Вот такая нефротомография

Пол пациента: 
Область исследования: 
Методы исследования: 

Катенёв В.Л.

 

Случай из практики «Вот такая нефротомография».

 

(Рентгенологическое отделение МУЗ «Красногвардейская центральная районная больница» Белгородской области).

 

 

Пациентка, находящаяся на лечении в хирургическом отделении направлена на рентгенологическое исследование почек и мочевыводящих путей – внутривенную урографию, с «дежурным диагнозом» - «Почечная колика».

 

Пациентка подготовлена к исследованию не то, что неудовлетворительно - в кишечнике значительное количество газа, который весьма «массивно» накладывается на область почек и мочевыводящих путей, а отвратительно, что в последнее время весьма часто имеет место быть, и вынуждает сотрудников рентгеновского отделения прибегать к исследованию в условиях нефротомографии, что приводит, как к увеличению дозы облучения на пациента, так и  удлинению времени исследования.

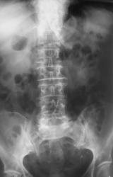
1.
1.

 

 

Иллюстрация 1. На обзорной рентгенограмме области почек и мочевыводящих путей теней характера конкрементов не выявлено. Контуры поясничных мышц не дифференцируются. В поясничном отделе позвоночника определяются явления дистрофического характера в виде межпозвонкового остеохондроза, деформирующего спондилёза и деформирующего спондилартроза. Имеет место незначительная ротация тел отдельных поясничных позвонков, визуализируется формирование правостороннего, умеренно выраженного правостороннего сколиоза, по всей видимости, дискогенного характера. В области малого таза с обеих сторон определяются плотноватые тени по типу очаговых, возможно тени флеболитов и тени значительной плотности, приближающиеся к «костной» и «известковой» плотности, возможно, тени конкрементов, возможно мягкотканые окостенения.

 

После введения контрастного вещества (40.0 урографин) реакция на введения препарата не зарегистрирована. Урограммы, согласно «стандарту» произведены на 7 и 15 минутах. С учетом неудовлетворительной подготовки пациента, принято решение произвести исследование в условиях нефротомографии.

2.
2.
3.
3.

 

 

На 7 минуте после введения контрастного вещества (иллюстрация 2, 3, 4, 5 – урограмма и уронефротомограмма) функция определяется только справа. Правая почка увеличенных размеров, располагается на уровне Т12 – L3, контур почки довольно ровные, четкие, нефрографический эффект выражен удовлетворительно. Определяется некоторая эктазия верхней большой чашечки, с изолированной эктазией двух малых чашечек, с закругленностью и деформацией в них сводов, что косвенным образом свидетельствует о деформации почечных сосочков, возможно с нарушением оттока из них.

4.
4.
5.
5.

 

Создается впечатление «раздвигания» малых чашечек верхней большой чашки, возможно за счет наличия объёмного образования (киста). В области среднего отдела почки и нижнего полюса, местами регистрируется «сближение», местами «раздвигание» малых чашечек и их шеек, что косвенным образом может указывать на наличие кистозных образований в почечной паренхиме. Мочеточник справа прослеживается фрагментами.

На уронефротомограмме – 7 минут после введения контрастного вещества.

4.
4.

 

Иллюстрация 4. Слева, предположительно, с учетом появления «нефрографического эффекта» можно предположить наличие «тени» уменьшенных размеров почки, располагающейся на уровне L1-L2, с нечеткими контурами, неоднородной структуры – отдельные участки уплотнения паренхимы. Малые размеры почки свидетельствуют, по всей видимости, о дистрофических изменениях в её паренхиме. Ниже данной тени лентовидная, неоднородная тень, по всей видимости, является отображением резко расширенного левого мочеточника. Слева, несколько ниже крестцово-подвздошного сочленения определяются множественные значительной плотности, различной формы тени.

6.
6.
7.
7.

 

 

Иллюстрации 6, 7, 8. На уровне частично контрастированного мочевого пузыря слева определяется тень овальной формы, по всей видимости, конкремент. Иллюстрации 7, 8 – изображение после цифровой обработки, фиксируется неоднородность описанной тени.

8.
8.
9.
9.

 

 

Иллюстрация 9, 10. Срез + 1 см., 15 минута. Дифференцируется правый мочеточник обычного калибра на значительном протяжении, четко дифференцируются контуры поясничных мышц с обеих сторон.

10.
10.

 

По верхнему контуру мочевого пузыря справа четко дифференцируется дефект наполнения, отражающий наличие объёмного процесса в мочевом пузыре.

11.
11.
12.
12.

 

 

Иллюстрации 11, 12. Мочевой пузырь и фрагмент с увеличением. Контуры дефекта наполнения неровные, полицикличные.

ВложениеРазмер
Иконка изображения 1.76.57 КБ
Иконка изображения 2.83.16 КБ
Иконка изображения 3.63.6 КБ
Иконка изображения 4.60.73 КБ
Иконка изображения 5.52.61 КБ
Иконка изображения 6.41.21 КБ
Иконка изображения 7.65.11 КБ
Иконка изображения 8.71.16 КБ
Иконка изображения 9.59.01 КБ
Иконка изображения 10.49.17 КБ
Иконка изображения 11.51.65 КБ
Иконка изображения 12.70.31 КБ