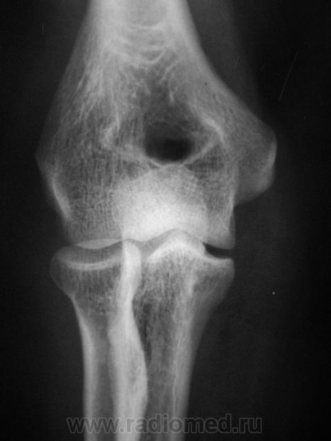
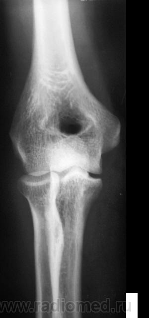
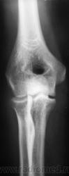
Травма. Пациент направлен на рентгенографию локтевого сустава.

Пол пациента: 
Тип патологии: 
Область исследования: 
Методы исследования: 

Травма.    Пациент направлен на рентгенографию локтевого сустава. Исследование произведено.

  • https://radiomed.ru/sites/default/files/styles/case_slider_image/public/user/12/2.Lokt_..JPG?itok=O1r1CA_O
  • https://radiomed.ru/sites/default/files/styles/case_slider_image/public/user/12/3.Lokt_..jpg?itok=6CvAg_H3
  • https://radiomed.ru/sites/default/files/styles/case_slider_image/public/user/12/4.Lokt_..JPG?itok=aGvxzZ85
  • https://radiomed.ru/sites/default/files/styles/case_slider_image/public/user/12/5.Lokt_..JPG?itok=EwmFWXO5
  • https://radiomed.ru/sites/default/files/styles/case_slider_image/public/user/12/6._Lokt..jpg?itok=wtpLX_0q
  • https://radiomed.ru/sites/default/files/styles/case_slider_image/public/user/12/7._Lokt..jpg?itok=A0Nq0t77
ID:623