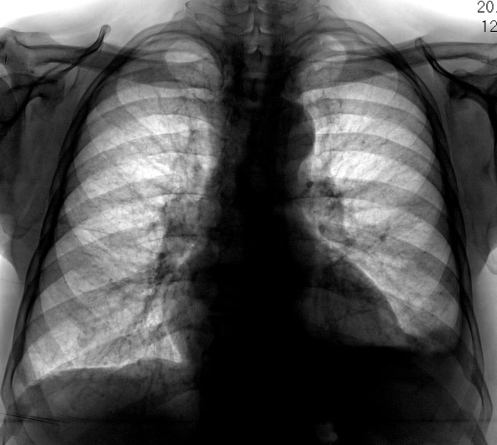
Пол пациента: Мужской пол Тип патологии: Другое Область исследования: Грудная клетка и верхние дыхательные пути Методы исследования: Rg Направлен на рентгенографию ОГК с подозрением на левостороннюю пневмонию. 2. https://radiomed.ru/sites/default/files/styles/case_slider_image/public/user/12/12.201411050032.jpg?itok=dJ8_3Oxo https://radiomed.ru/sites/default/files/styles/case_slider_image/public/user/12/13.201411050033.jpg?itok=fmadLMvN ID:56752 Пт, 07/11/2014 - 15:23 #1 NIL Не на сайте Был на сайте: 6 часов 38 минут назад Зарегистрирован: 25.11.2013 - 20:50 Публикации: 18206 Гидроторакс слева, на фоне которого что-то шаровидное. Латерографию бы (для начала). "Слушай всех, прислушивайся к немногим, решай сам".© Пт, 07/11/2014 - 16:26 #2 Сергей Кузьминов Не на сайте Был на сайте: 1 год 2 недели назад Зарегистрирован: 06.10.2012 - 15:51 Публикации: 11813 Нет.Для начала-контроль после пункции. Пт, 07/11/2014 - 21:20 #3 И.Бондаренко Не на сайте Был на сайте: 2 дня 5 часов назад Зарегистрирован: 13.09.2011 - 22:55 Публикации: 9206 +1 Пнд, 10/11/2014 - 12:36 #4 Катенёв Валенти... Не на сайте Был на сайте: 7 лет 2 недели назад Зарегистрирован: 22.03.2008 - 22:15 Публикации: 54876 "Шаровидное" - по боковой? Пнд, 10/11/2014 - 12:54 #5 NIL Не на сайте Был на сайте: 6 часов 38 минут назад Зарегистрирован: 25.11.2013 - 20:50 Публикации: 18206 И на прямой тоже естьПриложения: "Слушай всех, прислушивайся к немногим, решай сам".© Пнд, 10/11/2014 - 12:56 #6 Катенёв Валенти... Не на сайте Был на сайте: 7 лет 2 недели назад Зарегистрирован: 22.03.2008 - 22:15 Публикации: 54876 Если по прямой, так с другой стороны точно такой...
Гидроторакс слева, на фоне которого что-то шаровидное. Латерографию бы (для начала).
"Слушай всех, прислушивайся к немногим, решай сам".©
Нет.Для начала-контроль после пункции.
+1
"Шаровидное" - по боковой?
И на прямой тоже есть
"Слушай всех, прислушивайся к немногим, решай сам".©
Если по прямой, так с другой стороны точно такой...