Пол пациента:
Тип патологии:
Область исследования:
Методы исследования:
Уважаемые коллеги!
Ранее данный пациет представлялся нами в виде "заметки", под названием "Перисциссурит слева". Были выставлены следующие изображения.
Пациент был госпитализирован в терапевтическое отделение, проведено противовоспалительное лечение. Сегодня пациент направлен на рентген-контроль.
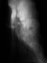
Произведены рентгенограммы в прямой и левой боковой проекциях.
Фактически динамики нет. Решено произвести томографию в прямой проекции (через корень).
Произведены томограммы в боковой проекции через корень.
Направили пациента на консультацию к онкологам. Коллеги! Ваше мнение.
На мой взгляд, абсолютно правы.
Андрей Юрьевич
Переферическое образование(вероятнее Cr), какой некрасивый левый корень-лимфоаденопатия.
Мышь.
Спасибо за высказанные мнения.
А вот с татьяной луневой поспорю: самое, что ни на есть центральное, а в корне, кроме аденопатии, еще и обтурация.
Андрей Юрьевич
<<А вот с татьяной луневой поспорю..>> От перемены мест слагаемых...
Зри в корень!
<<А вот с татьяной луневой поспорю: самое, что ни на есть центральное, а в корне, кроме аденопатии, еще и обтурация.>>
ИМХО здесь обтурация соустья Br 4 и Br5. Массивные метастазы в бронхо-пульмональные л/узлы. Очень массивные. А на картинках полученных в результате цифровой обработки рентгенограмм они «слиняли», потому и перисциссурит. Но и периферическое образование слева на томограммах тоже выявляется.
Кучно идёт патология в Белгородской обл. Чернобыль?
Неоднозначно всё
Возможно.