Мочекаменная болезнь с локализацией «рентгеноположительных» конкрементов в полой системе левой почки.

Пол пациента: 
Тип патологии: 
Область исследования: 
Методы исследования: 

Катенёв В.Л.

 

Случай из практики «Мочекаменная болезнь с локализацией «рентгеноположительных» конкрементов в полой системе левой почки. Гидронефротическая трансформация полой системы правой почки».

 

(Рентгенологическое отделение МУЗ «Красногвардейская центральная районная больница» Белгородской области)

 

Пациент с клиникой левосторонней почечной колики направлен на рентгенологическое исследование почек и мочевыводящих путей.

 

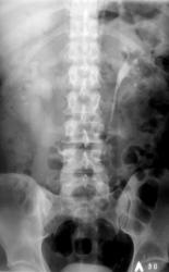
Иллюстрации 1, 2. На обзорной рентгенограмме области почек и мочевыводящих путей слева на уровне Т12 и Л1 определяются две тени характера конкрементов различных размеров значительной интенсивности неоднородной структуры.

1.
1.
2.
2.

 

 

Иллюстрация 3. Определяется ротация тела Л3. На уровне сегмента Л3 – Л4 определяется локальное окостенение передней продольной связки, по всей видимости, в результате подсвязочного костеообразования. Определяется некоторая ротация тела Л3.

3.
3.
4.
4.

 

 

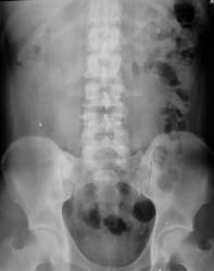
Иллюстрации 4, 5. В малом тазу справа на уровне последнего крестцового позвонка определяется тень характера конкремента, располагающаяся, вероятнее всего, в нижней трети правого мочеточника.

5.
5.

 

 

В малом тазу с обеих сторон тени флеболитов различных размеров.

6.
6.
7.
7.

 

 

Иллюстрации 6, 7. После введения контрастного вещества функция с обеих сторон. Слева почка обычного расположения, формы и размеров. Вышеописанные конкременты располагаются в эктазированных малых чашечках. Мочеточник обычного калибра, прослеживается на всем протяжении.

8.
8.
9.
9.

 

 

Иллюстрации 8, 9. Четко дифференцируются конкременты в малых чашечках левой почки. Справа определяется контрастирование малых чашечек в виде нечётко очерченных «лужиц».

10.
10.
11.
11.

 

 

Иллюстрации 10, 11. 30 минута. Справа определяется эктазированная полая система (прегидронефротическая трансформация).

 

Вывод: Мочекаменная болезнь с локализацией конкрементов в полой системе левой почки и в нижней трети правого мочеточника. Эктазия полой системы правой почки.

ВложениеРазмер
Иконка изображения 1.74.48 КБ
Иконка изображения 2.71.96 КБ
Иконка изображения 3.77.53 КБ
Иконка изображения 4.73.96 КБ
Иконка изображения 5.56.57 КБ
Иконка изображения 6.69.86 КБ
Иконка изображения 7.55.67 КБ
Иконка изображения 8.59.36 КБ
Иконка изображения 9.78.39 КБ
Иконка изображения 10.87.26 КБ
Иконка изображения 11.64.9 КБ