Остеома 3 плюсневой кости правой стопы?

Пол пациента: 
Область исследования: 
Методы исследования: 


 

Случай из практики – «Остеома 3 плюсневой кости правой стопы».

 

Исследование проведено на РДК на 3 рабочих места с УРИ «Вироматик» фирмы «VILLA SISTEMI MEDICALI».

 

Пациентка К., 24 лет направлена врачом хирургом лечебно-диагностического центра на рентгенологическое исследование правой стопы с диагнозом «Деформирующий артроз плюсне-фаланговых суставов».

 

При опросе пациентка отмечает, что в течение 5-лет появились боли в переднем отделе правой стопы, которые усиливаются при физической нагрузке. Боли постоянные, со временем нарастающие. После отдыха боли уменьшаются, но полностью никогда не проходят.

1.
1.
2.
2.

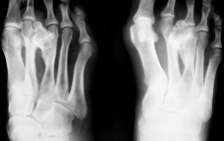
При осмотре правой стопы – иллюстрации 1 и 2 отмечается снижение продольного внутреннего свода стопы, формирование галюс вальгус, с ротацией 1 пальца внутрь, некоторая молоткообразная деформация 3, 4, 5 пальцев. Определяется припухлость стопы по тыльной поверхности, примерно на уровне дистальных отделов 3, 4 плюсневых костей, довольно плотной консистенции, при пальпации умеренно болезненная. На вершине припухлости определяется участок локальной гиперемии розового цвета. Движения пальцев стопы свободные, с некоторой болезненностью в области припухлости.

 

Произведено стандартное рентгенологическое исследование стопы в прямой и косой проекциях.

3.
3.
4.
4.

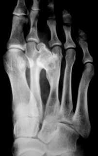
Иллюстрации 3 и 4 -  определяется тень дополнительного объёмного образования костной плотности, исходящая из дистальной ½ 3 плюсневой кости, растущее  и оказывающее компрессию на 2 плюсневую кость. В дистальном отделе 3 плюсневой кости определяется её уплотнение, утолщение и деформация. Расстояние между 2 и 3 плюсневыми костями увеличено, определяется некоторое расширение щели между основаниями 2 и 3 плюсневыми костями и между клиновидными костями. Определяется сужение суставной щели (по всей видимости компенсаторное) между латеральной клиновидной и кубовидной костями. По наружному контуру 2 плюсневой кости определяется умеренно выраженный периостоз, галюс вальгус, ротация проксимальной фаланги 1 пальца.

5.
5.
6.
6.

При исследовании структуры патологического образования с увеличением (иллюстрации 5 и 6) - объёмное образование состоит преимущественно из губчатой костной ткани, с хорошо выраженным кортикальным слоем, с чёткими контурами, местами определяются мелкие кистозные компоненты, местами мелкие участки остеосклероза. Участок периостоза по медиальному контуру патологического образования.

7.
7.
8.
8.

Иллюстрации 7 и 8 – демонстрируют структуру «патологического образования» с большим увеличением рентгенограмм – преимущественно губчатая костная структура.

9.
9.
10.
10.

Иллюстрации 9, 10, 11, 12  демонстрируют структуру патологического образования – фрагменты томографических срезов.

 

11.
11.
12.
12.

Пациентка направлена на консультацию к онкологу – ортопеду с диагнозом «Остеома 3 плюсневой кости правой стопы».

ВложениеРазмер
Иконка изображения 1.32.4 КБ
Иконка изображения 2.28.68 КБ
Иконка изображения 3.25.74 КБ
Иконка изображения 4.29.11 КБ
Иконка изображения 5.38.13 КБ
Иконка изображения 6.24.29 КБ
Иконка изображения 7.29.33 КБ
Иконка изображения 8.29.75 КБ
Иконка изображения 9.40.54 КБ
Иконка изображения 10.34.79 КБ
Иконка изображения 11.33.88 КБ
Иконка изображения 12.32.33 КБ
Катенёв Валентин Львович аватар
Не на сайте
Был на сайте: 7 лет 2 недели назад
Зарегистрирован: 22.03.2008 - 22:15
Публикации: 54876

Какие мнения будут у уважаемых коллег?

Травматолог аватар
Не на сайте
Был на сайте: 5 лет 5 месяцев назад
Зарегистрирован: 28.11.2018 - 17:18
Публикации: 70

Остеома

ССП аватар
Не на сайте
Был на сайте: 7 лет 1 неделя назад
Зарегистрирован: 29.11.2018 - 15:46
Публикации: 13

это образование между 2-ой и 3-ей плюсневыми костями, исходит из обеих костей

ssp

ССП аватар
Не на сайте
Был на сайте: 7 лет 1 неделя назад
Зарегистрирован: 29.11.2018 - 15:46
Публикации: 13

может быть,был синостоз между костями,который осложнился остеомой?

ssp