На что похоже?

Пол пациента: 
Тип патологии: 
Область исследования: 
Методы исследования: 

       

 

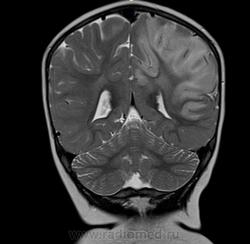
Ребенок 1 год 8 месяцев. В анамнезе с 06.12  многократные рвоты, повышение Т, слабость, сонливость, беспокойство, потиливость. БЫл поставлен диагноз ПТИ, после инфузионнйо терапии, дезинтоксикации в удовлетворительном состоянии выписана. Черезе месяц  гнойные высыпания на конечностях, диагноз пиодермия и дисфункция биллиарного тракта.  Полечили. Дальше в тчеении двух месяцев  однократные-многократные  рвоты, нарушение сна. Невропатолог поставил гидроцефальный синдрмо с тадии субкомпенсации. Ангиоретинопатия. На левой щеке на спине и на коже бедра гематомы в стадии отцветания. Сейчас состояние прогрессивно ухудшается.

Входящий диганоз пишут вирусный менингоэнцефалит. Рекомендуют диффреенцировать со свежими ишемическими изменениями и неопластическим процессом.

 

М.б. астроцитома?

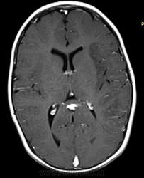
  • https://radiomed.ru/sites/default/files/styles/case_slider_image/public/user/6212/t1_ax_c.jpg?itok=6vuH4AZq
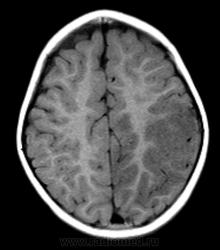
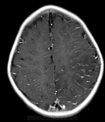
  • https://radiomed.ru/sites/default/files/styles/case_slider_image/public/user/6212/t1_ax.jpg?itok=1NRzin49
  • https://radiomed.ru/sites/default/files/styles/case_slider_image/public/user/6212/t2_ax1.jpg?itok=HdQ9WcWU
  • https://radiomed.ru/sites/default/files/styles/case_slider_image/public/user/6212/t2_ax.jpg?itok=4AnzNr4r
  • https://radiomed.ru/sites/default/files/styles/case_slider_image/public/user/6212/t2_cor.jpg?itok=zxr6cdV5
ID:24075
Popovpavel аватар
Не на сайте
Был на сайте: 7 лет 2 месяцев назад
Зарегистрирован: 08.06.2009 - 00:23
Публикации: 649

На инсульт похоже. А других последовательностей не делали, что ли?

unre_ALL аватар
Не на сайте
Был на сайте: 7 лет 11 месяцев назад
Зарегистрирован: 15.09.2010 - 14:52
Публикации: 187

А что еще нужно? Диффузия есть, какой-то не очень понятный flair, зона изменений на них идентична Т2ВИ. По РКТ перед этим заподозрили арахноидальную кисту, диф с менингиомой задней трети серпа. 

 

Учитывая возникающие мелкие гематомы на теле и ангиоретинопатию можно предпологать  некую патологию сосудистого русла.  

 

В тоже время, ишемия (инсульт?) по времени (с июня 12г),а так же клиническим проявлениям не очень подходит.   Без отека, борозды сохранены, сдавление вон левого желудка...  

Еще один диагноз звучит -  поражение ЦНС на фоне болезни обмена. 

 

-------------------------------------------------------------------------------------------------

Я получил счет от хирургов. Теперь мне понятно, почему эти парни работают в масках. 

Special.K аватар
Не на сайте
Был на сайте: 8 лет 10 месяцев назад
Зарегистрирован: 09.08.2012 - 23:08
Публикации: 479

а что на DWI ?

Евгений Второй аватар
Не на сайте
Был на сайте: 1 месяц 5 дней назад
Зарегистрирован: 13.09.2011 - 22:00
Публикации: 1772

Артериальный инфаркт в бассейн не умещается, тут и сма и пма. Синусы на взгляд проходимы. Так что мне кажется больше за энцефалит. Оболочки правда не утолщены (если менингоэнцефалит).

unre_ALL аватар
Не на сайте
Был на сайте: 7 лет 11 месяцев назад
Зарегистрирован: 15.09.2010 - 14:52
Публикации: 187

На DWI зона умеренно сниженой диффузии, по размерам и структуре идентичная зоне изменений на Т2ВИ. Ни больше ни меньше.  

 

-------------------------------------------------------------------------------------------------

Я получил счет от хирургов. Теперь мне понятно, почему эти парни работают в масках. 

unre_ALL аватар
Не на сайте
Был на сайте: 7 лет 11 месяцев назад
Зарегистрирован: 15.09.2010 - 14:52
Публикации: 187

Евгений Второй wrote:
Артериальный инфаркт в бассейн не умещается, тут и сма и пма. Синусы на взгляд проходимы. Так что мне кажется больше за энцефалит. Оболочки правда не утолщены (если менингоэнцефалит).

А исследование ликвора при менингоэнцефалите что может дать?

Невропатолог от 26.12.12 пишет менингиальных знаков нет. Диагноз: Поражение ЦНС на фоне болезни обмена.  

учитывая количество нозологий по другим органам и локализациям представляется вероятным связать изменения г.м. с неким системным заболеванием.  Не знаю что им ответить. Что еще поискать-посмотреть рекомендовать? 

 

-------------------------------------------------------------------------------------------------

Я получил счет от хирургов. Теперь мне понятно, почему эти парни работают в масках. 

Евгений Второй аватар
Не на сайте
Был на сайте: 1 месяц 5 дней назад
Зарегистрирован: 13.09.2011 - 22:00
Публикации: 1772

Анамнез не дочитал сначала. За опухоль на мой взгляд данных нет вообще. Изменения идут по коре на большом протяжении с небольшой относительно зоной отёка белого вещества. Так что менингоэнцефалит наиболее вероятен. Анамнез ликвора на мой взгляд обязателен, хотя я и не невролог.

nnemo аватар
Не на сайте
Был на сайте: 11 лет 1 месяц назад
Зарегистрирован: 13.09.2011 - 18:32
Публикации: 561

Я бы в дифряд еще гипоперфузию добавил (визуально похоже на PRES, но локализация иная)... Что там с магистральными сосудами? Ангио делали?

nnemo аватар
Не на сайте
Был на сайте: 11 лет 1 месяц назад
Зарегистрирован: 13.09.2011 - 18:32
Публикации: 561

MELAS?

Приложения: 
__2012-11-02__19.56.07.png
unre_ALL аватар
Не на сайте
Был на сайте: 7 лет 11 месяцев назад
Зарегистрирован: 15.09.2010 - 14:52
Публикации: 187

nnemo wrote:

MELAS?

 

А ведь похоже. И клиника, главное,  укладывается. Спасибо, доктор, за интересное мнение!

 

-------------------------------------------------------------------------------------------------

Я получил счет от хирургов. Теперь мне понятно, почему эти парни работают в масках. 

Popovpavel аватар
Не на сайте
Был на сайте: 7 лет 2 месяцев назад
Зарегистрирован: 08.06.2009 - 00:23
Публикации: 649

Да ладно вам экзотику искать.

Масс-эффект есть - присмотритесь к бороздам на Т1. Есть поражение и коры, и белого вещества - такое бывает при нарушении кровотока по мелким сосудам. Снижение диффузии (я так понимаю, ADC снижен?) как раз говорит о цитотоксическом отеке и характерно для инфаркта. Единственное, что смущает - это вовлечение бассейна ПМА. Но, во первых, эти бассейны у людей вариабельны, и вполне может оказаться, что медиальные отделы полушария кровоснабжаются у этого пациента из СМА. А во-вторых, если есть патология сосудов, то почему бы и не поражение 2 бассейнов сразу? Так что, я не вижу тут ничего, что бы не укладывалось в инсульт. А посему пользуемся бритвой Оккама.

Энцефалит как правило двусторонний. Все эти болезни обмена - тоже множественные участки.

алкс аватар
Не на сайте
Был на сайте: 10 лет 3 недели назад
Зарегистрирован: 24.10.2012 - 22:55
Публикации: 2915

Popovpavel wrote:

Да ладно вам экзотику искать.

Масс-эффект есть - присмотритесь к бороздам на Т1. Есть поражение и коры, и белого вещества - такое бывает при нарушении кровотока по мелким сосудам. Снижение диффузии (я так понимаю, ADC снижен?) как раз говорит о цитотоксическом отеке и характерно для инфаркта. Единственное, что смущает - это вовлечение бассейна ПМА. Но, во первых, эти бассейны у людей вариабельны, и вполне может оказаться, что медиальные отделы полушария кровоснабжаются у этого пациента из СМА. А во-вторых, если есть патология сосудов, то почему бы и не поражение 2 бассейнов сразу? Так что, я не вижу тут ничего, что бы не укладывалось в инсульт. А посему пользуемся бритвой Оккама.

Энцефалит как правило двусторонний. Все эти болезни обмена - тоже множественные участки.

Примыкаю к Вашему мнению.