на сайте Был на сайте: 7 лет 3 недели назад Зарегистрирован: 22.03.2008 - 22:15 Публикации: 54876 В анамнезе туберкулёза (легочного) нет. Пациенту 42 года. Мочу, сейчас, у всех пациентов с "урологической патологией" на МБТ и "смотрят и сеют". А какое мнение коллег по поводу правой почки?
Такой можно и коралловидным назвать.
Андрей Юрьевич
А сколько лет пациенту? В анамнезе туберкулеза нет?
"Знаешь, у некоторых врачей есть комплекс мессии — им необходимо спасать мир. А у тебя комплекс Рубика — тебе необходимо решать головоломки."
В анамнезе туберкулёза (легочного) нет. Пациенту 42 года. Мочу, сейчас, у всех пациентов с "урологической патологией" на МБТ и "смотрят и сеют".
А какое мнение коллег по поводу правой почки?