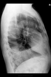
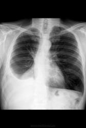
Мужчина, 56 лет. Состояние после нижней билобэктомии правого легкого по поводу центрального рака

Пол пациента: 
Методы исследования: 

  • https://radiomed.ru/sites/default/files/styles/case_slider_image/public/user/6376/rpp_0.jpg?itok=qGGCt2Mw
ID:10256
lupan аватар
Не на сайте
Был на сайте: 6 лет 10 месяцев назад
Зарегистрирован: 07.01.2010 - 17:17
Публикации: 1406

Имею весьма малый опыт наблюдения именно за подобными больными, но думаю что:

1. В плевральной полости, безусловно, жидкость.

2. Упомянутое паракардиальное затенение имеет свое отображение и на боковом снимке

3. Учитывая объем операции (билобэктомия), эта штука вполне может быть внутриплевральным образованием (ограниченное скопление жидкости или что-то в этом роде).

Приложения: 
rpp1.jpg

Великое преймущество врача заключается в том, что он не обязан следовать собственным советам. ( А. Кристи)

lupan аватар
Не на сайте
Был на сайте: 6 лет 10 месяцев назад
Зарегистрирован: 07.01.2010 - 17:17
Публикации: 1406

Забыл добавить. Классные снимки (в плане качества).

Великое преймущество врача заключается в том, что он не обязан следовать собственным советам. ( А. Кристи)

Helios аватар
Не на сайте
Был на сайте: 7 месяцев 2 недели назад
Зарегистрирован: 06.08.2010 - 15:16
Публикации: 4417

Коллега, по возможности, представьте, пожалуйста снимки после операции.

Почему бы не провести УЗИ плевральных полостей?Сразу многие вопросы отпадут.

brother аватар
Не на сайте
Был на сайте: 13 лет 6 месяцев назад
Зарегистрирован: 26.09.2010 - 12:36
Публикации: 16

Так же  склоняемся к указанной вами локализации. Если исключить факт оперативного вмешательства, то можно было бы предполагать также и о патологии 10 сегмента.

bro

brother аватар
Не на сайте
Был на сайте: 13 лет 6 месяцев назад
Зарегистрирован: 26.09.2010 - 12:36
Публикации: 16

Операция была проведена в другом ЛПУ и располагаем мы, к сожалению, лишь выписным эпикризом. В сравнении с описательной картиной послеоперационных снимков, количество жидкости стало меньше (уровень жидкости был на уровне переднего отрезка 4 ребра).

bro

Катенёв Валентин Львович аватар
Не на сайте
Был на сайте: 7 лет 2 недели назад
Зарегистрирован: 22.03.2008 - 22:15
Публикации: 54876

Справа удалено две доли ???

Юрич аватар
Не на сайте
Был на сайте: 6 лет 5 месяцев назад
Зарегистрирован: 17.01.2010 - 09:55
Публикации: 351

это и есть снимки после операции...

brother аватар
Не на сайте
Был на сайте: 13 лет 6 месяцев назад
Зарегистрирован: 26.09.2010 - 12:36
Публикации: 16

судя по эпикризу, удалено две доли.

bro

Катенёв Валентин Львович аватар
Не на сайте
Был на сайте: 7 лет 2 недели назад
Зарегистрирован: 22.03.2008 - 22:15
Публикации: 54876

brother wrote:

судя по эпикризу, удалено две доли.

Не знаю, не знаю...

На мой взгляд, центральный рак только приступил к тактическим действиям.

Катенёв Валентин Львович аватар
Не на сайте
Был на сайте: 7 лет 2 недели назад
Зарегистрирован: 22.03.2008 - 22:15
Публикации: 54876

Может быть есть какие новости от автора?

brother аватар
Не на сайте
Был на сайте: 13 лет 6 месяцев назад
Зарегистрирован: 26.09.2010 - 12:36
Публикации: 16

больному была выполнена компьютерная томография органов грудной клетки. из разговора с доктором, выполнявшим исследование, - затемнения справа представляли собой совокупность свободной и осумкованной жидкости и плевральных наслоений. В пользу благоприятного прогноза говорит еще то, что больной на данный момент набрал в весе 5 кг и в целом самочувствие стало лучше. 

bro

lupan аватар
Не на сайте
Был на сайте: 6 лет 10 месяцев назад
Зарегистрирован: 07.01.2010 - 17:17
Публикации: 1406

brother wrote:

больному была выполнена компьютерная томография органов грудной клетки. из разговора с доктором, выполнявшим исследование, - затемнения справа представляли собой совокупность свободной и осумкованной жидкости и плевральных наслоений. В пользу благоприятного прогноза говорит еще то, что больной на данный момент набрал в весе 5 кг и в целом самочувствие стало лучше. 

wink

Великое преймущество врача заключается в том, что он не обязан следовать собственным советам. ( А. Кристи)

Катенёв Валентин Львович аватар
Не на сайте
Был на сайте: 7 лет 2 недели назад
Зарегистрирован: 22.03.2008 - 22:15
Публикации: 54876

А, что - же с "удаленными" долями?