Пациент, после анализа флюорограмм "взят на контроль". Произведено стандартное дообследование - рентгенография в прямой и правой боковой проекциях, боковая томография. По большому счету, пациет жалоб не предъявляет.






Что посоветуете уважаемые коллеги.
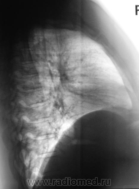
Вначале думал о центральном раке, ателектазе, но на томограммах видно четко бронхи "воздушная бронхограмма". Может пневмония?.
Здравствуйте Евгений!
Массивное затемнение "вне анатомических границ", рождает сомнения по поводу "осумкования". Что за снижение прозрачности "сзади", но фоне чего хорошо дифференцируется бронх - думаю, что "инфильтрация". пациент в стационаре, назначена противовоспалительная терапия. По всей видимости, динамика будет выставлена, если "область не заберет на себя".
Здравствуйте Валентин Львович.
Мыслей о междолевом осумкованном плеврите нет, т.к. контуры не ровные, о центральном раке не думаю т.к. бронхи говорят об их интактности, думаю пока о пневмонии. Динамика в данном случае, в паре с лечением должа дать ответ.
А почему область может забрать на себя?
такая картина может быть и при бронхиолоальвеолярном раке...
Кроме того, у меня впечатление о наличии полостного образования в S3 в/доли
"самоуверенность дилетантов - предмет зависти профессионалов"
О БАР думал, но с учетом того, что было оговорено притивовоспалительное лечение, с проведением дальнейшего наблюдения, это вопрос пока отставил.
Область может забрать на себя, так как это более рационально, ибо наша больничка - это маленькая ЦРБ, где хронический недостаток в специалистах.
Динамика после проведенного противовоспалительного лечения. Сегодня пациент был доставлен в рентгеновский кабинет для проведения "контроля". Проведена рентгенография в стандартных проекциях - прямая и боковая, был произведен 1 срез в боковой проекции.
Ваше мнение коллеги?