Врожденная аномалия стопы в виде частичного синостоза диафизов 3 и 4 плюсневых костей.

Пол пациента: 
Тип патологии: 
Область исследования: 
Методы исследования: 

Катенёв В.Л.

Случай из практики «Врожденная аномалия стопы в виде частичного синостоза диафизов 3 и 4 плюсневых костей».

 

(Рентгенологическое отделение МУЗ «Красногвардейская центральная районная больница» Белгородской области).

 

Пациентка направлена в рентгеновский кабинет для производства рентгенограмм левой стопы хирургом поликлиники, к которому она обратилась по поводу болей в стопе и по поводу некоторой деформации стопы по тыльной поверхности. Пациентка отмечает, что в детстве «у её находили неправильность костей в стопе». Произведена рентгенография стопы в стандартных проекциях.

 

1.
1.

 

 

 

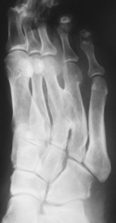
Иллюстрация 1. Рентгенограмма в прямой стандартной проекции. Определяется патологический синостоз между 3 и 4 плюсневыми костями. Определяется некоторое утолщение и деформация проксимальной ½ 2 плюсневой кости.

 

 

2.
2.

 

 

 

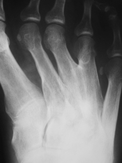
Иллюстрация 2. Рентгенограмма в косой проекции. Визуализируется деформация 3 и 4 плюсневых костей, синостоз между диафизами 3 и 4 плюсневых костей.

 

 

3.
3.

 

 

 

Иллюстрация 3. Фрагмент рентгенограммы области патологического синостоза, произведенной в косой проекции с увеличением.

 

 

4.
4.

 

 

 

Иллюстрация 4. Структура костной ткани в области синостоза.

 

ВложениеРазмер
Иконка изображения 1.28 КБ
Иконка изображения 2.24.27 КБ
Иконка изображения 3.30.28 КБ
Иконка изображения 4.38.14 КБ
OLGA аватар
Не на сайте
Был на сайте: 16 лет 8 месяцев назад
Зарегистрирован: 20.10.2008 - 21:25
Публикации: 11

А вторая стопа? Другие деформации, недоразвития у пациента имеются? Травма в детстве?

Катенёв Валентин Львович аватар
Не на сайте
Был на сайте: 7 лет 1 неделя назад
Зарегистрирован: 22.03.2008 - 22:15
Публикации: 54876

Справа стопа - совершенная норма.