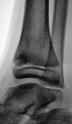
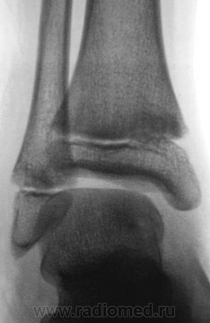
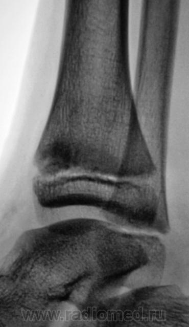
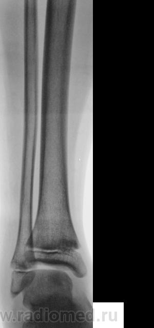
Травма. Пациент направлен на рентгенографию голеностопного сустава.

Пол пациента: 
Тип патологии: 
Область исследования: 
Методы исследования: 

Травма. Пациент направлен хирургом на рентгенографию голеностопного сустава. Произведено стандартное исследование.

  • https://radiomed.ru/sites/default/files/styles/case_slider_image/public/user/12/2.B.b..JPG?itok=IU77cykP
  • https://radiomed.ru/sites/default/files/styles/case_slider_image/public/user/12/3.B.b..JPG?itok=ArsmG_ad
  • https://radiomed.ru/sites/default/files/styles/case_slider_image/public/user/12/4.B.b..jpg?itok=TOzLJMDh
  • https://radiomed.ru/sites/default/files/styles/case_slider_image/public/user/12/5.B.b..JPG?itok=rsryvqi-
  • https://radiomed.ru/sites/default/files/styles/case_slider_image/public/user/12/6.B.b..jpg?itok=MMf5tiMy
  • https://radiomed.ru/sites/default/files/styles/case_slider_image/public/user/12/7.B.b..jpg?itok=IO99eiqC
  • https://radiomed.ru/sites/default/files/styles/case_slider_image/public/user/12/8.B.b..jpg?itok=OJsxyNZ3
ID:1606
helenmar аватар
Не на сайте
Был на сайте: 8 лет 5 месяцев назад
Зарегистрирован: 23.03.2008 - 12:27
Публикации: 291

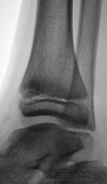
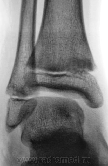
Уважаемый Валентин Львович! А что в жалобах, анамнезе? В переднемедиальной зоне дист. метафиза б/берцовой кости субхондрально под зоной роста участок уплотнения к/структуры, не отграниченный от неизмененной костн. ткани. Возможно, это импрессионный перелом? или остеонекроз? Смущает небольшой очаг аналогичной структуры в таранной кости под медиальным валом блока.

Делай, что должно, и будь, что будет.

Катенёв Валентин Львович аватар
Не на сайте
Был на сайте: 7 лет 3 недели назад
Зарегистрирован: 22.03.2008 - 22:15
Публикации: 54876

Клиника перелома. Травма - за 4 часа до исследования.

v1tal аватар
Не на сайте
Был на сайте: 4 года 9 месяцев назад
Зарегистрирован: 07.06.2008 - 19:41
Публикации: 1779

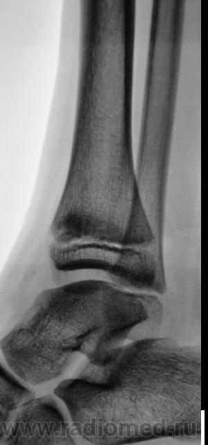
Согласен с коллегой helenmar по поводу перелома по типу импрессии, а ещё подвывих стопы в г/стопном суставе.

 

"Знаешь, у некоторых врачей есть комплекс мессии — им необходимо спасать мир. А у тебя комплекс Рубика — тебе необходимо решать головоломки."

Vega аватар
Не на сайте
Был на сайте: 2 дня 3 часа назад
Зарегистрирован: 22.01.2009 - 19:16
Публикации: 1087

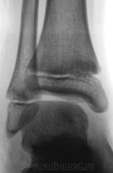
Травматических изменений не вижу

v1tal аватар
Не на сайте
Был на сайте: 4 года 9 месяцев назад
Зарегистрирован: 07.06.2008 - 19:41
Публикации: 1779

Vega wrote:

Травматических изменений не вижу

 

А как же объяснить асимметрию рентгеновской суставной щели?

Приложения: 
3.B.b.8979898.JPG

"Знаешь, у некоторых врачей есть комплекс мессии — им необходимо спасать мир. А у тебя комплекс Рубика — тебе необходимо решать головоломки."

Ola-la аватар
Не на сайте
Был на сайте: 10 месяцев 1 неделя назад
Зарегистрирован: 06.12.2008 - 09:33
Публикации: 1786

Я тоже убедительных костно-травматических изменений не вижу. если есть сомнения, снимите вторую ногу.

Vega аватар
Не на сайте
Был на сайте: 2 дня 3 часа назад
Зарегистрирован: 22.01.2009 - 19:16
Публикации: 1087

А на мой взгляд, суставная щель вполне симметрична.

Приложения: 
Bezymyannyy.jpg
Катенёв Валентин Львович аватар
Не на сайте
Был на сайте: 7 лет 3 недели назад
Зарегистрирован: 22.03.2008 - 22:15
Публикации: 54876

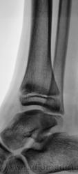
А, что, это за фрагментик?

 

Приложения: 
1.Fragent.JPG2.Fragent.JPG3.Fragent.JPG
Петрович аватар
Не на сайте
Был на сайте: 7 лет 2 месяцев назад
Зарегистрирован: 22.03.2009 - 01:13
Публикации: 3908

У взрослого такие соотношения в суставе назову супинационным подвывихом, хотя прямая проекция не оптимальна для такого заключения, боковая вовсе косая.

А подтаранный сустав – ОК?

Неоднозначно всё

Петрович аватар
Не на сайте
Был на сайте: 7 лет 2 месяцев назад
Зарегистрирован: 22.03.2009 - 01:13
Публикации: 3908

Алё, детские рентгенологи! Уплотнение костной структуры над зоной роста патологическое или нет?  

Неоднозначно всё

Vega аватар
Не на сайте
Был на сайте: 2 дня 3 часа назад
Зарегистрирован: 22.01.2009 - 19:16
Публикации: 1087

На мой взгляд, все указанные коллегами признаки - не патологические. Травматических повреждений нет.