опять находка

Пол пациента: 
Тип патологии: 
Область исследования: 
Методы исследования: 

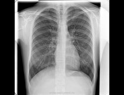
Молодая девушка 1993.г.р, обратилась с жалобами на боли в костях грудной клетки и в гр.отделе позвоночника.

   

  • https://radiomed.ru/sites/default/files/styles/case_slider_image/public/user/19420/foto0066.jpg?itok=rawThZrU
  • https://radiomed.ru/sites/default/files/styles/case_slider_image/public/user/19420/foto0064.jpg?itok=KaRlDVpZ
  • https://radiomed.ru/sites/default/files/styles/case_slider_image/public/user/19420/foto0065.jpg?itok=Eh83ymWz
ID:35810
Катенёв Валентин Львович аватар
Не на сайте
Был на сайте: 7 лет 1 месяц назад
Зарегистрирован: 22.03.2008 - 22:15
Публикации: 54876

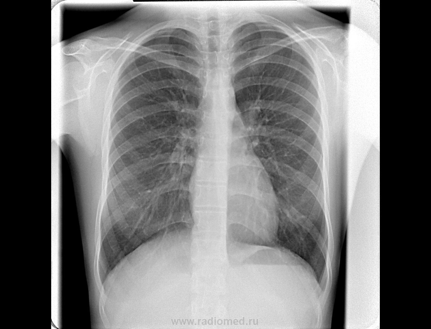
"Дырка" наслаивается на тень позвонка. Откуда?

Танюшка аватар
Не на сайте
Был на сайте: 6 лет 3 месяцев назад
Зарегистрирован: 16.12.2013 - 14:23
Публикации: 179

Вот и я думаю- эта "дырка" в теле или в остистом отростке. В ОАК -норма.. Девушка из благополучной семьи, учится в медучилище. Направила на МРТ?

Михай

Dima аватар
Не на сайте
Был на сайте: 7 лет 3 месяцев назад
Зарегистрирован: 05.08.2012 - 17:39
Публикации: 2467

В теле позвонка образование с четким склеротическим ободком. На боковом видно, по моему это Th5.

Приложения: 
foto0064.jpg

Терпимость - это когда прощают чужие ошибки; такт - когда не замечают их. (Артур Шницлер)

Танюшка аватар
Не на сайте
Был на сайте: 6 лет 3 месяцев назад
Зарегистрирован: 16.12.2013 - 14:23
Публикации: 179

Точно, я тоже указала Th5  киста?

Михай

алкс аватар
Не на сайте
Был на сайте: 10 лет 1 месяц назад
Зарегистрирован: 24.10.2012 - 22:55
Публикации: 2915

Танюшка wrote:

Точно, я тоже указала Th5  киста?

Ну глазастая!yes Ну точно тут КТ надо. Т.к. м.б. и гемангиома и гемангиолипома и киста костная.

Катенёв Валентин Львович аватар
Не на сайте
Был на сайте: 7 лет 1 месяц назад
Зарегистрирован: 22.03.2008 - 22:15
Публикации: 54876

алкс wrote:

Ну точно тут КТ надо

+1

Танюшка аватар
Не на сайте
Был на сайте: 6 лет 3 месяцев назад
Зарегистрирован: 16.12.2013 - 14:23
Публикации: 179

Добавляю дообследование( КТ, МРТ), что не так- поправьте , пожалуйста. Обратите внимание, где расположенена "дырка"

С уважением, Татьяна.

Приложения: 
foto0099.jpgfoto0100.jpgfoto0101.jpg

Михай

Helios аватар
Не на сайте
Был на сайте: 8 месяцев 2 недели назад
Зарегистрирован: 06.08.2010 - 15:16
Публикации: 4417

Обратили.Татьяна, только картинки МРТ очень мелкие.

Андрей Викторович аватар
Не на сайте
Был на сайте: 2 года 6 месяцев назад
Зарегистрирован: 13.02.2014 - 14:52
Публикации: 242

Мне для себя интересно, это нашлось в результате флюорографии???? или прицельно рентген поз-ка делали???

Просто я б на флюорографии ничего не заметил и просмотрел бы. Где там эта "дырка"??? (имеется ввиду самый первый снимок)

...... еще бы в рентгенологии что-нибудь понимать.

Танюшка аватар
Не на сайте
Был на сайте: 6 лет 3 месяцев назад
Зарегистрирован: 16.12.2013 - 14:23
Публикации: 179

Андрей Викторович, здравствуйте. "Дырку" нашла на рентгенограммах, а флюшку - для профилактики, т.к были боли в гр.клетке; изменения -то нашла в ТЕЛЕ Th5, а по КТ- в основании остистого отростка (суперпозиция)

С уважением, Татьяна

Михай

Dima аватар
Не на сайте
Был на сайте: 7 лет 3 месяцев назад
Зарегистрирован: 05.08.2012 - 17:39
Публикации: 2467

Значит на боковом я нарисовал... Так что за образование?

Терпимость - это когда прощают чужие ошибки; такт - когда не замечают их. (Артур Шницлер)

Танюшка аватар
Не на сайте
Был на сайте: 6 лет 3 месяцев назад
Зарегистрирован: 16.12.2013 - 14:23
Публикации: 179

Дима, здравствуйте, так все есть: R, МСКТ, КТ - Ваш диф.ряд?

С уважением, Татьяна

Михай

Dima аватар
Не на сайте
Был на сайте: 7 лет 3 месяцев назад
Зарегистрирован: 05.08.2012 - 17:39
Публикации: 2467

Танюшка wrote:

Дима, здравствуйте, так все есть: R, МСКТ, КТ - Ваш диф.ряд?

С уважением, Татьяна

Здравствуйте Татьяна! На МРТ очень плохо видно, в первую очередь дифференцировал бы между аневризмальной костной кистой и остеобластомой, более вероятно первое

Терпимость - это когда прощают чужие ошибки; такт - когда не замечают их. (Артур Шницлер)

Танюшка аватар
Не на сайте
Был на сайте: 6 лет 3 месяцев назад
Зарегистрирован: 16.12.2013 - 14:23
Публикации: 179

Дима, здравствуйте.Пациентка конс.онкологом DS: Эозинофильная гранулема остистого отростка Th 5, конс.радиологом, гематологом - выполнена пунция грудины-с пов.лейко-эритробластических клеток, нейрохирургом - лучевая терапия в настоящее время не показана, лечится в реабилитационном центре, болевой с-м купирован. Вставляю прококол-заключение.

С уважением, Татьяна.

Приложения: 
foto0077.jpg

Михай

Сольвейг аватар
Не на сайте
Был на сайте: 3 года 6 месяцев назад
Зарегистрирован: 05.02.2013 - 20:25
Публикации: 2239

Да-а, Танюшка! Круто Вы эту штучку на чистую воду вывели! Респект!

А вот с совместным протоколом КТ и МРТ в одном флаконе в первый раз столкнулась. Или я отстала от жизни?

Танюшка аватар
Не на сайте
Был на сайте: 6 лет 3 месяцев назад
Зарегистрирован: 16.12.2013 - 14:23
Публикации: 179

Ну, наконец-то, Вы появились, мадам! Случай был сложный, т.к на МРТ написали в протоколе - без патологических изменений.. Я снова девочку направила; и поэтому совместно смотрели и МСКТ и МРТ и конечно-же - R граммы. И рекомендовали опять- МСКТ через 6 месяцев

С увжением, Татьяна (у меня даже настрение улучшилось)

Михай

Сольвейг аватар
Не на сайте
Был на сайте: 3 года 6 месяцев назад
Зарегистрирован: 05.02.2013 - 20:25
Публикации: 2239

Ага, Татьяна, Вы это вовремя выяснили, что с девочкой. Дело в том, что она( эозин. гранулема может быть не одна, а несколько и в других костях). На боли другой локализации девочка не жалуется? Ее советую наблюдать и дальше.

Танюшка аватар
Не на сайте
Был на сайте: 6 лет 3 месяцев назад
Зарегистрирован: 16.12.2013 - 14:23
Публикации: 179

Миргалина, добрый вечер, рада, что Вы откликнулись. Искали эти "дырки" в ПОП, черепе,  в тазу - пока нет, поэтому контроль и назначили через 6 месяцев. Валентин Львович выставил слайды и материал по миеломной патологии и я засомневалась?

 С уважением, Татьяна

Михай

Сольвейг аватар
Не на сайте
Был на сайте: 3 года 6 месяцев назад
Зарегистрирован: 05.02.2013 - 20:25
Публикации: 2239

Добрый вечер, Танюшка, рада Вас встретить. Не, на миеломную не похожа. Первая мысль,как только увидела-эоз. гранулема. Интуиция редко подводит.И хорошо, что не бросаете девочку.

Dima аватар
Не на сайте
Был на сайте: 7 лет 3 месяцев назад
Зарегистрирован: 05.08.2012 - 17:39
Публикации: 2467

Спасибо!

Терпимость - это когда прощают чужие ошибки; такт - когда не замечают их. (Артур Шницлер)