Непонятка КТ ОГК.

Пол пациента: 
Методы исследования: 

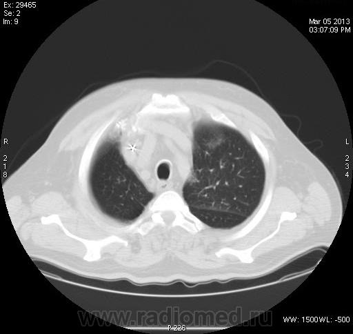
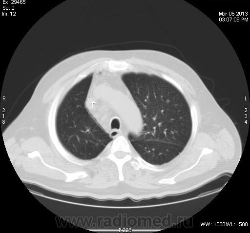
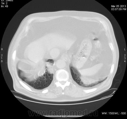
Задыхается, кашляет, Т-37, КТ "Cito!", рентгенограмм нет. В поликлинике закл.:" Двухстороння пневмония, МТС?"

  • https://radiomed.ru/sites/default/files/styles/case_slider_image/public/user/17212/se001_0.jpg?itok=9efS_lyn
  • https://radiomed.ru/sites/default/files/styles/case_slider_image/public/user/17212/se002_0.jpg?itok=I1tHm1m8
  • https://radiomed.ru/sites/default/files/styles/case_slider_image/public/user/17212/se003_0.jpg?itok=FWYU4Wqy
  • https://radiomed.ru/sites/default/files/styles/case_slider_image/public/user/17212/se004_0.jpg?itok=HBhZNx8G
  • https://radiomed.ru/sites/default/files/styles/case_slider_image/public/user/17212/se005_0.jpg?itok=x3diudfp
  • https://radiomed.ru/sites/default/files/styles/case_slider_image/public/user/17212/se006_0.jpg?itok=qI53g1Oo
  • https://radiomed.ru/sites/default/files/styles/case_slider_image/public/user/17212/se007_0.jpg?itok=CwBhqxqI
  • https://radiomed.ru/sites/default/files/styles/case_slider_image/public/user/17212/se008_0.jpg?itok=mLCKzZI5
  • https://radiomed.ru/sites/default/files/styles/case_slider_image/public/user/17212/se009_0.jpg?itok=s3mSDUXK
  • https://radiomed.ru/sites/default/files/styles/case_slider_image/public/user/17212/se010_0.jpg?itok=ioGT096e
  • https://radiomed.ru/sites/default/files/styles/case_slider_image/public/user/17212/se011_0.jpg?itok=z8u55lLe
  • https://radiomed.ru/sites/default/files/styles/case_slider_image/public/user/17212/se012_0.jpg?itok=s2uaMcwF
  • https://radiomed.ru/sites/default/files/styles/case_slider_image/public/user/17212/se013_0.jpg?itok=-nupEfPW
  • https://radiomed.ru/sites/default/files/styles/case_slider_image/public/user/17212/se014_0.jpg?itok=lLG4P5dF
  • https://radiomed.ru/sites/default/files/styles/case_slider_image/public/user/17212/se015_0.jpg?itok=FWdg8nO7
  • https://radiomed.ru/sites/default/files/styles/case_slider_image/public/user/17212/se016_0.jpg?itok=r-U7eclw
  • https://radiomed.ru/sites/default/files/styles/case_slider_image/public/user/17212/se017.jpg?itok=Fm8ZTHgE
  • https://radiomed.ru/sites/default/files/styles/case_slider_image/public/user/17212/se018_0.jpg?itok=lo0hv62V
  • https://radiomed.ru/sites/default/files/styles/case_slider_image/public/user/17212/se019.jpg?itok=gvrF9rFj
  • https://radiomed.ru/sites/default/files/styles/case_slider_image/public/user/17212/se020_0.jpg?itok=D73S-tpS
  • https://radiomed.ru/sites/default/files/styles/case_slider_image/public/user/17212/se021_0.jpg?itok=bl3dz_dO
  • https://radiomed.ru/sites/default/files/styles/case_slider_image/public/user/17212/se022.jpg?itok=80MD1fB3
  • https://radiomed.ru/sites/default/files/styles/case_slider_image/public/user/17212/se023_0.jpg?itok=WbLmh-GH
  • https://radiomed.ru/sites/default/files/styles/case_slider_image/public/user/17212/se024_0.jpg?itok=-IX_xiFG
  • https://radiomed.ru/sites/default/files/styles/case_slider_image/public/user/17212/se025.jpg?itok=H71EsfoN
  • https://radiomed.ru/sites/default/files/styles/case_slider_image/public/user/17212/se026_0.jpg?itok=EmEdRvy0
  • https://radiomed.ru/sites/default/files/styles/case_slider_image/public/user/17212/se027_0.jpg?itok=UxWIiloY
  • https://radiomed.ru/sites/default/files/styles/case_slider_image/public/user/17212/se028_0.jpg?itok=xxeSiZcI
  • https://radiomed.ru/sites/default/files/styles/case_slider_image/public/user/17212/se029_0.jpg?itok=NJkQGTy2
  • https://radiomed.ru/sites/default/files/styles/case_slider_image/public/user/17212/se030_0.jpg?itok=Yk4LGjg3
  • https://radiomed.ru/sites/default/files/styles/case_slider_image/public/user/17212/se031_0.jpg?itok=JuECwdY-
  • https://radiomed.ru/sites/default/files/styles/case_slider_image/public/user/17212/se032.jpg?itok=mJdHav_K
  • https://radiomed.ru/sites/default/files/styles/case_slider_image/public/user/17212/se033.jpg?itok=O1hZIbK5
  • https://radiomed.ru/sites/default/files/styles/case_slider_image/public/user/17212/se034.jpg?itok=lLiUNDYD
  • https://radiomed.ru/sites/default/files/styles/case_slider_image/public/user/17212/se035.jpg?itok=xTJEQ-QL
  • https://radiomed.ru/sites/default/files/styles/case_slider_image/public/user/17212/se036_0.jpg?itok=-COTZdMP
  • https://radiomed.ru/sites/default/files/styles/case_slider_image/public/user/17212/se037.jpg?itok=ezMHlZee
  • https://radiomed.ru/sites/default/files/styles/case_slider_image/public/user/17212/se038.jpg?itok=2XKEMbOH
  • https://radiomed.ru/sites/default/files/styles/case_slider_image/public/user/17212/se039_0.jpg?itok=Rm-5Vv00
  • https://radiomed.ru/sites/default/files/styles/case_slider_image/public/user/17212/se040.jpg?itok=--X5jQEu
  • https://radiomed.ru/sites/default/files/styles/case_slider_image/public/user/17212/se041.jpg?itok=bTvNMqi8
  • https://radiomed.ru/sites/default/files/styles/case_slider_image/public/user/17212/se042.jpg?itok=zFQM_eZP
  • https://radiomed.ru/sites/default/files/styles/case_slider_image/public/user/17212/se043.jpg?itok=rgPax7Ou
  • https://radiomed.ru/sites/default/files/styles/case_slider_image/public/user/17212/se044.jpg?itok=qEbCuOef
  • https://radiomed.ru/sites/default/files/styles/case_slider_image/public/user/17212/se045.jpg?itok=42qBEtJ_
  • https://radiomed.ru/sites/default/files/styles/case_slider_image/public/user/17212/se046.jpg?itok=pcl9xgvL
  • https://radiomed.ru/sites/default/files/styles/case_slider_image/public/user/17212/se047.jpg?itok=UObPszZ9
  • https://radiomed.ru/sites/default/files/styles/case_slider_image/public/user/17212/se048.jpg?itok=jO7IKCFO
  • https://radiomed.ru/sites/default/files/styles/case_slider_image/public/user/17212/se053.jpg?itok=TQdgLObM
ID:26905
ЛГ аватар
Не на сайте
Был на сайте: 8 лет 11 месяцев назад
Зарегистрирован: 06.01.2010 - 12:31
Публикации: 3523

Дайком можете скинуть? Хочется раков с грибами... 

алкс аватар
Не на сайте
Был на сайте: 10 лет 1 месяц назад
Зарегистрирован: 24.10.2012 - 22:55
Публикации: 2915

Дайком сегодня не могу, записал HTML. Но практически 48 срезов положил, если только реформаты по 0,6 для фронтальных и саггитальных?

А. Горюнов аватар
Не на сайте
Был на сайте: 1 месяц 4 недели назад
Зарегистрирован: 07.10.2012 - 12:12
Публикации: 2744

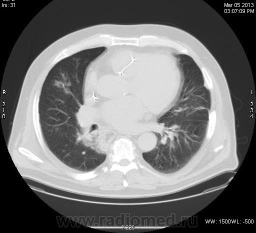
Анализ изображений КТ исследования ОГК обязательно должен проводиться в двух окнах (легочном и медиастинальном). А в диф. плане, так еще  и с контрастированием. Есть ли возможность хотя бы увидеть изображения во втором режиме: для оценки участков консолидации, наличия кавтации, оценки л/узлов и средостения в целом...? 

Анатолий Петрович

Dima аватар
Не на сайте
Был на сайте: 7 лет 3 месяцев назад
Зарегистрирован: 05.08.2012 - 17:39
Публикации: 2467

Если можно рентгенограммы, прямую и правый бок...

Терпимость - это когда прощают чужие ошибки; такт - когда не замечают их. (Артур Шницлер)

НАДЕЖДА ЮРЬЕВНА аватар
Не на сайте
Был на сайте: 7 лет 1 неделя назад
Зарегистрирован: 30.07.2012 - 13:14
Публикации: 360

Короналы бы неплохо посмотреть тоже.

НБ аватар
Не на сайте
Был на сайте: 11 лет 6 месяцев назад
Зарегистрирован: 07.11.2012 - 19:55
Публикации: 84

зон консолидации и лимфоузлы средостения. Похоже на саркоидоз. Тогда у  пациента не должно быть особых жалоб.

Н.Б.

алкс аватар
Не на сайте
Был на сайте: 10 лет 1 месяц назад
Зарегистрирован: 24.10.2012 - 22:55
Публикации: 2915

алкс wrote:

Дайком сегодня не могу, записал HTML. Но практически 48 срезов положил, если только реформаты по 0,6 для фронтальных и саггитальных?

Понял про дайкомsurprise, надо, если есть возможность просмотра граммой типа радианта. Жду дежурства.

tarja аватар
Не на сайте
Был на сайте: 8 лет 1 месяц назад
Зарегистрирован: 13.05.2012 - 21:19
Публикации: 133

Одна из пневмоний 2009 года: грипп с пневмонией (предполагали MRSA). Инфильтраты, правда, поменьше.

И при выписке пару сканов.

Приложения: 
image3.jpgimage9.jpgimage13.jpgk-1.jpgk-2.jpgk-3.jpgk-4.jpg
алкс аватар
Не на сайте
Был на сайте: 10 лет 1 месяц назад
Зарегистрирован: 24.10.2012 - 22:55
Публикации: 2915

Не повезло больному. 11.03.2013г. умер в реанимации, сегодня только узнал. Причина смерти- множественные инфарт- пневмонии?!. Завтра выложу все, что найду. Я в шокеsurprise! Писал диссеминацию по типу септической + БАР.

tarja аватар
Не на сайте
Был на сайте: 8 лет 1 месяц назад
Зарегистрирован: 13.05.2012 - 21:19
Публикации: 133

Вот так да...

Уважаемые коллеги, кто работает непосредственно на кт.

Есть мнение специалистов, которым доверяю на 100%, что кт без контраста - напрасно проведенное исследование, особенно если выявляется "что-то".

В данном случае контраст конечно же расставил бы все на свои места.

А как вы проводите исследование? Все ли вы очаги-инфильтраты контрастируете? И какова вероятность д\диагностики между раком тб или пневмонией, к примеру? О тромбоэмболии не говорю.

А. Горюнов аватар
Не на сайте
Был на сайте: 1 месяц 4 недели назад
Зарегистрирован: 07.10.2012 - 12:12
Публикации: 2744

tarja wrote:

Вот так да...

Уважаемые коллеги, кто работает непосредственно на кт.

Есть мнение специалистов, которым доверяю на 100%, что кт без контраста - напрасно проведенное исследование, особенно если выявляется "что-то".

В данном случае контраст конечно же расставил бы все на свои места.

А как вы проводите исследование? Все ли вы очаги-инфильтраты контрастируете? И какова вероятность д\диагностики между раком тб или пневмонией, к примеру? О тромбоэмболии не говорю.

Что говорить о контрастном КТ исследовании, если даже КТ-изображения данного пациента не выставлены во втором (медиастинальном) окне; была бы возможность оценки характера участков конолидации легочной ткани, состояния лимфатических узлов и средостения в целом.  Почему то никто не отметил наличие катеторов в верхней полой вене и правом желудочке сердца, что косвенно должно было навести на тромбоэмболический процесс. Конечно, в данном случае, КТ исследование с болюсным контрастированием помогло бы в правильной диагностике.

Анатолий Петрович

А. Горюнов аватар
Не на сайте
Был на сайте: 1 месяц 4 недели назад
Зарегистрирован: 07.10.2012 - 12:12
Публикации: 2744

tarja wrote:

А как вы проводите исследование? Все ли вы очаги-инфильтраты контрастируете? И какова вероятность д\диагностики между раком тб или пневмонией, к примеру? О тромбоэмболии не говорю.

Вы правы! КТ во многих случаях  без применения методики внутривенного контрастного, в том числе и болюсного усиления, малоинформативно, с диагностическими ошибками до 40%. Внутривенное контрастное усиление КТ изображения обязательно при исследовании практически всех анатомических областей, особенно в случаях диф. диагностики при  онко- и сосудистой патологии. Но, методика в/венного контрастного усиления таит в себе и многие осложнения, вплоть до лет. исхода. Проведение этой методики в нашей медицине еще организационно, методически и законодательно не закреплено. В каждом леч. учреждении проводится контрастное В/венное исследование по своему и по  разному: где с наличием процедурной сестры, врача-анестезиолога-реаниматолога, а где  просто врач-рентгенолог берет на себя всю ответсвенность.  К сожалению, в последнее время участились осложнения с последующими судебными разбирательствами. Поэтому многие стараются, по возможности, не делать это исследование, что, к сожалению и нередко  приводит к диагностическим  ошибкам.

 

Анатолий Петрович

соловей аватар
Не на сайте
Был на сайте: 2 года 7 месяцев назад
Зарегистрирован: 11.02.2013 - 15:48
Публикации: 26

так каково же в итоге заключение патанатомов?