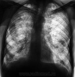
"От сегодня", вот такая "флюшка". Архива нет, почти БОМЖ

Пол пациента: 
Тип патологии: 
Методы исследования: 

"От сегодня", вот такая "флюшка". Архива нет, почти БОМЖ

  • https://radiomed.ru/sites/default/files/styles/case_slider_image/public/user/12/2.201307300028.jpg?itok=nZ6gpY4J
ID:30258
Mila85 аватар
Не на сайте
Был на сайте: 3 года 1 месяц назад
Зарегистрирован: 15.03.2012 - 16:59
Публикации: 1790

Гематогенная диссеминация tbc наверное

Сергей Кузьминов аватар
Не на сайте
Был на сайте: 1 год 2 недели назад
Зарегистрирован: 06.10.2012 - 15:51
Публикации: 11813

Сразу видно-БОМЖ.Но не туберкулёз,не похоже,диссеминация больше снизу,распадов больших нет.Канцероматоз?

Катенёв Валентин Львович аватар
Не на сайте
Был на сайте: 7 лет 3 недели назад
Зарегистрирован: 22.03.2008 - 22:15
Публикации: 54876

Томограммы.

Приложения: 
21.201201010005.jpg22.201201010006.jpg23.201201010007.jpg
Сергей Кузьминов аватар
Не на сайте
Был на сайте: 1 год 2 недели назад
Зарегистрирован: 06.10.2012 - 15:51
Публикации: 11813

Имеются полости распадов с обеих сторон,но вогру них не видно отсевов.Бомжи коварны,могут быть без туберкулёза.

Катенёв Валентин Львович аватар
Не на сайте
Был на сайте: 7 лет 3 недели назад
Зарегистрирован: 22.03.2008 - 22:15
Публикации: 54876

Сергей Кузьминов wrote:

Имеются полости распадов с обеих сторон,но вогру них не видно отсевов.Бомжи коварны,могут быть без туберкулёза.

Коллега фтизиатр сильно возбудился, чуть ли не на руках в "своё гнездо" понёс.

Mila85 аватар
Не на сайте
Был на сайте: 3 года 1 месяц назад
Зарегистрирован: 15.03.2012 - 16:59
Публикации: 1790

Я тоже о лимфангите подумала сначала, как-то не совсем на туберкулез похоже.. но корни относительно структурны, и обять же... бомж)

Сергей Кузьминов аватар
Не на сайте
Был на сайте: 1 год 2 недели назад
Зарегистрирован: 06.10.2012 - 15:51
Публикации: 11813

Не слишком ли быстро фтизиатр возбудился?А БК?А Манту?

Катенёв Валентин Львович аватар
Не на сайте
Был на сайте: 7 лет 3 недели назад
Зарегистрирован: 22.03.2008 - 22:15
Публикации: 54876

Будет заниматься. Ведь ни разу на флюшке не засветился, ни разу!

Сергей Кузьминов аватар
Не на сайте
Был на сайте: 1 год 2 недели назад
Зарегистрирован: 06.10.2012 - 15:51
Публикации: 11813

Ну,чтож,пусть занимается.Итересно,что вылезет,бывает ведь по-разному,я бы однозначно сейчас не говорил,встречались асоциальные личности с большими изменениями в лёгких,но без туберкулёза.Время покажет.

арти аватар
Не на сайте
Был на сайте: 12 лет 1 месяц назад
Зарегистрирован: 26.02.2012 - 11:23
Публикации: 490

За туберкулез +1

Катенёв Валентин Львович аватар
Не на сайте
Был на сайте: 7 лет 3 недели назад
Зарегистрирован: 22.03.2008 - 22:15
Публикации: 54876

Вчера, "последней лошадью" пациент отбыл в Старооскольскую областную туббольницу.

Сергей Кузьминов аватар
Не на сайте
Был на сайте: 1 год 2 недели назад
Зарегистрирован: 06.10.2012 - 15:51
Публикации: 11813

В любом случае интересно,чем кончится дело.

Катенёв Валентин Львович аватар
Не на сайте
Был на сайте: 7 лет 3 недели назад
Зарегистрирован: 22.03.2008 - 22:15
Публикации: 54876

Уверен, что промежуточная информация будет.

Сергей Кузьминов аватар
Не на сайте
Был на сайте: 1 год 2 недели назад
Зарегистрирован: 06.10.2012 - 15:51
Публикации: 11813

Спасибо,Валентин Львович,буду ждать.Заинтересовал меня этот БОМЖ.

Катенёв Валентин Львович аватар
Не на сайте
Был на сайте: 7 лет 3 недели назад
Зарегистрирован: 22.03.2008 - 22:15
Публикации: 54876

Сегодня стали вылавливать "контактных", пока все спокойно...

Сергей Кузьминов аватар
Не на сайте
Был на сайте: 1 год 2 недели назад
Зарегистрирован: 06.10.2012 - 15:51
Публикации: 11813

Обдумав,могу сказать,что пока нельзя исключить туберкулёз на фоне чего-то более редкого и интересного.Уж больно рисунок лёгочный петлист.Справа в шестёрке-полость.Многое даст клиническое наблюдение и обследование.Интересны анамнез и клиеика.

Катенёв Валентин Львович аватар
Не на сайте
Был на сайте: 7 лет 3 недели назад
Зарегистрирован: 22.03.2008 - 22:15
Публикации: 54876

Сергей Кузьминов wrote:

Спасибо,Валентин Львович,буду ждать.Заинтересовал меня этот БОМЖ.

Сегодня из "областной конторы" пришла информация. Выставлен диссеминированный, фаза инфильтрации и распада.

ВК+, СV+

Сергей Кузьминов аватар
Не на сайте
Был на сайте: 1 год 2 недели назад
Зарегистрирован: 06.10.2012 - 15:51
Публикации: 11813

Спасибо.Я зря сомневался.