Ателектаз верхней доли правого легкого в результате нарушения проходимости долевого бронха.

Пол пациента: 
Методы исследования: 

Катенёв В.Л.

Случай из практики «Ателектаз верхней доли правого легкого в результате нарушения проходимости долевого бронха».

(Рентгенологическое отделение МУЗ «Красногвардейская центральная районная больница» Белгородской области).

 

При расшифровке флюорограмм пациент взят на контроль. При явке на контроль пациент жалоб не предъявляет, отмечает, что в последнее время появилась одышка.

1.
1.
2.
2.

 

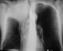
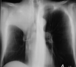
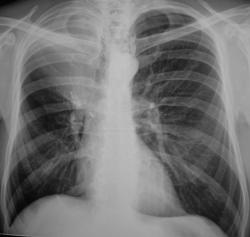
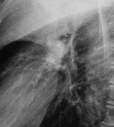
На иллюстрациях 1, 2. Представлены флюорограммы, произведенные в «настоящее время». На флюорограмме, произведенной в прямой стандартной проекции, визуализируется снижение прозрачности легочной ткани верхней доли правого лёгкого однородной структуры, без четких контуров. Правый корень несколько подтянут кверху, что навело на мысль об ателектазе. На боковой флюорограмме дифференцируется снижение прозрачности верхней доли средней интенсивности, однородной структуры с четкими «вогнутыми контурами», имеет место уплотнение структур корня с «кажущейся тяжистостью» кпереди, в средней доле. В грудном отделе позвоночника явления межпозвонкового остеохондроза.

3.
3.

 

Иллюстрация 3. Поднят «архив». Цифровая флюорограмма за 2007 год.

 

Пациент явился на контроль. Произведено дообследование методами цифровой рентгенографии и цифровой линейной томографии в прямой стандартной проекции.

4.
4.
5.
5.

 

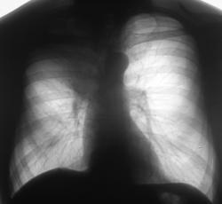
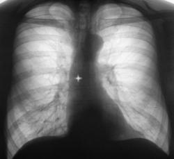
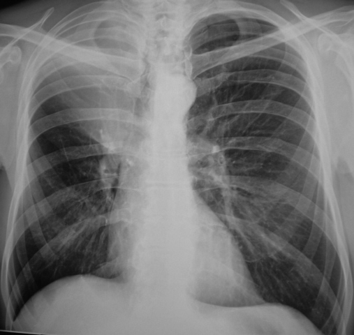
Иллюстрации 4, 5. На обзорной рентгенограмме органов грудной полости, произведенной в прямой проекции, в дополнении к скиалогической картине, полученной при цифровой флюорограмме добавлено — некоторое смещение верхнего средостения вправо с учетом смещения «просвета трахеи». При детальном исследовании области правого корня дополнительной информации не выявлено.

6.
6.
7.
7.

 

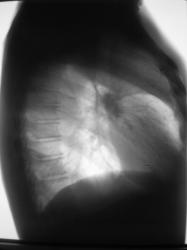
Иллюстрации 6, 7. Картина в боковой проекции. Дифференцируется умеренно ателектазированная верхняя доля правого лёгкого. Фрагмент рентгенограммы демонстрирует картину правого корня.

8.
8.

 

Иллюстрация 8. Срез 9 см. Картина ателектаза верхней доли правого лёгкого. Тень правого корня не дифференцируется, возможно, за счет некоторого смещения средостения вправо (накатывание на корень).

9.
9.
10.
10.

 

Иллюстрации 9, 10. Срез 11 см. Дифференцируется «культя» верхнедолевого бронха.

11.
11.

 

Иллюстрация 11. Срез 11 см. Увеличенное изображение структур правого корня, в том числе, и «культи» верхнедолевого бронха.

12.
12.

 

Иллюстрация 12. Срез 13 см.

 

Пациенту рекомендовано проведение полного клинического обследования, консультация и обследование у онколога.

 

ВложениеРазмер
Иконка изображения 1.67.82 КБ
Иконка изображения 2.76.43 КБ
Иконка изображения 3.77.94 КБ
Иконка изображения 4.75.27 КБ
Иконка изображения 5.66.54 КБ
Иконка изображения 6.82.28 КБ
Иконка изображения 7.64.97 КБ
Иконка изображения 8.61.32 КБ
Иконка изображения 9.66.42 КБ
Иконка изображения 10.66.9 КБ
Иконка изображения 11.40.22 КБ
Иконка изображения 12.61.01 КБ