Пол пациента:
Тип патологии:
Область исследования:
Методы исследования:
- https://radiomed.ru/sites/default/files/styles/case_slider_image/public/user/12/2.pb100041a.jpg?itok=yftLlnxI
- https://radiomed.ru/sites/default/files/styles/case_slider_image/public/user/12/3.pb100042.jpg?itok=0AQ0d618
- https://radiomed.ru/sites/default/files/styles/case_slider_image/public/user/12/4.pb100042a.jpg?itok=Gtr7CII4
- https://radiomed.ru/sites/default/files/styles/case_slider_image/public/user/12/5.pb100041-1.jpg?itok=dmeKmMf8
- https://radiomed.ru/sites/default/files/styles/case_slider_image/public/user/12/6.pb100041-1a.jpg?itok=rz9FjUmf
- https://radiomed.ru/sites/default/files/styles/case_slider_image/public/user/12/7.pb100042-2.jpg?itok=qvFUyc8q
- https://radiomed.ru/sites/default/files/styles/case_slider_image/public/user/12/8.pb100042-2a.jpg?itok=2gpEg-Ae
ID:8682
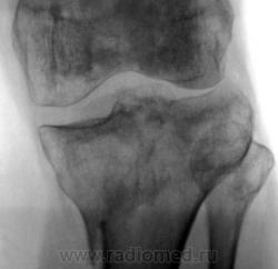
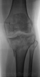
Консолидированый перелом проксимального эпифиза большеберцовой кости с повреждением наружного мениска и крестообразных связок ( вернее после их пластического восстановления ).
Александр Викторович,стояние отломков можно считать удовлетворительным?.+ вторичный ДОА+"пятнистый" остеопороз с участками остеосклероза.
стояние отломков, по истечении года, большого значения уже не имеет, главное что консолидация наступила, связочный аппарат восстановлен, в данном случаи нужно оценивать функцию, опорность, объем движений в данном суставе. Хотя внутренний мыщелок б\б кости просел прилично...
Спасибо.
а по чему видно, что поврежден мениск и передняя крестообразная и тем более что их восстанавливали?