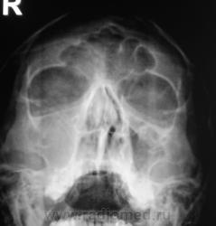
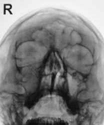
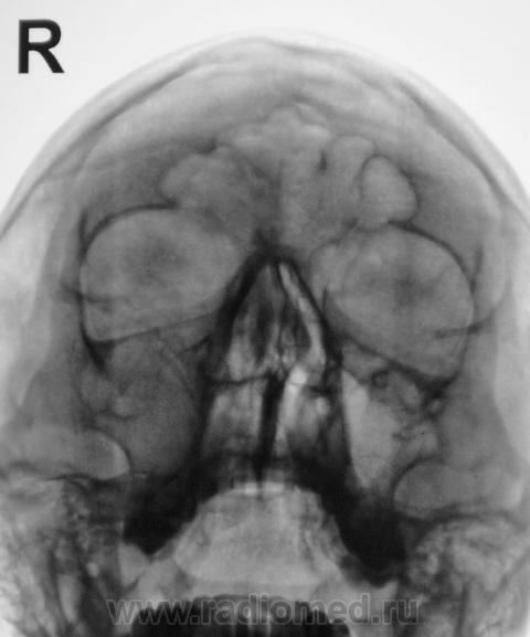
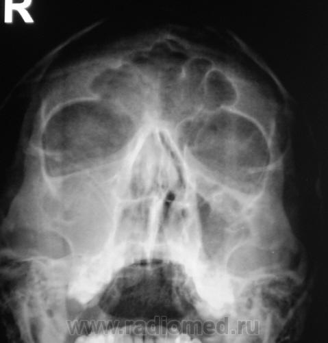
Пол пациента: Мужской пол Тип патологии: Другое Область исследования: Челюстно-лицевая область и шея Методы исследования: Rg Пациент направлен на рентгенографию придаточных полостей носа. Ваше мнение? https://radiomed.ru/sites/default/files/styles/case_slider_image/public/user/12/2..p8170059a.jpg?itok=7t4Nbh2k https://radiomed.ru/sites/default/files/styles/case_slider_image/public/user/12/3..p8170060.jpg?itok=IP4zEUbV https://radiomed.ru/sites/default/files/styles/case_slider_image/public/user/12/4..p8170060a.jpg?itok=H9fhfdKZ ID:5520 Ср, 18/08/2010 - 14:56 #1 Vikkur Не на сайте Был на сайте: 4 года 7 месяцев назад Зарегистрирован: 24.09.2009 - 14:34 Публикации: 1749 Мне видиться гиперпластический риносинуит, искривление носовой перегородки. причем спава практически тотальное затемнение.. Виктор. Ср, 18/08/2010 - 16:31 #2 Катенёв Валенти... Не на сайте Был на сайте: 7 лет 2 недели назад Зарегистрирован: 22.03.2008 - 22:15 Публикации: 54876 А, что по поводу нижнего края правой орбиты? У меня, что-то возникали сомнения, в "дефектности" этого контура. Ср, 18/08/2010 - 16:48 #3 Vikkur Не на сайте Был на сайте: 4 года 7 месяцев назад Зарегистрирован: 24.09.2009 - 14:34 Публикации: 1749 А есть ЛТ, потому что, я к своему стыду не вижу... Виктор. Ср, 18/08/2010 - 17:17 #4 Катенёв Валенти... Не на сайте Был на сайте: 7 лет 2 недели назад Зарегистрирован: 22.03.2008 - 22:15 Публикации: 54876 Есть. Сейчас выставлю. Ср, 18/08/2010 - 17:19 #5 Катенёв Валенти... Не на сайте Был на сайте: 7 лет 2 недели назад Зарегистрирован: 22.03.2008 - 22:15 Публикации: 54876 1 срез. Приложения: Ср, 18/08/2010 - 17:23 #6 Катенёв Валенти... Не на сайте Был на сайте: 7 лет 2 недели назад Зарегистрирован: 22.03.2008 - 22:15 Публикации: 54876 2 срез. Приложения: Ср, 18/08/2010 - 22:32 #7 Юрич Не на сайте Был на сайте: 6 лет 5 месяцев назад Зарегистрирован: 17.01.2010 - 09:55 Публикации: 351 я не вижу четко стенок в.челюстной пазухи справа - атрфия от давления? может мукоцеле? Чт, 19/08/2010 - 10:24 #8 Vikkur Не на сайте Был на сайте: 4 года 7 месяцев назад Зарегистрирован: 24.09.2009 - 14:34 Публикации: 1749 ассиметрия есть.. Виктор.
Мне видиться гиперпластический риносинуит, искривление носовой перегородки. причем спава практически тотальное затемнение..
Виктор.
А, что по поводу нижнего края правой орбиты? У меня, что-то возникали сомнения, в "дефектности" этого контура.
А есть ЛТ, потому что, я к своему стыду не вижу...
Виктор.
Есть. Сейчас выставлю.
1 срез.
2 срез.
я не вижу четко стенок в.челюстной пазухи справа - атрфия от давления? может мукоцеле?
ассиметрия есть..
Виктор.