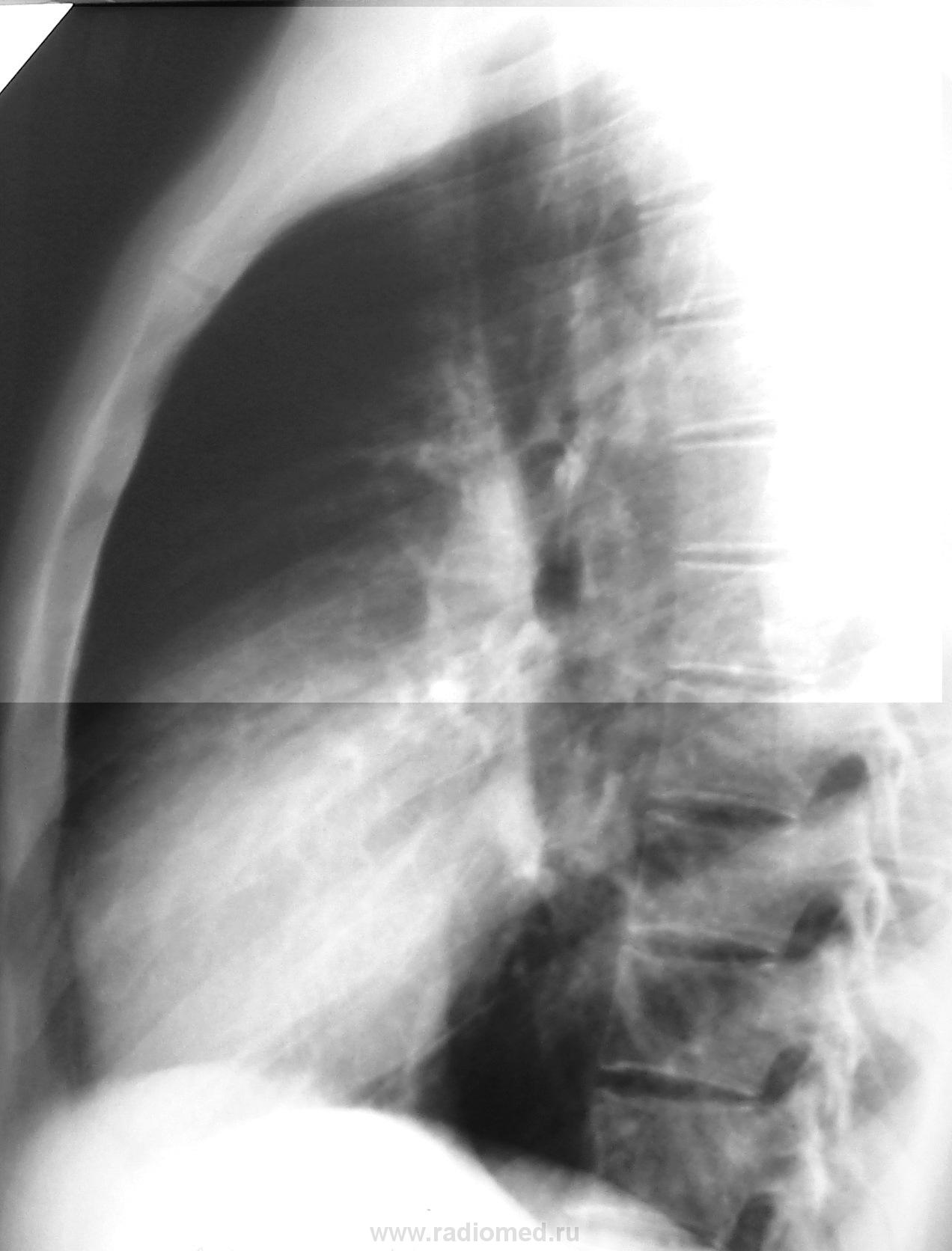
Очень "симпатишно", если бы не субфибрилитет-подумала бы о пневмонии на фоне ОРЗ, а так больше склоняюсь к специфике (ТВС). А справа мне кажется или есть участок обогащения с очажками на уровне заднего отрезка 5 ребра?
и почему подумали о тбс, уважаемая Наталия Васильевна?
Клиника не пневмоническая (если только пациент не анергичен), по верхнему контуру тени несколько мелких отсевов, справа, о чем я уже говорила, тоже чудятся очажки, и последнее-в центре инфильтрата просветление, подозрительное на неоднородность, то бишь распад, а при деструктивной пневмонии (а это, как правило, септический характер) 37 со слабостью? Может быть и параканкрозная пневмония, но "чото" душа не лежит.
Субфебрилитет не значит отсутствие пневмонии. При выездах подвижного кабинета очень часто выявляли безсимптомные пневмонии. Люди были удивлены. Поэтому предлагаю начинать лечение пневмонии с дальнейшим контролем. Предварительно провести томографию.
Субфебрилитет не значит отсутствие пневмонии. При выездах подвижного кабинета очень часто выявляли безсимптомные пневмонии. Люди были удивлены. Поэтому предлагаю начинать лечение пневмонии с дальнейшим контролем. Предварительно провести томографию.
Объясню: у меня есть двое знакомых с постоянной t тела 37,2-37,7. Обследованы, и это их норма.
Ваше мнение, Михаил Анатольевич, что пневмония должна иметь минимум 1 день 38 градусов - среднестатистическое. Неужели эти градусы будут одинаковы для очаговой, для долевой и двусторонней пневмонии, независимо от агента, их вызвавшего? пневмония с такой средней температурой хотя бы 1 день - не показатель пневмонии. ИМХО). Как и субфебриллитет при туберкулёзе. Его может не быть, а может и до 39 при диссеминации. Абсцесс легких при ареактивности тоже может быть при субфебрильной t, как и клиника дренированного абсцесса, а именно отхождение мокроты "полным ртом" - классика, но не обязаловка.
Лично сама, в детстве, когда перенесла несколько пневмоний, всегда температурила до 40. А во взрослом состоянии была дважды пневмония, в т.ч. и по линейным томограммам, на фоне субфебриллитета. Стандартный среднестатистический подход применим не ко всем.
и почему подумали о тбс, уважаемая Наталия Васильевна?
Конечно, пневмонию исключить надо. И, если это пневмония, то интересно какая пневмония..., может субсегментарная, может быть без анатомических границ?
Почему любой "старичок" отдал бы в данном случае преррогативу Его Величеству, и именно "старичок"!
А, "старичков", в своё время, учили - видно больше кзади - туберкулёз, а спереди, так "рачок- с"...
Конечно, потом столпы классической рентгенологии старались это правило опровергнуть. Но "старички" - есть старички..., информацию молодости помнят очень хорошо..., давит эта информация на "старичков".
Объясню: у меня есть двое знакомых с постоянной t тела 37,2-37,7. Обследованы, и это их норма.
Мне далеко ходить не надо-я сама живу с нормальной температурой 37,1-2. При падении до "нормальных цифр" чувствую себя х...не подумайте, что хорошо.
Что же касается данного случая, не отрицала не разу, что эту "пневмонию" (?) надо полечить с обязательным контролем. Просто нас так учили. Не отрицаю-все меняется- болезни меняют свои маски, тяжелеют и молодеют, но глобально люди как болели, так и болеют. И самые старые учебники и лекартсвенные препараты чудесно себя "чувствуют" в настоящее время! И если это будет банальной пневмонией, буду рада за пациента и его лечащих врачей, и уж тем более родственников.
Объясню: у меня есть двое знакомых с постоянной t тела 37,2-37,7. Обследованы, и это их норма.
Ваше мнение, Михаил Анатольевич, что пневмония должна иметь минимум 1 день 38 градусов - среднестатистическое. Неужели эти градусы будут одинаковы для очаговой, для долевой и двусторонней пневмонии, независимо от агента, их вызвавшего? пневмония с такой средней температурой хотя бы 1 день - не показатель пневмонии. ИМХО). Как и субфебриллитет при туберкулёзе. Его может не быть, а может и до 39 при диссеминации. Абсцесс легких при ареактивности тоже может быть при субфебрильной t, как и клиника дренированного абсцесса, а именно отхождение мокроты "полным ртом" - классика, но не обязаловка.
Лично сама, в детстве, когда перенесла несколько пневмоний, всегда температурила до 40. А во взрослом состоянии была дважды пневмония, в т.ч. и по линейным томограммам, на фоне субфебриллитета. Стандартный среднестатистический подход применим не ко всем.
Если повышения температуры, хотя бы однократного выше 38 не было речь идет не о пневмонии.
К вопросу клиники туберкулеза полностью разделяю Вашу точку зрения.
Как впрочем и при абсцессе повышенная температура может смениться ареактивностью
Конечно, пневмонию исключить надо. И, если это пневмония, то интересно какая пневмония..., может субсегментарная, может быть без анатомических границ?
Почему любой "старичок" отдал бы в данном случае преррогативу Его Величеству, и именно "старичок"!
А, "старичков", в своё время, учили - видно больше кзади - туберкулёз, а спереди, так "рачок- с"...
Конечно, потом столпы классической рентгенологии старались это правило опровергнуть. Но "старички" - есть старички..., информацию молодости помнят очень хорошо..., давит эта информация на "старичков".
Сам чаще придерживаюсь такого мнения. Наверное, после работы с нашими "старичками". Но в практике неоднократно встречался и с обратным. Когда пневмония была в передних отделах, хорошо лечилась, но оставались изменения которые трактовали как фиброз, тем более, что клиника была номальная. Эти люди поступали через месяц или два с клиникой пневмонии. Опять лечили с хорошей положительной динамикой, но снова оставались изменения. Первый раз сделали КТ и увидели дырки. Причём они были не характерные для ТБЦ, каки-то извитые ходы, вроде расширенных бронхов. Сделали посев и он выдал палочки. С тех пор при таких пневмониях обязательно проводим КТ или томографию.
Недавно было сообщение об инфильтрате в верхних отделах правого лёгкого. Судили рядили что это, а в итоге ,если не ошибаюсь, оказался эозинофильный инфильтрат. При контроле через дня три инфильтрации не было, форма тоже круглая.
А мне кажется более вероятным переферич. c-r c деструкцией(?), tbc - менее вероятно. Тактика верная - сначала думаем о неспец. пневмонии, после контроля - смотрим по динамике, может и КТ понадобится.
сфотографированный с близкого расстояния. Несет ли он дополнительную информацию для предварительного диагноза или нет смысла делать подобные снимки для представления на сайт?
сфотографированный с близкого расстояния. Несет ли он дополнительную информацию для предварительного диагноза или нет смысла делать подобные снимки для представления на сайт?
Смысл есть, просто при больших рентгенограммах в мелочах теряется основное. А мысль о периферическом образовании имела место быть, но показалась так себе... Может быть я и не права.
Термин атипичные пневмонии используется для обозначения пневмоний возбудителям которых могут быть микоплазмы, хламидии, риккетсии.
В программу развития этих пневмоний обязательно входит повышение температуры.
Термин атипичное используется для всего, что не укладывается в типичное. Атипичный возбудитель вызывает атипичную клинику - отсутствие температуры или субфебриллитет. Также повышение температуры необязательно при пневмониях легкой степени тяжести.
Типичная клиника пневмонии: Острое начало с потрясающего однократного озноба, Боль в грудной клетке связанная с дыханием и кашлем, Кашель с ржавой мокротой. Неустойчивая гемодинамика от ортостатической гипотонии, до инфекционно токсического шока.
Заболевание вызываеся пневмококком (Streptococcus pneumoniae). (Возбудителя лучше по имени и отчеству)
Пневмококковая пневмония всегда тяжелая.
Пневмококк не имеет экзотоксинов, по этому утверждение, что пневмококковая пневмония может осложнится нагноением является ложным.
Каких бы сносок из интернета Вы не предоставили.
А в прочем Ваше право иметь свое представление об окружающем мире.
При получении данных рентгенографии высказано мнение о наличии у больного пневмонии в S 3 левого легкого. Вместе с тем, при повторном посещении общее состояние этого молодого человека удовлетворительное: он бодр, нет потливости, аппетит превосходный, температура на приеме 36,4С, гемограмма оказалась нормальной. Клиническая картина не указывала врачу на пневмонию и у него возникла мысль о другом заболевании (туберкулёз?). Однако смущала локализация процесса (S3), которая не типична для специфического процесса. Учитывая ограниченный процесс, удовлетворительное состояние больного врач не бросился сломя голову назначать антибиотики по принципу, «полечим 2 недели, потом контроль и определимся», а назначилуглубленное обследование (РКТ ОГК). Представляю Вам результаты РКТ. Других материалов нет. Дайкома нет. Ваше мнение после данных КТ .
Фотографировал с пленки все, что было. "Нелепо" в количестве фрагментов РКТ или в качестве сделанных мной снимков? Диски для пациентов - большая редкость. В последнее время появилась тенденция в некоторых учреждениях отдавать больным только протоколы РКТ. Разница между исследованиями от классики до РКТ 5 дней. Пациент приезжий. Со слов его, последняя флюорография около 2 лет назад. На контроль не вызывали. Ранее туберкулезом не болел.
Подождём других мнений. КТшников предостаточно, рентгенологов - тоже. Мне качество снимков с пленки не позволяет делать какие-то выводы, потому что по сагиттальной реконструкции диссеминация и образование с лучистостью, по аксиалам ничего подобного нет. Если поиграть резкостью и контрастностью, можно из очага сделать тень плотностью сходной с сосудом... В-общем, выбирать картинку для печати на плёнку можно по-разному, вот я о чём. Что хотел показать врач КТ или лаборант - я не знаю. Показано образование из извитых элементов, по цвету (плотность - ?) равных сосудам.
Не знаю, М.А, чем Вам эта ссылка не угодила . Классный источник (см.)
Да источник классный! Да и картинки, что надо! Особенно "девка", себя четвероногой представляющая..., хорошие картинки..., вот только иллюстрация - картинка пневмонии сильно прошибла....
На мой взгляд ,не пневмония то на картиночке, а правосторонний пневмоторакс, так намного вернее...
Перебрал все, что возможно. На мой взгляд - Его Величество.
Я с Вами, Валентин Львович, если Вы туберкулез так называете. И вот почему: 1. море внутридольковых очажков с обеих сторон сверху донизу, 2. наличие крупного фокуса (хотя, и нетипично расположенного в S3). Т.о., получается туберкулез легких в фазе инфильтрации, распада и обсеменения. Распад поставлен не потому, что явно вижу полость (для этого надо смотреть дайкомы, в том числе и совсем тонкие), а потому что явное обсеменение - внутридольковые очажки..
... покажите стрелками эти очаги. Уверен, врачи Вам будут благодарны.
Не уверен,что мне это удастся. Написал свое мнение - "море". Берете любой срез, то что не сосуды, это они. Особенно хорошо видно на боковой реконструкции.
Хороший вопрос! Раньше под распадом понималось "просветление" на фоне затемнения (инфильтрата), некоторые "сие" называли деструкцией. Хотя, на мой взгляд, "распад" на фоне инфильтрата не корректно называть деструкцией, ибо и сам инфильтрат, по большому счету, является деструкцией, по отношению к нормальной, неизмененной легочной ткани. Да, потом появился термин "кавернизация", корторый, тоже не всегда употребим, довольно узкое его употребление, и только к месту.
Потом появился хороший термин - множественного (мелкогнездного) распада (по отношению к инфильтративной, фокусной тени). Конечно, чаще он применялся по отношению к раку.
Я задал себе вопрос - "почему"? Почему не просто "распад", а именно мелкогнездный распад, в данном случае, и именно по отношению к фокусной тени (предположительно туберкулёзного генеза).
Хотя, я прекрасно понимаю, что мне могут возразить, что то не мелкогнездный распад, а участочки интактной воздушной ткани, еще не "захаванные" опухолью - это в том случае, если коллега является сторонником наличия Са в данном случае.
Много интересных, чисто теоретических вопросов может возникнуть при анализе данного случая. Конечно, у каждого своя точка зрения и "видение", конечно субъективизм имеет место быть.
Вот интересно, уважаемый Nikolas, а какое Ваше лично мнение по поводу "расцвета" в последнее время комплексно устойчивых форм?
Я прекрасно помню то время, когда препаратом № 1 был стрептомицин (от которого пациенты глохли), препаратом № 2 был ПАСК, который, по образному выражению пациентов "ели пригоршнями", конечно, был фтивазид и тубазид, но то было не для всех..., а о рифадине и рифампицине в те древние времена не слышали... И, вот интересно, все лечилось хорошо, да и лекарственно устойчивых форм не было..., почему?
Еще один, может быть не совсем корректный вопрос. Весьма хорошо помню те времена, когда много чего, и в том числе "палку", и весьма часто, именно "палку" находили в мокроте..., сейчас - с точностью донаоборот..., палку редко находят, хотя "сейчасные технологии", по сравнению с 60-70 годами ОГОГО!
Не находят сейчас "палку", редко находят, зато появилась много "статейного материала", объясняющего почему "палку" не находят...
Фотографировал с пленки все, что было. "Нелепо" в количестве фрагментов РКТ или в качестве сделанных мной снимков? Диски для пациентов - большая редкость. В последнее время появилась тенденция в некоторых учреждениях отдавать больным только протоколы РКТ.
Зря Вы обижаетесь, Nikolas. ЛГ абсолютно права. КТ без дисков "есть пустейшая фраза" (с), как бы качественно лично Вы не фотографировали. Количество срезов, которое делается при исследовании (например, 60 по 5мм и 480 по 0,625, и это только в одном окне) несопоставимо с тем, что можно вывести на пленку (в моем случае, не больше 30). Поэтому врубается "принцип р-скопии" - "вывожу на пленку то, что считаю нужным". Какая первая фраза, при размещении на сайте случая жкт? - Где другие снимки? Какая первая фраза при размещении КТ, МРТ? Естественно, "Где дайкомы?"
Диски для пациентов - большая редкость? Сомневаюсь. В любом магазине они (даже DVD) по 15 рублей за штуку. Но почему их не выдают? Во-первых, потому ЛПУ их не закупают. Во-вторых, что многие врачи-консультанты их не любят, им бы снимком перед носом больного встряхнуть. В-треьих, из рентгеновской вредности: типа, мы тут пашем, а им диски "на шару" подавай. Вспомните, какая фраза больше всего бесит рентгенолога? Напомню: "Врач сказал описания не надо, ему только снимок надо" Поставьте вместо "снимка" "диск" и все поймете. Уверен, что если Вы напишете письменный запрос на исследование в цифровом виде, а пациенту скажете, чтобы он по дороге этот диск купил, то обязательно получите искомое. Это же касается и вашего замечания по выдаче "только протоколов РКТ".
потому, что я увлекаюсь этим заболеванием? Что Вам дает уверенность в этом диагнозе? Имеется ли по данным КТ распад легочной ткани?
Нет спасибо, туберкулезом я не увлекаюсь)))) Просто это либо пневмония, но против нее слабовыраженная клиника, либо туберкулез. Рак по рентгенограмме можно предположить, но возраст не тот. Распада по КТ не вижу
Спрашивайте ещё, что Вас интересует в отношении "ЕВ".
Вопрос был давно. Вот Вы видели рентгенограмму (прямую), так сказать в "натуре", конечно "копия" всегда несколько страдает (иллюстрация). А, вот на фоне той "инфильтративной" тени, именно на рентгенограмме, мелкие "кальцинатики" не видны были?
А не думаете, что палочки тоже изменились, а их геном тем более?
А интересно, уважаемая Наталия Васильевна, и чего они подлые изменились?
Ранее то "палка" всю рядом существовавшую "флору и фауну" глушила, глушила и весьма серьёзно.
А почему нет? Если у нас всякие травоядные с 5 лапками бегают после известных всем событий 26-летней давности, чем Кохи хуже? Их, кислотоустойчивых, и раньше убить было тяжело, а сейчас-на наших а/б чудесно живут и прекрасно себя чувствуют в отличие от своих хозяев.
Очень "симпатишно", если бы не субфибрилитет-подумала бы о пневмонии на фоне ОРЗ, а так больше склоняюсь к специфике (ТВС). А справа мне кажется или есть участок обогащения с очажками на уровне заднего отрезка 5 ребра?
и почему подумали о тбс, уважаемая Наталия Васильевна?
Ближайшие 2 недели пневмония. Потом контроль и определяться.
Клиника не пневмоническая (если только пациент не анергичен), по верхнему контуру тени несколько мелких отсевов, справа, о чем я уже говорила, тоже чудятся очажки, и последнее-в центре инфильтрата просветление, подозрительное на неоднородность, то бишь распад, а при деструктивной пневмонии (а это, как правило, септический характер) 37 со слабостью? Может быть и параканкрозная пневмония, но "чото" душа не лежит.
Субфебрилитет не значит отсутствие пневмонии. При выездах подвижного кабинета очень часто выявляли безсимптомные пневмонии. Люди были удивлены. Поэтому предлагаю начинать лечение пневмонии с дальнейшим контролем. Предварительно провести томографию.
+1 к мнению Игоря. http://www.radiomed.ru/forum/pnevmoniya-s-minimalnymi-klinicheskimi-simptomami-eto-ambitsii-rentgenologa-ili-diagnoz
Объясню: у меня есть двое знакомых с постоянной t тела 37,2-37,7. Обследованы, и это их норма.
Ваше мнение, Михаил Анатольевич, что пневмония должна иметь минимум 1 день 38 градусов - среднестатистическое. Неужели эти градусы будут одинаковы для очаговой, для долевой и двусторонней пневмонии, независимо от агента, их вызвавшего? пневмония с такой средней температурой хотя бы 1 день - не показатель пневмонии. ИМХО). Как и субфебриллитет при туберкулёзе. Его может не быть, а может и до 39 при диссеминации. Абсцесс легких при ареактивности тоже может быть при субфебрильной t, как и клиника дренированного абсцесса, а именно отхождение мокроты "полным ртом" - классика, но не обязаловка.
Лично сама, в детстве, когда перенесла несколько пневмоний, всегда температурила до 40. А во взрослом состоянии была дважды пневмония, в т.ч. и по линейным томограммам, на фоне субфебриллитета. Стандартный среднестатистический подход применим не ко всем.
https://www.youtube.com/channel/UCBGxoBUOqUT_bFhSeUgtWEw
Конечно, пневмонию исключить надо. И, если это пневмония, то интересно какая пневмония..., может субсегментарная, может быть без анатомических границ?
Почему любой "старичок" отдал бы в данном случае преррогативу Его Величеству, и именно "старичок"!
А, "старичков", в своё время, учили - видно больше кзади - туберкулёз, а спереди, так "рачок- с"...
Конечно, потом столпы классической рентгенологии старались это правило опровергнуть. Но "старички" - есть старички..., информацию молодости помнят очень хорошо..., давит эта информация на "старичков".
Да, глубокоуважаемая Людмила Григорьевна, и уже почаще, именно ,"необязаловка"!
Мне далеко ходить не надо-я сама живу с нормальной температурой 37,1-2. При падении до "нормальных цифр" чувствую себя х...не подумайте, что хорошо.
Что же касается данного случая, не отрицала не разу, что эту "пневмонию" (?) надо полечить с обязательным контролем. Просто нас так учили. Не отрицаю-все меняется- болезни меняют свои маски, тяжелеют и молодеют, но глобально люди как болели, так и болеют. И самые старые учебники и лекартсвенные препараты чудесно себя "чувствуют" в настоящее время! И если это будет банальной пневмонией, буду рада за пациента и его лечащих врачей, и уж тем более родственников.
Если повышения температуры, хотя бы однократного выше 38 не было речь идет не о пневмонии.
К вопросу клиники туберкулеза полностью разделяю Вашу точку зрения.
Как впрочем и при абсцессе повышенная температура может смениться ареактивностью
Это откровенное заблуждение, вы уж извините. Атипичные превмонии всегда были, есть и будут.
Сам чаще придерживаюсь такого мнения. Наверное, после работы с нашими "старичками". Но в практике неоднократно встречался и с обратным. Когда пневмония была в передних отделах, хорошо лечилась, но оставались изменения которые трактовали как фиброз, тем более, что клиника была номальная. Эти люди поступали через месяц или два с клиникой пневмонии. Опять лечили с хорошей положительной динамикой, но снова оставались изменения. Первый раз сделали КТ и увидели дырки. Причём они были не характерные для ТБЦ, каки-то извитые ходы, вроде расширенных бронхов. Сделали посев и он выдал палочки. С тех пор при таких пневмониях обязательно проводим КТ или томографию.
Недавно было сообщение об инфильтрате в верхних отделах правого лёгкого. Судили рядили что это, а в итоге ,если не ошибаюсь, оказался эозинофильный инфильтрат. При контроле через дня три инфильтрации не было, форма тоже круглая.
А мне кажется более вероятным переферич. c-r c деструкцией(?), tbc - менее вероятно. Тактика верная - сначала думаем о неспец. пневмонии, после контроля - смотрим по динамике, может и КТ понадобится.
сфотографированный с близкого расстояния. Несет ли он дополнительную информацию для предварительного диагноза или нет смысла делать подобные снимки для представления на сайт?
Смысл есть, просто при больших рентгенограммах в мелочах теряется основное. А мысль о периферическом образовании имела место быть, но показалась так себе... Может быть я и не права.
Периферический рак верхней доли левого лёгкого с распадом.
Термин атипичные пневмонии используется для обозначения пневмоний возбудителям которых могут быть микоплазмы, хламидии, риккетсии.
В программу развития этих пневмоний обязательно входит повышение температуры.
Термин атипичное используется для всего, что не укладывается в типичное. Атипичный возбудитель вызывает атипичную клинику - отсутствие температуры или субфебриллитет. Также повышение температуры необязательно при пневмониях легкой степени тяжести.
Подробнее, например, здесь: http://meduniver.com/Medical/Therapy/214.html
Что есть программа развития пневмоний?
Типичная клиника пневмонии: Острое начало с потрясающего однократного озноба, Боль в грудной клетке связанная с дыханием и кашлем, Кашель с ржавой мокротой. Неустойчивая гемодинамика от ортостатической гипотонии, до инфекционно токсического шока.
Заболевание вызываеся пневмококком (Streptococcus pneumoniae). (Возбудителя лучше по имени и отчеству)
Пневмококковая пневмония всегда тяжелая.
Пневмококк не имеет экзотоксинов, по этому утверждение, что пневмококковая пневмония может осложнится нагноением является ложным.
Каких бы сносок из интернета Вы не предоставили.
А в прочем Ваше право иметь свое представление об окружающем мире.
При получении данных рентгенографии высказано мнение о наличии у больного пневмонии в S 3 левого легкого. Вместе с тем, при повторном посещении общее состояние этого молодого человека удовлетворительное: он бодр, нет потливости, аппетит превосходный, температура на приеме 36,4С, гемограмма оказалась нормальной. Клиническая картина не указывала врачу на пневмонию и у него возникла мысль о другом заболевании (туберкулёз?). Однако смущала локализация процесса (S3), которая не типична для специфического процесса. Учитывая ограниченный процесс, удовлетворительное состояние больного врач не бросился сломя голову назначать антибиотики по принципу, «полечим 2 недели, потом контроль и определимся», а назначил углубленное обследование (РКТ ОГК). Представляю Вам результаты РКТ. Других материалов нет. Дайкома нет. Ваше мнение после данных КТ .
... хотя оценивать такие сканы - просто нелепо.
КТ от 15.06.2012. За какое число снимки и где предыдущая ФЛГ? И раз дело за июнь, то должен быть и рентген.контроль.
https://www.youtube.com/channel/UCBGxoBUOqUT_bFhSeUgtWEw
По данным КТ-изображениям диф. диагностика между сосудистой мальформацией, БАР (пневмониеподобная форма) и шаровидной пневмонией.
Анатолий Петрович
Не знаю, М.А, чем Вам эта ссылка не угодила
Андрей Юрьевич
Фотографировал с пленки все, что было. "Нелепо" в количестве фрагментов РКТ или в качестве сделанных мной снимков? Диски для пациентов - большая редкость. В последнее время появилась тенденция в некоторых учреждениях отдавать больным только протоколы РКТ. Разница между исследованиями от классики до РКТ 5 дней. Пациент приезжий. Со слов его, последняя флюорография около 2 лет назад. На контроль не вызывали. Ранее туберкулезом не болел.
Подождём других мнений. КТшников предостаточно, рентгенологов - тоже. Мне качество снимков с пленки не позволяет делать какие-то выводы, потому что по сагиттальной реконструкции диссеминация и образование с лучистостью, по аксиалам ничего подобного нет. Если поиграть резкостью и контрастностью, можно из очага сделать тень плотностью сходной с сосудом... В-общем, выбирать картинку для печати на плёнку можно по-разному, вот я о чём. Что хотел показать врач КТ или лаборант - я не знаю. Показано образование из извитых элементов, по цвету (плотность - ?) равных сосудам.
https://www.youtube.com/channel/UCBGxoBUOqUT_bFhSeUgtWEw
Клиническая и лабораторная характеристика дыхательной недостаточности.
Симптомы и функциональные показатели
Степень дыхательной недостаточности
-
I степень
II степень
III степень
Уважаемый Андрей Юрьевич.
Представленная Вами таблица годна для оценки степени тяжести больных нуждающихся в реанимационных пособиях.
По Этому для ссылки лучший выбор - это сменить переводчика, и (или) автора.
То был сарказм, и кружочки красным тоже поэтому
https://www.youtube.com/channel/UCBGxoBUOqUT_bFhSeUgtWEw
Да источник классный! Да и картинки, что надо! Особенно "девка", себя четвероногой представляющая..., хорошие картинки..., вот только иллюстрация - картинка пневмонии сильно прошибла....
На мой взгляд ,не пневмония то на картиночке, а правосторонний пневмоторакс, так намного вернее...
Перебрал все, что возможно. На мой взгляд - Его Величество.
Но, что в мокроте?
Я вам говорю про АТИПИЧНУЮ клинику. Но вы, видимо, слишком далеки от пациентов, чтобы принять существование таковой.
Я тоже за туберкулез
Я с Вами, Валентин Львович, если Вы туберкулез так называете. И вот почему: 1. море внутридольковых очажков с обеих сторон сверху донизу, 2. наличие крупного фокуса (хотя, и нетипично расположенного в S3). Т.о., получается туберкулез легких в фазе инфильтрации, распада и обсеменения. Распад поставлен не потому, что явно вижу полость (для этого надо смотреть дайкомы, в том числе и совсем тонкие), а потому что явное обсеменение - внутридольковые очажки..
Андрей Юрьевич
потому, что я увлекаюсь этим заболеванием? Что Вам дает уверенность в этом диагнозе? Имеется ли по данным КТ распад легочной ткани?
Андрей Юрьевич! Для меня и других врачей сайта покажите стрелками эти очаги. Уверен, врачи Вам будут благодарны.
Не уверен,что мне это удастся. Написал свое мнение - "море". Берете любой срез, то что не сосуды, это они. Особенно хорошо видно на боковой реконструкции.
Андрей Юрьевич
Имеется ли распад?
Хороший вопрос! Раньше под распадом понималось "просветление" на фоне затемнения (инфильтрата), некоторые "сие" называли деструкцией. Хотя, на мой взгляд, "распад" на фоне инфильтрата не корректно называть деструкцией, ибо и сам инфильтрат, по большому счету, является деструкцией, по отношению к нормальной, неизмененной легочной ткани. Да, потом появился термин "кавернизация", корторый, тоже не всегда употребим, довольно узкое его употребление, и только к месту.
Потом появился хороший термин - множественного (мелкогнездного) распада (по отношению к инфильтративной, фокусной тени). Конечно, чаще он применялся по отношению к раку.
Я задал себе вопрос - "почему"? Почему не просто "распад", а именно мелкогнездный распад, в данном случае, и именно по отношению к фокусной тени (предположительно туберкулёзного генеза).
Хотя, я прекрасно понимаю, что мне могут возразить, что то не мелкогнездный распад, а участочки интактной воздушной ткани, еще не "захаванные" опухолью - это в том случае, если коллега является сторонником наличия Са в данном случае.
Много интересных, чисто теоретических вопросов может возникнуть при анализе данного случая. Конечно, у каждого своя точка зрения и "видение", конечно субъективизм имеет место быть.
Вот интересно, уважаемый Nikolas, а какое Ваше лично мнение по поводу "расцвета" в последнее время комплексно устойчивых форм?
Я прекрасно помню то время, когда препаратом № 1 был стрептомицин (от которого пациенты глохли), препаратом № 2 был ПАСК, который, по образному выражению пациентов "ели пригоршнями", конечно, был фтивазид и тубазид, но то было не для всех..., а о рифадине и рифампицине в те древние времена не слышали... И, вот интересно, все лечилось хорошо, да и лекарственно устойчивых форм не было..., почему?
что "расцвет" в последнее время комплексно устойчивых форм признак плохо организованного лечения. Виноваты не только врачи, но и больные.
А не думаете, что палочки тоже изменились, а их геном тем более? Все таки, коллеги, они ЖИВЫЕ! И от нас с вами защищаются!
Еще один, может быть не совсем корректный вопрос. Весьма хорошо помню те времена, когда много чего, и в том числе "палку", и весьма часто, именно "палку" находили в мокроте..., сейчас - с точностью донаоборот..., палку редко находят, хотя "сейчасные технологии", по сравнению с 60-70 годами ОГОГО!
Не находят сейчас "палку", редко находят, зато появилась много "статейного материала", объясняющего почему "палку" не находят...
А интересно, уважаемая Наталия Васильевна, и чего они подлые изменились?
Ранее то "палка" всю рядом существовавшую "флору и фауну" глушила, глушила и весьма серьёзно.
решают всё. Плохо ищут. Уверен в этом. Спрашивайте ещё, что Вас интересует в отношении "ЕВ".
Зря Вы обижаетесь, Nikolas. ЛГ абсолютно права. КТ без дисков "есть пустейшая фраза" (с), как бы качественно лично Вы не фотографировали.
Количество срезов, которое делается при исследовании (например, 60 по 5мм и 480 по 0,625, и это только в одном окне) несопоставимо с тем, что можно вывести на пленку (в моем случае, не больше 30). Поэтому врубается "принцип р-скопии" - "вывожу на пленку то, что считаю нужным".
Какая первая фраза, при размещении на сайте случая жкт? - Где другие снимки? Какая первая фраза при размещении КТ, МРТ? Естественно, "Где дайкомы?"
Диски для пациентов - большая редкость? Сомневаюсь. В любом магазине они (даже DVD) по 15 рублей за штуку. Но почему их не выдают?
Во-первых, потому ЛПУ их не закупают.
Во-вторых, что многие врачи-консультанты их не любят, им бы снимком перед носом больного встряхнуть.
В-треьих, из рентгеновской вредности: типа, мы тут пашем, а им диски "на шару" подавай. Вспомните, какая фраза больше всего бесит рентгенолога? Напомню: "Врач сказал описания не надо, ему только снимок надо" Поставьте вместо "снимка" "диск" и все поймете.
Уверен, что если Вы напишете письменный запрос на исследование в цифровом виде, а пациенту скажете, чтобы он по дороге этот диск купил, то обязательно получите искомое.
Это же касается и вашего замечания по выдаче "только протоколов РКТ".
Андрей Юрьевич
Нет спасибо, туберкулезом я не увлекаюсь)))) Просто это либо пневмония, но против нее слабовыраженная клиника, либо туберкулез. Рак по рентгенограмме можно предположить, но возраст не тот. Распада по КТ не вижу
Вопрос был давно. Вот Вы видели рентгенограмму (прямую), так сказать в "натуре", конечно "копия" всегда несколько страдает (иллюстрация). А, вот на фоне той "инфильтративной" тени, именно на рентгенограмме, мелкие "кальцинатики" не видны были?
раньше
А почему нет? Если у нас всякие травоядные с 5 лапками бегают после известных всем событий 26-летней давности, чем Кохи хуже? Их, кислотоустойчивых, и раньше убить было тяжело, а сейчас-на наших а/б чудесно живут и прекрасно себя чувствуют в отличие от своих хозяев.