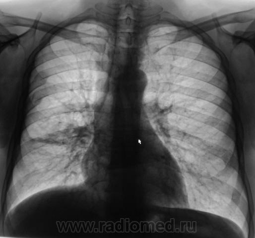
Пациент направлен терапевтом в рентгеновский кабинет с диагнозом - "Правостороняя пневмония".

Пол пациента: 
Методы исследования: 

Пациент направлен терапевтом в рентгеновский кабинет с диагнозом - "Правостороняя пневмония". Произведено стандартное исследование.

Ваше мнение уважаемые коллеги?

  • https://radiomed.ru/sites/default/files/styles/case_slider_image/public/user/12/2.PETI_.JPG?itok=6cf51faO
  • https://radiomed.ru/sites/default/files/styles/case_slider_image/public/user/12/3.PETI_..JPG?itok=Bwim5lld
ID:1086
Анатолий Владимирович Шумаков аватар
Не на сайте
Был на сайте: 7 лет 11 месяцев назад
Зарегистрирован: 16.10.2009 - 21:16
Публикации: 1941

Пока картина слвной инфильтрации в 6 сегменте, но настораживает сгущение рисунка в нем, нужно повторно исследовать после лечения... Может прорезаться более грозая болезнь.

Игорь Иванович аватар
Не на сайте
Был на сайте: 3 года 10 месяцев назад
Зарегистрирован: 23.01.2010 - 14:56
Публикации: 3695

Скорее всего ателктаз 6 сегмента. Он явно объемно уменьшен, да и на качественной боковой можно найти ампутацию бронха, а на прямой томо - не все в поряде с корнем. Валентин Львович, доброе утро! Вы будете не собой, если не выложите серию боковых томограмм.

ЛГ аватар
Не на сайте
Был на сайте: 8 лет 11 месяцев назад
Зарегистрирован: 06.01.2010 - 12:31
Публикации: 3523

Здравствуйте! Клиники инфаркта легкого нет?

Almo аватар
Не на сайте
Был на сайте: 1 день 18 часов назад
Зарегистрирован: 28.09.2008 - 18:50
Публикации: 8281

Вообще-то, объёмного уменьшения нижней доли справа нет ( все сосуды на месте)-вероятно, это не ателектаз.