Пол пациента: Женский пол Тип патологии: Другое Область исследования: Скелетно-мышечная система Методы исследования: Rg Направлен с диагнозом деформации голеностопного сустава https://radiomed.ru/sites/default/files/styles/case_slider_image/public/user/12/2.dscn1417.jpg?itok=gXxfDKZ1 ID:27934 Чт, 11/04/2013 - 01:26 #1 Vikkur Не на сайте Был на сайте: 4 года 8 месяцев назад Зарегистрирован: 24.09.2009 - 14:34 Публикации: 1749 Уважаемый Валентин Львович была ли травма в анамнезе? больно таранная кость странная. Виктор. Чт, 11/04/2013 - 13:41 #2 Демчев Валентин... Не на сайте Был на сайте: 7 лет 7 месяцев назад Зарегистрирован: 08.02.2011 - 15:40 Публикации: 445 Смею предположить м.б. у пациента эквинусная деформация а отсюда и "странная" таранная кость. Чт, 11/04/2013 - 14:39 #3 Глазков Игорь А... Не на сайте Был на сайте: 9 месяцев 3 недели назад Зарегистрирован: 19.12.2008 - 20:41 Публикации: 1597 может быть последствием ДОА. Хотя травму тоже нельзя сбрасывать со счетов. Прийди к Себе Пт, 12/04/2013 - 01:41 #4 Катенёв Валенти... Не на сайте Был на сайте: 7 лет 3 недели назад Зарегистрирован: 22.03.2008 - 22:15 Публикации: 54876 Vikkur wrote: Уважаемый Валентин Львович была ли травма в анамнезе? больно таранная кость странная. Травмы не было Пт, 12/04/2013 - 01:42 #5 Катенёв Валенти... Не на сайте Был на сайте: 7 лет 3 недели назад Зарегистрирован: 22.03.2008 - 22:15 Публикации: 54876 Чавой-то наши уважаемые ортопеды-травматологи эту ветку, ну совсем манкируют Пт, 12/04/2013 - 18:03 #6 Катенёв Валенти... Не на сайте Был на сайте: 7 лет 3 недели назад Зарегистрирован: 22.03.2008 - 22:15 Публикации: 54876 Vikkur wrote: больно таранная кость странная. Да, Вы правы уважаемый коллега, странноватая однако таранная кость, да и голеностоп, особенно на боковой, как из потустороннего мира... Пт, 12/04/2013 - 18:08 #7 Катенёв Валенти... Не на сайте Был на сайте: 7 лет 3 недели назад Зарегистрирован: 22.03.2008 - 22:15 Публикации: 54876 Демчев Валентин Анатольевич wrote: Смею предположить м.б. у пациента эквинусная деформация а отсюда и "странная" таранная кость. Это вы на "конскую стопу" намекаете? Пт, 12/04/2013 - 18:09 #8 Катенёв Валенти... Не на сайте Был на сайте: 7 лет 3 недели назад Зарегистрирован: 22.03.2008 - 22:15 Публикации: 54876 Интересная однако линейная "тенюха"...Приложения: Пт, 12/04/2013 - 20:28 #9 Гриша Хата Не на сайте Был на сайте: 10 лет 2 недели назад Зарегистрирован: 09.02.2011 - 20:40 Публикации: 665 Это подошвенный апоневроз. Пт, 12/04/2013 - 21:22 #10 Катенёв Валенти... Не на сайте Был на сайте: 7 лет 3 недели назад Зарегистрирован: 22.03.2008 - 22:15 Публикации: 54876 Гриша Хата wrote: Это подошвенный апоневроз. +1. Остается вопрос - почему виден? Вс, 14/04/2013 - 10:21 #11 Варда Не на сайте Был на сайте: 4 года 11 месяцев назад Зарегистрирован: 01.10.2012 - 21:32 Публикации: 12 Боюсь предположить,что это плантарный фасцит,скорее его начальные проявления
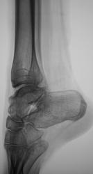
Уважаемый Валентин Львович была ли травма в анамнезе? больно таранная кость странная.
Виктор.
Смею предположить м.б. у пациента эквинусная деформация а отсюда и "странная" таранная кость.
может быть последствием ДОА. Хотя травму тоже нельзя сбрасывать со счетов.
Прийди к Себе
Травмы не было
Чавой-то наши уважаемые ортопеды-травматологи эту ветку, ну совсем манкируют
Да, Вы правы уважаемый коллега, странноватая однако таранная кость, да и голеностоп, особенно на боковой, как из потустороннего мира...
Это вы на "конскую стопу" намекаете?
Интересная однако линейная "тенюха"...
Это подошвенный апоневроз.
+1.
Остается вопрос - почему виден?
Боюсь предположить,что это плантарный фасцит,скорее его начальные проявления