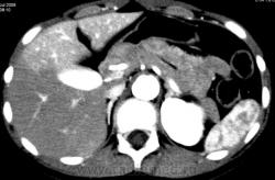
Nela. КТ аорты. Расслаивающаяся аневризма аорты.

Пол пациента: 
Методы исследования: 

Наблюдение Nela.

Это расслоение произошло после баллонопластики коарктации аорты.

Материал размещен по согласованию с автором наблюдения.

  • https://radiomed.ru/sites/default/files/styles/case_slider_image/public/2.AN_..jpg?itok=ywyayXYY
  • https://radiomed.ru/sites/default/files/styles/case_slider_image/public/3.AN_..jpg?itok=-UlRGkP9
  • https://radiomed.ru/sites/default/files/styles/case_slider_image/public/4.AN_..jpg?itok=NT3GjX34
  • https://radiomed.ru/sites/default/files/styles/case_slider_image/public/5.AN_..jpg?itok=ZQRZNHRT
  • https://radiomed.ru/sites/default/files/styles/case_slider_image/public/6.AN_..jpg?itok=R7Nb_I5h
  • https://radiomed.ru/sites/default/files/styles/case_slider_image/public/7.AN_..jpg?itok=A_IajioK
  • https://radiomed.ru/sites/default/files/styles/case_slider_image/public/8.AN_.jpg?itok=1FjUHFyI
  • https://radiomed.ru/sites/default/files/styles/case_slider_image/public/9.AN_.jpg?itok=_84FWvY3
  • https://radiomed.ru/sites/default/files/styles/case_slider_image/public/10.AN__0.jpg?itok=rVR978Gt
  • https://radiomed.ru/sites/default/files/styles/case_slider_image/public/11.AN_.jpg?itok=G0F-TAk3
  • https://radiomed.ru/sites/default/files/styles/case_slider_image/public/12.AN_.jpg?itok=A3Z2rUjH
  • https://radiomed.ru/sites/default/files/styles/case_slider_image/public/13.AN_.jpg?itok=vroH8FK4
  • https://radiomed.ru/sites/default/files/styles/case_slider_image/public/14.AN_.jpg?itok=8V8rgdxb
  • https://radiomed.ru/sites/default/files/styles/case_slider_image/public/15.AN_.jpg?itok=096qctl2
  • https://radiomed.ru/sites/default/files/styles/case_slider_image/public/16.AN_.jpg?itok=whSfzhwK
  • https://radiomed.ru/sites/default/files/styles/case_slider_image/public/17.AN_..jpg?itok=WpbOjhBI
ID:398
Катенёв Валентин Львович аватар
Не на сайте
Был на сайте: 7 лет 4 месяцев назад
Зарегистрирован: 22.03.2008 - 22:15
Публикации: 54876

От автора случая.

Расслоение продолжается ниже почечных артерий и заканчивается на левой общей подвздошной артерии. На уровне почечных артерий истинный просвет едва виден, местами теряется. Забрюшинно гематома.

Андрей Юрьевич аватар
Не на сайте
Был на сайте: 2 месяцев 3 недели назад
Зарегистрирован: 16.11.2008 - 22:16
Публикации: 18101

Расслоение произошло после баллонопластики коарктации аорты? Так?  А аневризма уже была при этом, или возникла остро?

Андрей Юрьевич

Nela аватар
Не на сайте
Был на сайте: 6 лет 5 месяцев назад
Зарегистрирован: 12.05.2009 - 20:43
Публикации: 1847

Все возникло остро. Это девочка-подросток. Стент установить не удалось, слишком узкий истинный просвет. Пытались прооперировать, но через несколько часов после операции девочка умерла.