Пол пациента:
Тип патологии:
Область исследования:
Методы исследования:
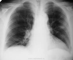
Мужчине 53 года. Госпитализирован в инфекционное отделение с диагнозом: "Лихорадка неясного генеза". Болен 5-й день, 38-39 температура. Снимок обзорный за 16.06 и 2 проекции+томограммы за 27.06. По первому снимку (приемное отделение, заказан обзорный, увидела утром) описала инфильтрацию нижнего легочного поля справа и... плотные старые очаги
. Что скажете коллеги? КТ не работает.
- https://radiomed.ru/sites/default/files/styles/case_slider_image/public/user/2841/sdc12400-.jpg?itok=jzODpgWz
- https://radiomed.ru/sites/default/files/styles/case_slider_image/public/user/2841/sdc12408-.jpg?itok=MutIyzOH
- https://radiomed.ru/sites/default/files/styles/case_slider_image/public/user/2841/sdc12407-.jpg?itok=O6PdbIE0
- https://radiomed.ru/sites/default/files/styles/case_slider_image/public/user/2841/sdc12402-.jpg?itok=AyPniDfo
- https://radiomed.ru/sites/default/files/styles/case_slider_image/public/user/2841/sdc12401-.jpg?itok=PRykvFKJ
- https://radiomed.ru/sites/default/files/styles/case_slider_image/public/user/2841/sdc12373-.jpg?itok=_AwoE3OF
- https://radiomed.ru/sites/default/files/styles/case_slider_image/public/user/2841/sdc12374-.jpg?itok=83Xv_Pyh
- https://radiomed.ru/sites/default/files/styles/case_slider_image/public/user/2841/sdc12403-.jpg?itok=S6JnicNV
- https://radiomed.ru/sites/default/files/styles/case_slider_image/public/user/2841/sdc12404-.jpg?itok=D9ZEUW8e
- https://radiomed.ru/sites/default/files/styles/case_slider_image/public/user/2841/sdc12405-.jpg?itok=mmVgRroh
- https://radiomed.ru/sites/default/files/styles/case_slider_image/public/user/2841/sdc12410-.jpg?itok=5WbqWcD8
- https://radiomed.ru/sites/default/files/styles/case_slider_image/public/user/2841/sdc12411-.jpg?itok=N0PZWRo4
- https://radiomed.ru/sites/default/files/styles/case_slider_image/public/user/2841/sdc12415-.jpg?itok=0pzHXy8j
- https://radiomed.ru/sites/default/files/styles/case_slider_image/public/user/2841/sdc12413-.jpg?itok=52y20tFW
- https://radiomed.ru/sites/default/files/styles/case_slider_image/public/user/2841/sdc12414-.jpg?itok=PJhemnXG
ID:14494
При наличии "изменений" в шестерке, лично для меня, изменения в данном сегменте равны изменениям на верхушке, а соответственно, в таких случаях, настрой, прежде всего на "тубер"..., даже, если клиника для "Величества" не типичная...
Нельзя ли исходные (необработанные) снимки прислать?
Неоднозначно всё
К сожалению, нет, не сохраняю.
Кровь: гемоглобин 100, лейкоциты 24, палочки 18, СОЭ 44.
https://www.youtube.com/channel/UCBGxoBUOqUT_bFhSeUgtWEw
Тогда помочь не могу.
Неоднозначно всё
Какая, все-таки, неточная наука, рентгенология. Я бы, по снимку от 17.06. написал бы не инфильтрацию в нижней доле справа, а очаговый процесс (верятнее всего, пневмонию) в верхней доле левого легкого. На снимках от 27.06. отметил бы нарастание процесса, распространение и на верхюю долю правого легкого, заключение: двусторонняя очаговая пневмония, прогрессирующее течение болезни. Обследование на ТВС, конечно же не повредит, но туберкулез обычно так быстро не прогрессирует. А септические эмболы, должны уже были распасться.
Андрей Юрьевич
Здравствуйте, предположу несколько "экзотический" вариант - рецидивирующую тромбоэмболию, но клинической картины не хватает и лихорадка немного не укладывается в картину (разве что как осложнение инфекцией)
Спасибо за комментарии! Перефотографировала, эти картинки мне нравятся больше. Мокроты просто нет, кашля нет.
https://www.youtube.com/channel/UCBGxoBUOqUT_bFhSeUgtWEw
Мда, томограммы стали определеннее, и на первый план начали выходить объемные образования. Пневмония становится менее вероятной, возрастают шансы метастатического процесса, что не исключает лабораторного обследования на ТВС. У Dr.Drug в прошлом году был случай с лихорадкой и гематогенным распространением, над которым все голову сломали, на секции вроде МТС из тонкой кишки. Кстати, вариант метастазирования первым предложил Валентин Львович.
Л.Г., а что с КТ случилось? "Коллекционирую" возможные поломки КТ-аппаратов, типа "на ус мотаю".
Андрей Юрьевич
Менингит. Золотистый стафилококк высеяли в ликворе. Так что второе исследование трактую как септические эмболы. Для полного счастья жду на контроль, обратное развитие увидеть. Центральный распад на некоторых очагах разглядеть можно. Есть и шанс мтс, но невелик.
Андрей Юрьевич, а с КТ очень просто, комп выдает надпись о необходимости продлить лицензию (отработали чуть менее 2 лет) на программное обеспечение, не видя еще при этом своего сервера. Всё включается, даже исследования предыдущие можно посмотреть, но команды на разогрев трубки не дает, а значит, и исследование не сделать. Администрация год назад решила сэкономить и не заключила договор о тех.обслуживании, так что сейчас фирма-поставщик требует 184 тыс с предоплатой. А все, что больше 100 тыс - необходимо объявлять конкурс. Так что это минимум на месяц, мы встали "на якорь".
https://www.youtube.com/channel/UCBGxoBUOqUT_bFhSeUgtWEw
Время, как это часто бывает, не только "лучшее лекарство", но и "лучший диагност". Да, при наличии менингита, приоритет за септическими эмболами.
А с КТ засада. На мой взгляд - беспредел производителя. Хотя, кто поручится за наших чиновников, на каких условиях они подписывали договор о поставке программного продукта. У нас, кстати, тоже не заключен договор на тех.обслуживании (704тыс. руб в год - дорого, да не очень-то и нужно), но такой подлянки не ожидаю. Усоседей на GE такого нет.
Андрей Юрьевич
Неоднозначно всё
Вмешательство хакеров обойдется в неустойку под 400 тысяч. В Твери за эксплуатацию КТ в 3 смены и поломку вследствие этого, столько и заплатили фирме-производителю.
А получить самый дорогой в мире ПК без работающей рентгеновской трубки, зато с новым Windows... никому не хочется.
https://www.youtube.com/channel/UCBGxoBUOqUT_bFhSeUgtWEw
Какие вы скушные... в твери этой))
Неоднозначно всё
Полный ОФФ
В 3 смены и сломалось. Мне вообще-то казалость, что они могут работаь круглосуточно, или я путаю причины и следствия
Андрей Юрьевич
Не путаете, просто там сильно эксплуатировали)), без продыху. Работать могут круглосуточно, а трубку жарить до определенного предела...
https://www.youtube.com/channel/UCBGxoBUOqUT_bFhSeUgtWEw
Кстати, сколько тыс. включений у Вас за 2 года эксплуатации. У меня 96. Обещали 300-350 при гарантии 100. Соседи на GE меняют через каждые 100 тыс. "не дожидаясь перитонитов". У них первая трубка слетела на 120тыс. они год простояли, теперь дуют на воду. Мы решили ждать поломки.
Андрей Юрьевич
Даже не знаю точно. Не приходило в голову считать включения
. Понимаю, что регистрируется их количество, но никогда не интересовалась...
У нас исследований не много, не на полную силу работаем, и преимущественно на экстренку. За почти 22 месяца около 2200 исследований. Так что к нам другой тип претензий будет - недоэксплуатация))
https://www.youtube.com/channel/UCBGxoBUOqUT_bFhSeUgtWEw
Можете не комплексовать, вполне удовлетворительная нагрузка. Тем более, с учетом бережного отношения к ресурсу трубки. Ресурс трубки на КТ подобен "шагреневой коже" (с) проф.А.Л.Юдин (близко к тексту)
Андрей Юрьевич