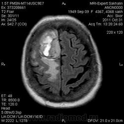
Объем головного мозга.МРТ головного мозга.

   

Пациентку беспокоят головные боли, нижний парапарез.

       

Постконтраст:

       

    

  • https://radiomed.ru/sites/default/files/styles/case_slider_image/public/user/5662/gol2_1.jpg?itok=zPScac6r
  • https://radiomed.ru/sites/default/files/styles/case_slider_image/public/user/5662/gol3_1.jpg?itok=mSVkxvM8
  • https://radiomed.ru/sites/default/files/styles/case_slider_image/public/user/5662/gol4_2.jpg?itok=eDu1Cc26
  • https://radiomed.ru/sites/default/files/styles/case_slider_image/public/user/5662/gol5_1.jpg?itok=QM2S_-Xb
  • https://radiomed.ru/sites/default/files/styles/case_slider_image/public/user/5662/gol6_1.jpg?itok=PDC-Qfo4
  • https://radiomed.ru/sites/default/files/styles/case_slider_image/public/user/5662/gol6_2.jpg?itok=oMRA4CW4
  • https://radiomed.ru/sites/default/files/styles/case_slider_image/public/user/5662/gol8_0.jpg?itok=ap0R2iyn
  • https://radiomed.ru/sites/default/files/styles/case_slider_image/public/user/5662/gol9_1.jpg?itok=KSGX-pv6
  • https://radiomed.ru/sites/default/files/styles/case_slider_image/public/user/5662/gol10_2.jpg?itok=XGmuvOue
  • https://radiomed.ru/sites/default/files/styles/case_slider_image/public/user/5662/gol11_1.jpg?itok=tHePjdLn
  • https://radiomed.ru/sites/default/files/styles/case_slider_image/public/user/5662/gol12_1.jpg?itok=vb6Xg3Hq
  • https://radiomed.ru/sites/default/files/styles/case_slider_image/public/user/5662/gol13_1.jpg?itok=2fa5NChh
  • https://radiomed.ru/sites/default/files/styles/case_slider_image/public/user/5662/gol14_1.jpg?itok=AKeuJSWS
  • https://radiomed.ru/sites/default/files/styles/case_slider_image/public/user/5662/gol15_1.jpg?itok=jBudixNl
  • https://radiomed.ru/sites/default/files/styles/case_slider_image/public/user/5662/gol16_1.jpg?itok=rXew-pu4
  • https://radiomed.ru/sites/default/files/styles/case_slider_image/public/user/5662/gol17_2.jpg?itok=CDa7OvkC
  • https://radiomed.ru/sites/default/files/styles/case_slider_image/public/user/5662/gol18_1.jpg?itok=ab_yQ-kL
ID:52017
nnemo аватар
Не на сайте
Был на сайте: 11 лет 2 месяцев назад
Зарегистрирован: 13.09.2011 - 18:32
Публикации: 561

менигиома с кровоизлиянием

Helios аватар
Не на сайте
Был на сайте: 9 месяцев 16 часов назад
Зарегистрирован: 06.08.2010 - 15:16
Публикации: 4417

Согласна, nnemo.

Долго же она  "растила" ее)))

Катенёв Валентин Львович аватар
Не на сайте
Был на сайте: 7 лет 1 месяц назад
Зарегистрирован: 22.03.2008 - 22:15
Публикации: 54876

nnemo wrote:

менигиома с кровоизлиянием

Это типичная картинка менингиомы?

Это менингиома с кистозным компонентом - кистозная менингиома?

nnemo аватар
Не на сайте
Был на сайте: 11 лет 2 месяцев назад
Зарегистрирован: 13.09.2011 - 18:32
Публикации: 561

Катенёв Валентин Львович wrote:

nnemo wrote:

менигиома с кровоизлиянием

Это типичная картинка менингиомы?

Это менингиома с кистозным компонентом - кистозная менингиома?

Вообще для менингиом насколько я знаю не очень характерны кровоизлияния, но в данном случае по моему наличие крови в структуре образования не вызывает сомненений... 

Helios аватар
Не на сайте
Был на сайте: 9 месяцев 16 часов назад
Зарегистрирован: 06.08.2010 - 15:16
Публикации: 4417

Да, это уже не первый мой случай менингиомы с кровоизлиянием.

nnemo аватар
Не на сайте
Был на сайте: 11 лет 2 месяцев назад
Зарегистрирован: 13.09.2011 - 18:32
Публикации: 561

Kaohsiung J Med Sci. 1999 Feb;15(2):69-74.
Intracranial meningioma with hemorrhage.
Lieu AS, Howng SL.
Source

Department of Surgery, Kaohsiung Medical College, Taiwan, Republic of China.
Abstract

Intracranial meningioma with hemorrhage is not frequently reported. The available articles in the literature regarding intracranial meningioma with hemorrhage are reviewed to the best of our knowledge, and the sixty-one cases have so far been reported. The authors report three cases. In about half of the 64 cases including ours, the tumor was located at the convexity, and histologically classified as meningotheliomatous meningioma. The site of hemorrhage was mainly in the subarachnoid space. In most cases the onset of presenting signs and symptoms was acute. The mean age at the time of tumor hemorrhage was 51 years. There was no sex difference statistically. The importance of the diagnosis of associated hemorrhage and subsequent surgical intervention is emphasized.

Helios аватар
Не на сайте
Был на сайте: 9 месяцев 16 часов назад
Зарегистрирован: 06.08.2010 - 15:16
Публикации: 4417

Говорила мне мама что-то про  изучение иностранных  языков )))

Короче говоря, это наш случай.

Сергей Нагорный аватар
Не на сайте
Был на сайте: 9 лет 9 месяцев назад
Зарегистрирован: 13.07.2010 - 22:49
Публикации: 1370

Картина не такая простая на самом деле, не типичная для менингиом. Менингиома, возможно, атипическая менинготелиоматозная. Учитывая такую "пеструю" структуру, перитуморальную реакцию можно сделать вывод вообще об анаплазии...

С уважением, С.Н. Нагорный

Helios аватар
Не на сайте
Был на сайте: 9 месяцев 16 часов назад
Зарегистрирован: 06.08.2010 - 15:16
Публикации: 4417

Но все же признаки менингиомы имеет-прилежание к ТМО,сигнальные характеристики, "дуральный хвост"при контрастировании))))

Сергей Нагорный аватар
Не на сайте
Был на сайте: 9 лет 9 месяцев назад
Зарегистрирован: 13.07.2010 - 22:49
Публикации: 1370

Helios wrote:

Но все же признаки менингиомы имеет-прилежание к ТМО,сигнальные характеристики, "дуральный хвост"при контрастировании))))

К сожалению, эти симптомы не совсем специфичны и иногда проявляются при других мезенхимальных НЕменинготелиальных опухолей мозговых оболочек...

С уважением, С.Н. Нагорный

Катенёв Валентин Львович аватар
Не на сайте
Был на сайте: 7 лет 1 месяц назад
Зарегистрирован: 22.03.2008 - 22:15
Публикации: 54876

Я конечно, вообще в этом не секу...

Сергей Николаевич!

А, на эпендимому эта "хрень" не похожа?

Сергей Нагорный аватар
Не на сайте
Был на сайте: 9 лет 9 месяцев назад
Зарегистрирован: 13.07.2010 - 22:49
Публикации: 1370

Катенёв Валентин Львович wrote:

Я конечно, вообще в этом не секу...

Сергей Николаевич!

А, на эпендимому эта "хрень" не похожа?

Неа, Валентин Львович, не похожа...

С уважением, С.Н. Нагорный

nnemo аватар
Не на сайте
Был на сайте: 11 лет 2 месяцев назад
Зарегистрирован: 13.09.2011 - 18:32
Публикации: 561

Нагорный Сергей Николаевич wrote:

Helios wrote:

Но все же признаки менингиомы имеет-прилежание к ТМО,сигнальные характеристики, "дуральный хвост"при контрастировании))))

К сожалению, эти симптомы не совсем специфичны и иногда проявляются при других мезенхимальных НЕменинготелиальных опухолей мозговых оболочек...

Сергей Николаевич, так я не очень понимаю Вашу точку зрения: менингиома (пусть и анапластичная) или что то еще? Рассуждения и сомнения - это хорошо, но к какому выводы Вы в итоге пришли?

Сергей Нагорный аватар
Не на сайте
Был на сайте: 9 лет 9 месяцев назад
Зарегистрирован: 13.07.2010 - 22:49
Публикации: 1370

8й пост. Менингиома с признаками анаплазии.

С уважением, С.Н. Нагорный

nnemo аватар
Не на сайте
Был на сайте: 11 лет 2 месяцев назад
Зарегистрирован: 13.09.2011 - 18:32
Публикации: 561

Сегодня один мой коллега высказал мнение, что образование интрааксиальное и предположил глиому. Как вам такая точка зрения, коллеги?

Сергей Нагорный аватар
Не на сайте
Был на сайте: 9 лет 9 месяцев назад
Зарегистрирован: 13.07.2010 - 22:49
Публикации: 1370

Легко может быть,поэтому и говорю, что не все так просто и все эти симптомы весьма условны и не типичны для менингиомы. Так можно и до гемaнгиoперицитомы договориться, но это будут лишь предположения.

С уважением, С.Н. Нагорный