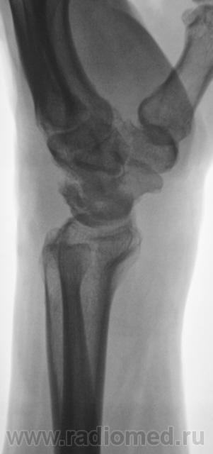
Пол пациента: Мужской пол Тип патологии: Другое Область исследования: Скелетно-мышечная система Методы исследования: Rg Пациент направлен на рентгенографию лучезапястного сустава с диагнозом - "Деформирующий артроз" Произведено стандартноы исследование. https://radiomed.ru/sites/default/files/styles/case_slider_image/public/user/12/2.DFA_..JPG?itok=Id8ocGkL ID:2136 Ср, 24/03/2010 - 18:38 #1 rentgengb1 Не на сайте Был на сайте: 11 лет 12 месяцев назад Зарегистрирован: 13.02.2009 - 23:02 Публикации: 290 Асептический некроз полулунной кости? Ср, 24/03/2010 - 19:04 #2 Катенёв Валенти... Не на сайте Был на сайте: 7 лет 3 недели назад Зарегистрирован: 22.03.2008 - 22:15 Публикации: 54876 Изображения с увеличением. Приложения: Ср, 24/03/2010 - 19:06 #3 DR.RAD Не на сайте Был на сайте: 11 лет 8 месяцев назад Зарегистрирован: 25.03.2009 - 18:22 Публикации: 805 и как следствие артроз лучезапястного сустваа... Пнд, 29/03/2010 - 00:03 #4 brainmodel Не на сайте Был на сайте: 2 месяцев 2 недели назад Зарегистрирован: 18.03.2010 - 22:04 Публикации: 2881 Болезнь Кинбека со вторичным артрозом, стадия фрагментации. Verum plus uno esse non potest.
Асептический некроз полулунной кости?
Изображения с увеличением.
и как следствие артроз лучезапястного сустваа...
Болезнь Кинбека со вторичным артрозом, стадия фрагментации.
Verum plus uno esse non potest.