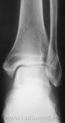
Травма. Пациент направлен на рентгенографию голеностопного сустава.

Пол пациента: 
Тип патологии: 
Область исследования: 
Методы исследования: 

Травма. Пациент направлен на рентгенографию голеностопного сустава.

  • https://radiomed.ru/sites/default/files/styles/case_slider_image/public/user/12/2.pc060033a.jpg?itok=iue20XvF
  • https://radiomed.ru/sites/default/files/styles/case_slider_image/public/user/12/3.pc060033-1.jpg?itok=OIGslF2S
  • https://radiomed.ru/sites/default/files/styles/case_slider_image/public/user/12/4.pc060033-1a.jpg?itok=8uBX7Nn-
  • https://radiomed.ru/sites/default/files/styles/case_slider_image/public/user/12/5.pc060033-1ab.jpg?itok=aZlAORoS
  • https://radiomed.ru/sites/default/files/styles/case_slider_image/public/user/12/6.pc060034.jpg?itok=HJsj0W1u
  • https://radiomed.ru/sites/default/files/styles/case_slider_image/public/user/12/7.pc060034a.jpg?itok=wp8KD8MU
  • https://radiomed.ru/sites/default/files/styles/case_slider_image/public/user/12/8.pc060034-1.jpg?itok=uGmhLaBb
  • https://radiomed.ru/sites/default/files/styles/case_slider_image/public/user/12/9.pc060034-1a.jpg?itok=WaM36uj2
ID:9832
Глазков Игорь Артурович аватар
Не на сайте
Был на сайте: 9 месяцев 3 недели назад
Зарегистрирован: 19.12.2008 - 20:41
Публикации: 1597

напоминает перелом по типу Фолькмановского клина.

Прийди к Себе

Алексей Ж аватар
Не на сайте
Был на сайте: 6 лет 8 месяцев назад
Зарегистрирован: 05.02.2013 - 08:16
Публикации: 130

Фолькмана перелом (f. Volkmann) - разновидностью перелома Дюпюитрена, отличается тем, что наряду с переломом медиальной лодыжки и малоберцовой кости происходит перелом латерального края дистального эпиметафиза большеберцовой кости, отломок которого обычно имеет треугольную форму. Впервые описан Volkmann R.

(то есть при трехлодыжечном переломе).

А какова давность травмы? Уж слишком четкие края у этой "линии перелома". Но она почему то не пересекает кортикальную пластинку наружней лодыжки.