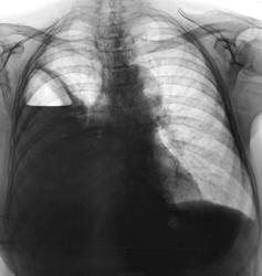
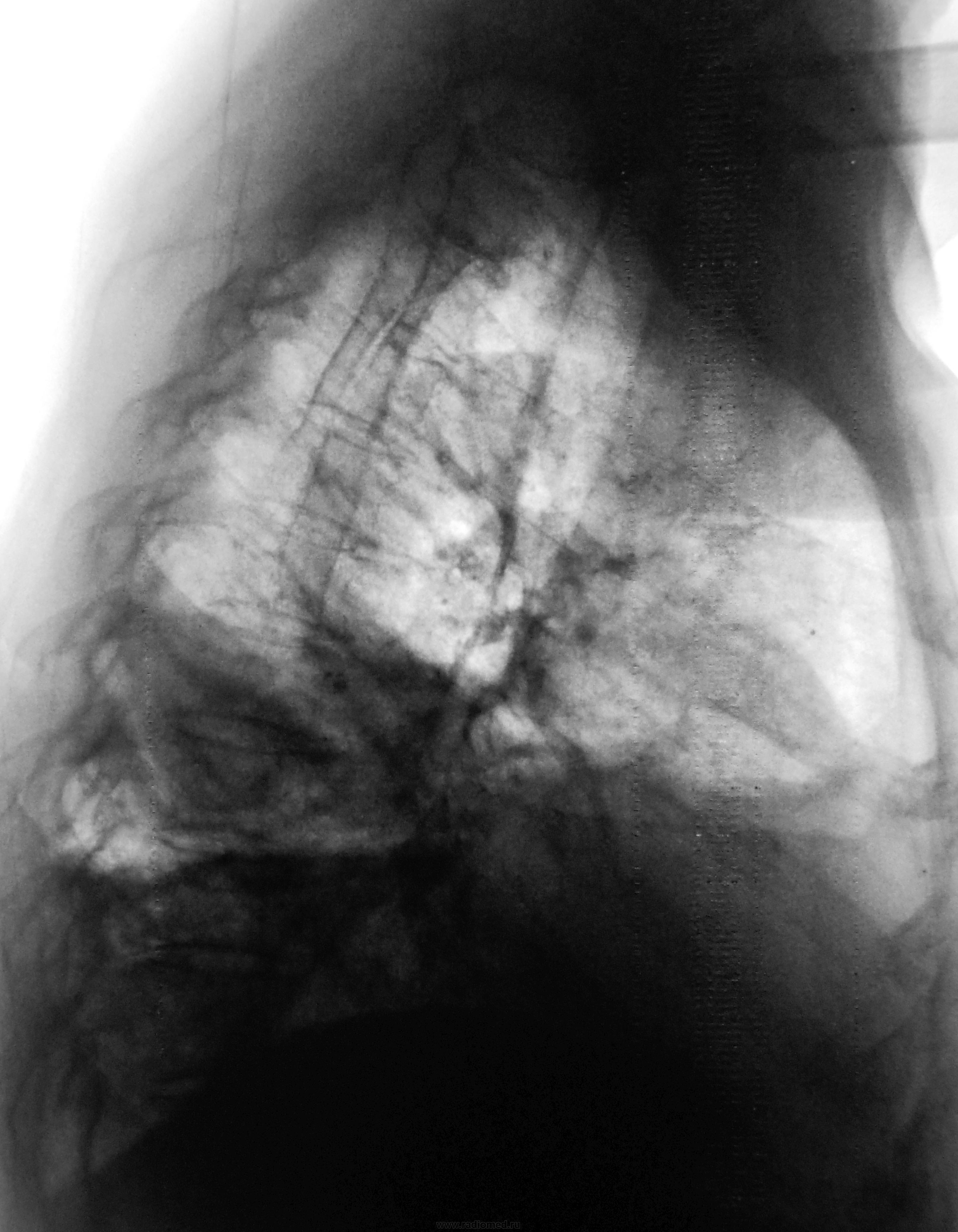
Неделю лечится в терапии, как бы по поводу сердца...

Пол пациента: 
Тип патологии: 
Методы исследования: 

Неделю лечится в терапии, как бы по поводу сердца...

Контроль после лечения в Х.О.

  • https://radiomed.ru/sites/default/files/styles/case_slider_image/public/user/12/2.dscn0226a.jpg?itok=PEJXCZD-
  • https://radiomed.ru/sites/default/files/styles/case_slider_image/public/user/12/3.dscn0227.jpg?itok=oADZ5l5f
  • https://radiomed.ru/sites/default/files/styles/case_slider_image/public/user/12/4.dscn0227a.jpg?itok=52fP0tgP
  • https://radiomed.ru/sites/default/files/styles/case_slider_image/public/user/12/1.dscn0287.jpg?itok=wphLevYb
  • https://radiomed.ru/sites/default/files/styles/case_slider_image/public/user/12/2.dscn0287a.jpg?itok=b40rmL42
  • https://radiomed.ru/sites/default/files/styles/case_slider_image/public/user/12/3.dscn0288.jpg?itok=ntjrTrxb
  • https://radiomed.ru/sites/default/files/styles/case_slider_image/public/user/12/4.dscn0288a.jpg?itok=kQrPM9Wv
ID:23566
stovbav аватар
Не на сайте
Был на сайте: 2 года 2 месяцев назад
Зарегистрирован: 20.12.2009 - 17:28
Публикации: 7066

С такой эмпиемой и сердцу "несладко" придется.

Наталия Васильевна аватар
Не на сайте
Был на сайте: 5 лет 9 месяцев назад
Зарегистрирован: 25.09.2011 - 09:02
Публикации: 754

[quote=stovbav]

С такой эмпиемой и сердцу "несладко" придется.

[/quote

+1!

Almo аватар
Не на сайте
Был на сайте: 4 часа 29 минут назад
Зарегистрирован: 28.09.2008 - 18:50
Публикации: 8260

Температура у пациента повышенная?

Катенёв Валентин Львович аватар
Не на сайте
Был на сайте: 7 лет 3 недели назад
Зарегистрирован: 22.03.2008 - 22:15
Публикации: 54876

Температура весьма "тухлая" - в среднем около 37,5

cupitur аватар
Не на сайте
Был на сайте: 11 лет 10 месяцев назад
Зарегистрирован: 19.09.2011 - 10:42
Публикации: 262

это пиопневмоторакс? или только жидкость в легком? а слева на уровне дуги аорты что? нет ли там чего-нибудь посерьезней, чем инфекция?

Любовь С. аватар
Не на сайте
Был на сайте: 9 лет 5 месяцев назад
Зарегистрирован: 23.12.2010 - 01:58
Публикации: 2324

Хочется переломов рёбер, ключицы, всё справа, но как-то не очень внятно... а жаль!smiley Тогда причина и следствие так аккуратно вписывались бы в картину!

"Предоставляя весь смысл и совершенство в распоряжение одного только Бога, вы избавляете себя от бездны хлопот." Джон Уитборн.

Игорь Иванович аватар
Не на сайте
Был на сайте: 3 года 9 месяцев назад
Зарегистрирован: 23.01.2010 - 14:56
Публикации: 3695

stovbav wrote:

С такой эмпиемой и сердцу "несладко" придется.

А это в плевре, или, скорее, в легком? Эмпиема, или абсцесс?

Приложения: 
1.dscn0226.jpg
фатя аватар
Не на сайте
Был на сайте: 4 года 2 месяцев назад
Зарегистрирован: 13.02.2012 - 19:43
Публикации: 30

клиники эмпиемы нет,осумкованный пневмоплеврит.

фкар

stovbav аватар
Не на сайте
Был на сайте: 2 года 2 месяцев назад
Зарегистрирован: 20.12.2009 - 17:28
Публикации: 7066

1.Пневмоплеврит (pneumopleuritis; пневмо‑ (Пневмо-) + Плеврит) экссудативный плеврит, при котором в плевральной полости наряду с экссудатом скапливается воздух; развивается при наличии бронхоплеврального свища или как осложнение искусственного пневмоторакса.

2.Эмпиема плевры (пиоторакс, гнойный плеврит) — скопление гноя в плевральной полости. Как правило, эмпиема плевры развивается в связи с инфекционным поражением лёгких (пневмонией) и часто ассоциирована с парапневмоническим выпотом. Различают три стадии эмпиемы: экссудативная, фибринозно-гнойная и организующая. При экссудативной фазе происходит накопление гноя. Фибринозно-гнойная стадия проявляется осумкованием плевральной жидкости с формированием гнойных карманов. В конечную, организующую стадию, происходит рубцевание плевральной полости, которое может привести к замуровыванию лёгкого.

Как то не очень это на пневмоплеврит смахивает. да и где соответствующий анамнез?

А клиника может быть разной, ведь эмпиема может быть и хронической.

Igor_ аватар
Не на сайте
Был на сайте: 13 лет 2 месяцев назад
Зарегистрирован: 10.08.2012 - 21:43
Публикации: 40

гидропневмоторакс справа , смещение горизонтальной м/д щели кверху , левый рёберно-диафрагмальный синус уплощён - нельзя искл. небольшое кол-во жидкости и в левой плевральной полости.

Катенёв Валентин Львович аватар
Не на сайте
Был на сайте: 7 лет 3 недели назад
Зарегистрирован: 22.03.2008 - 22:15
Публикации: 54876

Любовь С. wrote:

Хочется переломов рёбер, ключицы, всё справа, но как-то не очень внятно... а жаль!smiley Тогда причина и следствие так аккуратно вписывались бы в картину!

Травмы не было.

Катенёв Валентин Львович аватар
Не на сайте
Был на сайте: 7 лет 3 недели назад
Зарегистрирован: 22.03.2008 - 22:15
Публикации: 54876

stovbav wrote:

Как то не очень это на пневмоплеврит смахивает. да и где соответствующий анамнез?

Вы правы уважаемый Виктор Григорьевич!

"Это" мало смахивает на пневмоплеврит, ну просто, аж никак.

stovbav аватар
Не на сайте
Был на сайте: 2 года 2 месяцев назад
Зарегистрирован: 20.12.2009 - 17:28
Публикации: 7066

А что пункция?))))

Как по мне - она показана....

Катенёв Валентин Львович аватар
Не на сайте
Был на сайте: 7 лет 3 недели назад
Зарегистрирован: 22.03.2008 - 22:15
Публикации: 54876

Насчет пункции не знаю, все может быть, но рентген-контроль будет в любом случае.

И.Бондаренко аватар
На сайте
Был на сайте: 23 часа 49 минут назад
Зарегистрирован: 13.09.2011 - 22:55
Публикации: 9206

Igor_ wrote:

гидропневмоторакс справа , смещение горизонтальной м/д щели кверху , левый рёберно-диафрагмальный синус уплощён - нельзя искл. небольшое кол-во жидкости и в левой плевральной полости.

Если не было пункции, то откуда воздух? Или из бронха (деструкция), или сами бактерии вырабатывают. В любом случае похоже на эмпиему.

Mitkampfer аватар
Не на сайте
Был на сайте: 11 лет 1 месяц назад
Зарегистрирован: 27.07.2010 - 07:43
Публикации: 1454

Пневмогидроторакс осумкованный, эмпиемы клиника несоответствует. В месте темном мы оказались… Знания осветили бы наш путь. Темной стороны страшусь я.

Не ограничивайте свою мысль

Живешь пока учишься

Ecrasez l’infame

cupitur аватар
Не на сайте
Был на сайте: 11 лет 10 месяцев назад
Зарегистрирован: 19.09.2011 - 10:42
Публикации: 262

Рак плевры? Взять жидкость на цитологию!

Катенёв Валентин Львович аватар
Не на сайте
Был на сайте: 7 лет 3 недели назад
Зарегистрирован: 22.03.2008 - 22:15
Публикации: 54876

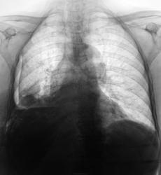
Контроль после лечения в Х.О.

Приложения: 
1.dscn0287.jpg2.dscn0287a.jpg3.dscn0288.jpg4.dscn0288a.jpg
stovbav аватар
Не на сайте
Был на сайте: 2 года 2 месяцев назад
Зарегистрирован: 20.12.2009 - 17:28
Публикации: 7066

Эффект дренирования неоспорим, но - полость сохраняется, и самое главное - а что в пунктате?...неужели - соломенно-желтая?))))

Катенёв Валентин Львович аватар
Не на сайте
Был на сайте: 7 лет 3 недели назад
Зарегистрирован: 22.03.2008 - 22:15
Публикации: 54876

В пунктате - гной