МРТ головного мозга, мозолистое тело

Пол пациента: 
Область исследования: 
Методы исследования: 

Женщина, около 40 лет. Заболела остро несколько месяцев назад, по КТ было выставлено субарахноидальное кровоизлияние. Снимки, как обычно, остались домаangry.

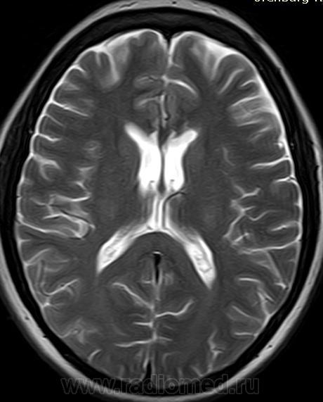
В настоящее время невролога насторожили признаки поражения мозолистого тела - апраксия. Для исключения опухоли мозолистого тела направлена на МРТ.

 

            

  • https://radiomed.ru/sites/default/files/styles/case_slider_image/public/user/1051/img-0003-00001_0.jpg?itok=zPVGDg6c
  • https://radiomed.ru/sites/default/files/styles/case_slider_image/public/user/1051/img-0004-00001_0.jpg?itok=mFE__8qS
  • https://radiomed.ru/sites/default/files/styles/case_slider_image/public/user/1051/img-0005-00001_0.jpg?itok=AJzMYgif
  • https://radiomed.ru/sites/default/files/styles/case_slider_image/public/user/1051/img-0006-00001_0.jpg?itok=3dy_kQNq
  • https://radiomed.ru/sites/default/files/styles/case_slider_image/public/user/1051/img-0007-00001_0.jpg?itok=mEOhxy_k
  • https://radiomed.ru/sites/default/files/styles/case_slider_image/public/user/1051/img-0008-00001_0.jpg?itok=MTnTCIRP
  • https://radiomed.ru/sites/default/files/styles/case_slider_image/public/user/1051/img-0009-00001_0.jpg?itok=PmVX198q
  • https://radiomed.ru/sites/default/files/styles/case_slider_image/public/user/1051/img-0010-00001_0.jpg?itok=QEE7O_UW
  • https://radiomed.ru/sites/default/files/styles/case_slider_image/public/user/1051/img-0011-00001_0.jpg?itok=tXe7qTM9
  • https://radiomed.ru/sites/default/files/styles/case_slider_image/public/user/1051/img-0012-00001_0.jpg?itok=K271X3fj
  • https://radiomed.ru/sites/default/files/styles/case_slider_image/public/user/1051/img-0013-00001_0.jpg?itok=Xj0CCxuT
  • https://radiomed.ru/sites/default/files/styles/case_slider_image/public/user/1051/img-0013-00001_1.jpg?itok=5Fzts-8Q
  • https://radiomed.ru/sites/default/files/styles/case_slider_image/public/user/1051/img-0014-00001.jpg?itok=rqltYmHD
  • https://radiomed.ru/sites/default/files/styles/case_slider_image/public/user/1051/img-0015-00001.jpg?itok=nuT0PJU4
  • https://radiomed.ru/sites/default/files/styles/case_slider_image/public/user/1051/img-0016-00001.jpg?itok=gsxoQnK1
ID:15342
Ольга Сергеевна аватар
Не на сайте
Был на сайте: 11 лет 2 месяцев назад
Зарегистрирован: 20.08.2011 - 19:38
Публикации: 105

Нужны FlaIr и Т2-сагиттальная. Здесь патологии не вижу.

Nela аватар
Не на сайте
Был на сайте: 6 лет 3 недели назад
Зарегистрирован: 12.05.2009 - 20:43
Публикации: 1847

А мозолистое тело тоже нормальное?

Nela аватар
Не на сайте
Был на сайте: 6 лет 3 недели назад
Зарегистрирован: 12.05.2009 - 20:43
Публикации: 1847

Т2 сагиттально не делали. Flair был коронарный, ничего принципиально нового там нет. Показать сейчас не могу, я в отпуске.

На сагиттальных Т1 все достаточно хорошо видно. Была МРА, без особенностей.

irena аватар
Не на сайте
Был на сайте: 9 лет 7 месяцев назад
Зарегистрирован: 28.09.2009 - 13:00
Публикации: 289

Я думаю инфаркты в мозолистом теле.

Nela аватар
Не на сайте
Был на сайте: 6 лет 3 недели назад
Зарегистрирован: 12.05.2009 - 20:43
Публикации: 1847

 Да так и есть! У меня возникла мысль о Маркиафава-Беньями. Но никакого анамнеза. Женщина довольно молодая, сохранная, социально адаптирована. Потом выяснилось, что КТ делали в начале заболевания дважды с интервалом в несколько дней. Первый раз написали субарахноидальное кровоизлияние, второй раз внутрижелудочковое кровоизлияние в стадии рассасывания. Это меня озадачило. Я потребовала снимки, и получила их. Что скажете?

 

Приложения: 
photo-0026.jpg
Nela аватар
Не на сайте
Был на сайте: 6 лет 3 недели назад
Зарегистрирован: 12.05.2009 - 20:43
Публикации: 1847

Снимки мелковаты, но кажется видно, что это свежий инфаркт в мозолистом теле. Кровоизлияний нет. При обследовании у больной выявили наследственную тромбофилию.

Я впервые встретилась с такой локализацией инфаркта. Если у кого-нибудь есть подобные наблюдения, может поделитесь. Было бы интересно узнать насколько часто они встречаются.

unre_ALL аватар
Не на сайте
Был на сайте: 7 лет 11 месяцев назад
Зарегистрирован: 15.09.2010 - 14:52
Публикации: 187

да, мозолистое и выше пострадавшее, на Т2 видно

 

-------------------------------------------------------------------------------------------------

Я получил счет от хирургов. Теперь мне понятно, почему эти парни работают в масках. 

Танюша аватар
Не на сайте
Был на сайте: 14 лет 1 месяц назад
Зарегистрирован: 08.09.2011 - 15:55
Публикации: 175

Мало снимков и очень плохо видно. Но здесь отмечается небольшая дефармация боковых желудочков, кистозные участки в мозолистом теле, возможно, с учетом предыдущий исследований и расценивать нужно, как постишемические изменения.

Nela аватар
Не на сайте
Был на сайте: 6 лет 3 недели назад
Зарегистрирован: 12.05.2009 - 20:43
Публикации: 1847

Именно так я и расценила: инфаркт в мозолистом теле. На КТ острый инфаркт - отек и понижение плотности мозолистого тела, на МРТ последствия инфаркта.

Сергей Нагорный аватар
Не на сайте
Был на сайте: 9 лет 8 месяцев назад
Зарегистрирован: 13.07.2010 - 22:49
Публикации: 1370

На КТ снимках даже на приведенной мелкой фотокопии проявления ишемического инфаркта махровейшее. Интересно, делалось на базе первичного сосудистого центра?

С уважением, С.Н. Нагорный

Nela аватар
Не на сайте
Был на сайте: 6 лет 3 недели назад
Зарегистрирован: 12.05.2009 - 20:43
Публикации: 1847

Нет, не в центре. В городских больницах. Причем один из врачей с большим опытом работы. Наверное с таким не сталкивался sad.

Popovpavel аватар
Не на сайте
Был на сайте: 7 лет 2 месяцев назад
Зарегистрирован: 08.06.2009 - 00:23
Публикации: 649

Вопрос к коллегам.

Почему Вы думаете, что это именно инфаркт? Почему именно острый инфаркт, а не, скажем, постишемические глиозные изменения?

Почему не делали FLAIR и Т2*? На Т2 явно видно понижение уровня сигнала - Вам не кажется, что это геморрагические изменения?

Ольга Сергеевна аватар
Не на сайте
Был на сайте: 11 лет 2 месяцев назад
Зарегистрирован: 20.08.2011 - 19:38
Публикации: 105

Может расширение перикаллезной цистерны? Корональная проекция нужна. И флайер! Как можно судить о постишемических изменениях без него?

Nela аватар
Не на сайте
Был на сайте: 6 лет 3 недели назад
Зарегистрирован: 12.05.2009 - 20:43
Публикации: 1847

Острый инфаркт зафиксирован на КТ+анамнез, острое начало заболевания.

На МРТ через несколько месяцев постинфарктные изменения с признаками геморрагической трансформации в зоне некроза.

Коронарный Flair делали, но показать сейчас не могу, я в отпуске. Т2* не делали.

Сергей Нагорный аватар
Не на сайте
Был на сайте: 9 лет 8 месяцев назад
Зарегистрирован: 13.07.2010 - 22:49
Публикации: 1370

Nela wrote:

Острый инфаркт зафиксирован на КТ+анамнез, острое начало заболевания.

На МРТ через несколько месяцев постинфарктные изменения с признаками геморрагической трансформации в зоне некроза.

Коронарный Flair делали, но показать сейчас не могу, я в отпуске. Т2* не делали.

 

Здравствуйте. Правомочна ли такая терминология в данном случае?

С уважением, С.Н. Нагорный

Ольга Сергеевна аватар
Не на сайте
Был на сайте: 11 лет 2 месяцев назад
Зарегистрирован: 20.08.2011 - 19:38
Публикации: 105

А глиозные изменения видны на Флайер? 

Nela аватар
Не на сайте
Был на сайте: 6 лет 3 недели назад
Зарегистрирован: 12.05.2009 - 20:43
Публикации: 1847

Сергей Николаевич wrote:

Nela wrote:

Острый инфаркт зафиксирован на КТ+анамнез, острое начало заболевания.

На МРТ через несколько месяцев постинфарктные изменения с признаками геморрагической трансформации в зоне некроза.

Коронарный Flair делали, но показать сейчас не могу, я в отпуске. Т2* не делали.

 

Здравствуйте. Правомочна ли такая терминология в данном случае?

Я имела в виду кровоизлияния в зону инфаркта (в подостором периоде), не постинфарктные изменения с кровоизлияниниями, конечно.

Popovpavel аватар
Не на сайте
Был на сайте: 7 лет 2 месяцев назад
Зарегистрирован: 08.06.2009 - 00:23
Публикации: 649

Сейчас, естественно, остались резидуальные изменения - кистозно-глиозные и постгеморрагические, так что вопрос об их происхождении переходит в теоретическую плоскость. И все же.

Мне не очень верится в то, что почти все мозолистое тело, за исключением валика, сразу подверглось инфаркту. Для этого нужна симметричная окклюзия обеих перикаллезных артерий. Откуда она взялась, особенно учитывая отсутствие "цисциркуляторного" анамнеза?

Я бы все-таки поставил на первое место болезнь Мархиафавы-Биньями. Вот, нашел статью про разные поражения мозолистого тела: http://www.ajronline.org/content/179/1/251.full. Выдрал оттуда картинку, на ней хроническая стадия болезни. Видно то же самое: атрофия клюва и ствола мозолистого тела, валик сохранен.

Пишут, что в России случаи болезни еще не описаны, так что у Вас есть нашс;) Расспросите пациентку, узнайте про анамнез. Не было ли долгого злоупотребления алкоголем?

Приложения: 
march.jpg
Nela аватар
Не на сайте
Был на сайте: 6 лет 3 недели назад
Зарегистрирован: 12.05.2009 - 20:43
Публикации: 1847

Насчет Маркиафавы, первая мысль была о нем. Но алкогольного анамнеза нет. Не помню писала я или нет, у больной при обследовании выявили наследственную тробофилию.

Евгений Второй аватар
Не на сайте
Был на сайте: 4 недели 21 час назад
Зарегистрирован: 13.09.2011 - 22:00
Публикации: 1772

Очень похоже на Маркиафава-Биньями. Действительно, нужна хотя бы одна Т2 проекция, отличная от аксиальной для оценки мозолистого тела. У нас кагбэ в стандарт входят аксиальные Т1, Т2, tirm (dark fluid), сагиттальные Т1 ВИ и корональные T2 ВИ. Дальше по необходимости.  

Сергей Нагорный аватар
Не на сайте
Был на сайте: 9 лет 8 месяцев назад
Зарегистрирован: 13.07.2010 - 22:49
Публикации: 1370

Да, на Маркиафаву похоже, а патогенез этой демиелинизации какой? Алкоголь алкоголем.... Тем более, что со слов алкогольного (хронического) анамнеза нет. А с венами все нормально на КТ? Вроде "белеются"...  Если это инфаркт, то по сравнению с КТ должна быть явная динамика (размеры желудков, отек и тп) и она есть. По таким мелким картинкам четко не видно... Следовательно, инфаркт скорее.

С уважением, С.Н. Нагорный