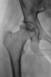
Пациент направлен на рентгенографию тазобедренного сустава и поясничного отдела позвоночника, в связи с имеющимися болями в тазобедренном суставе.

Пол пациента: 
Тип патологии: 
Область исследования: 
Методы исследования: 

Пациент направлен на рентгенографию тазобедренного сустава и поясничного отдела позвоночника, в связи с имеющимися болями в тазобедренном суставе.

Какие мнения будут уважаемые коллеги?

Тазобедренный через год.

пациентке было сделано только 4 среза, остальные иллюстрации - это происки АРМа в тесном контакте с ДИКОМОМ.

1.

2.

3.

4.

5.

6.

ВАШЕ МНЕНИЕ УВАЖАЕМЫЕ КОЛЛЕГИ?

  • https://radiomed.ru/sites/default/files/styles/case_slider_image/public/user/12/2.p8260048.jpg?itok=oIp4satF
  • https://radiomed.ru/sites/default/files/styles/case_slider_image/public/user/12/3.p8260049.jpg?itok=zHSzdl07
  • https://radiomed.ru/sites/default/files/styles/case_slider_image/public/user/12/4.p8260050.jpg?itok=BDDrwzQt
  • https://radiomed.ru/sites/default/files/styles/case_slider_image/public/user/12/5.p8260051a.jpg?itok=x1JmoIm1
  • https://radiomed.ru/sites/default/files/styles/case_slider_image/public/user/12/6.p8260051bv.jpg?itok=yml2vWFG
  • https://radiomed.ru/sites/default/files/styles/case_slider_image/public/user/12/7.p8260052a.jpg?itok=ABvUFkGU
  • https://radiomed.ru/sites/default/files/styles/case_slider_image/public/user/12/8.p8260052ga.jpg?itok=QNJ27Gh-
  • https://radiomed.ru/sites/default/files/styles/case_slider_image/public/user/12/1.p8260053.jpg?itok=tE-sXgH1
  • https://radiomed.ru/sites/default/files/styles/case_slider_image/public/user/12/2.p8260054.jpg?itok=RLx_hGNK
  • https://radiomed.ru/sites/default/files/styles/case_slider_image/public/user/12/1.p8260055.jpg?itok=sBaZl_Ci
  • https://radiomed.ru/sites/default/files/styles/case_slider_image/public/user/12/2.p8260055a.jpg?itok=nBINNdSH
  • https://radiomed.ru/sites/default/files/styles/case_slider_image/public/user/12/3.p8260056.jpg?itok=K6syMZgy
  • https://radiomed.ru/sites/default/files/styles/case_slider_image/public/user/12/4.p8260056a.jpg?itok=NbHoREUp
  • https://radiomed.ru/sites/default/files/styles/case_slider_image/public/user/12/1.p8260057.jpg?itok=l6it3AnN
  • https://radiomed.ru/sites/default/files/styles/case_slider_image/public/user/12/2.p8260057a.jpg?itok=_pV24PFn
  • https://radiomed.ru/sites/default/files/styles/case_slider_image/public/user/12/3.p8260058.jpg?itok=J324EMg1
  • https://radiomed.ru/sites/default/files/styles/case_slider_image/public/user/12/4.p8260058a.jpg?itok=uOT_Hfbk
  • https://radiomed.ru/sites/default/files/styles/case_slider_image/public/user/12/1.p8260059.jpg?itok=q1UL_KQy
  • https://radiomed.ru/sites/default/files/styles/case_slider_image/public/user/12/2.p8260059a.jpg?itok=q81lQBP_
  • https://radiomed.ru/sites/default/files/styles/case_slider_image/public/user/12/3.p8260060.jpg?itok=vgN6NMDC
  • https://radiomed.ru/sites/default/files/styles/case_slider_image/public/user/12/4.p8260060a.jpg?itok=v59_G-_c
  • https://radiomed.ru/sites/default/files/styles/case_slider_image/public/user/12/1.p8260061.jpg?itok=CCroHXfZ
  • https://radiomed.ru/sites/default/files/styles/case_slider_image/public/user/12/2.p8260061a.jpg?itok=h9_XeyEF
  • https://radiomed.ru/sites/default/files/styles/case_slider_image/public/user/12/3.p8260062.jpg?itok=peMdolbo
  • https://radiomed.ru/sites/default/files/styles/case_slider_image/public/user/12/4.p8260062a.jpg?itok=61N4NuLs
  • https://radiomed.ru/sites/default/files/styles/case_slider_image/public/user/12/1.p8260063.jpg?itok=V0Cxo8wh
  • https://radiomed.ru/sites/default/files/styles/case_slider_image/public/user/12/2.p8260063a.jpg?itok=CgwVyek7
  • https://radiomed.ru/sites/default/files/styles/case_slider_image/public/user/12/3.p8260064.jpg?itok=A0VcbTJD
  • https://radiomed.ru/sites/default/files/styles/case_slider_image/public/user/12/4.p8260064a.jpg?itok=stbUpfA9
  • https://radiomed.ru/sites/default/files/styles/case_slider_image/public/user/12/1.p8260065.jpg?itok=5rbQdntL
  • https://radiomed.ru/sites/default/files/styles/case_slider_image/public/user/12/2.p8260065a.jpg?itok=KhNW7hee
  • https://radiomed.ru/sites/default/files/styles/case_slider_image/public/user/12/3.p8260066.jpg?itok=hdVDjsIg
  • https://radiomed.ru/sites/default/files/styles/case_slider_image/public/user/12/4.p8260066a.jpg?itok=dzGDcRPu
ID:15067
Наталия аватар
Не на сайте
Был на сайте: 8 лет 8 месяцев назад
Зарегистрирован: 30.07.2008 - 13:24
Публикации: 538

Есть изменения в позвоночнике вот и возникли боли в тазобедренном суставе.

Катенёв Валентин Львович аватар
Не на сайте
Был на сайте: 7 лет 1 месяц назад
Зарегистрирован: 22.03.2008 - 22:15
Публикации: 54876

Чувствую, что "норму" придется писать...

Петрович аватар
Не на сайте
Был на сайте: 7 лет 3 месяцев назад
Зарегистрирован: 22.03.2009 - 01:13
Публикации: 3908

 

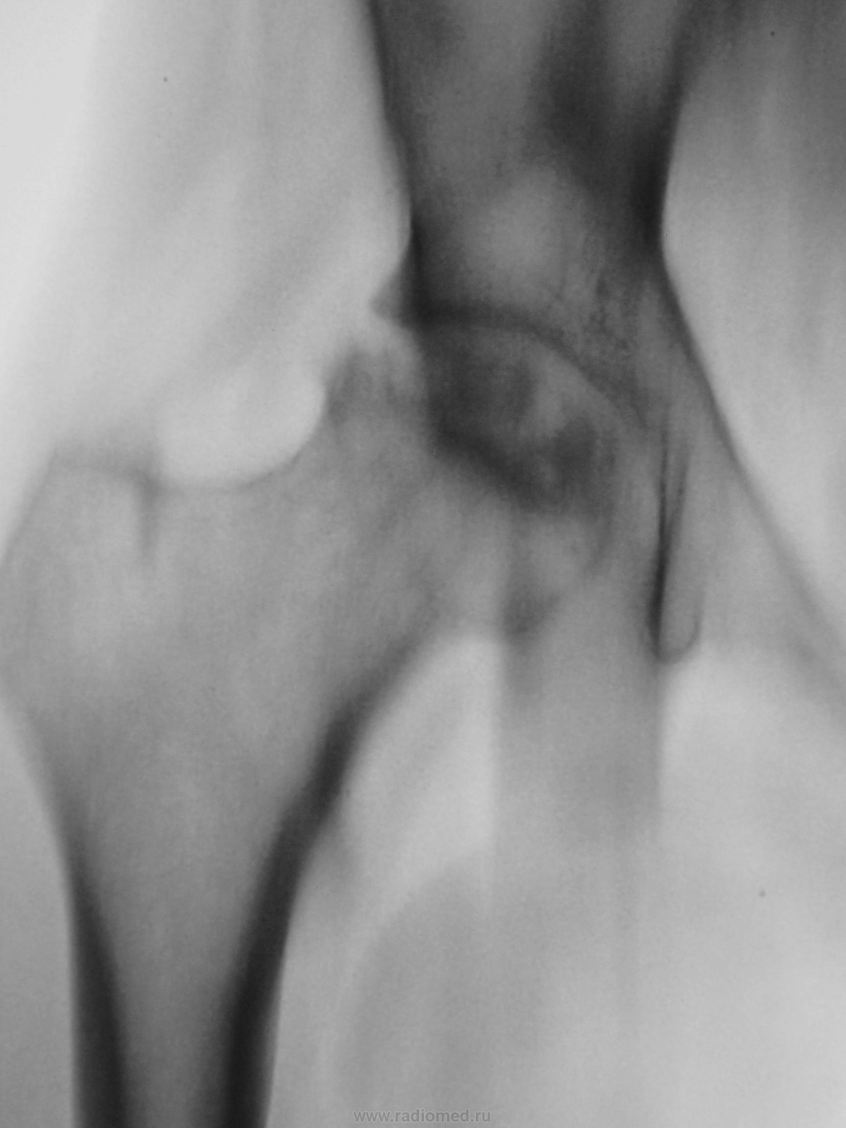
Пятнистая структура головки бедра. Особенно «загогулина» довольно чёткая в в/наружном квадранте не нравится. 

Неоднозначно всё

Катенёв Валентин Львович аватар
Не на сайте
Был на сайте: 7 лет 1 месяц назад
Зарегистрирован: 22.03.2008 - 22:15
Публикации: 54876

Что посоветуете Петрович?

rentgengb1 аватар
Не на сайте
Был на сайте: 12 лет 3 недели назад
Зарегистрирован: 13.02.2009 - 23:02
Публикации: 290

Асептический некроз головки бедра?

Катенёв Валентин Львович аватар
Не на сайте
Был на сайте: 7 лет 1 месяц назад
Зарегистрирован: 22.03.2008 - 22:15
Публикации: 54876

rentgengb1 wrote:

Асептический некроз головки бедра?

Значит, об асептическом некрозе можно думать, или стопудово?

Дообследовать надо?

rentgengb1 аватар
Не на сайте
Был на сайте: 12 лет 3 недели назад
Зарегистрирован: 13.02.2009 - 23:02
Публикации: 290

 В Ваших условиях, я бы сделал обзорный снимок таза,с захватом обоих тбс- сравнить. Может пестрота все лишь суперпозиция.!?

Катенёв Валентин Львович аватар
Не на сайте
Был на сайте: 7 лет 1 месяц назад
Зарегистрирован: 22.03.2008 - 22:15
Публикации: 54876

rentgengb1 wrote:

 В Ваших условиях, я бы сделал обзорный снимок таза,с захватом обоих тбс- сравнить. Может пестрота все лишь суперпозиция.!?

Спасибо.

Катенёв Валентин Львович аватар
Не на сайте
Был на сайте: 7 лет 1 месяц назад
Зарегистрирован: 22.03.2008 - 22:15
Публикации: 54876

Петрович wrote:

 

Пятнистая структура головки бедра. Особенно «загогулина» довольно чёткая в в/наружном квадранте не нравится. 

В своё время подмеченное Вами, не было достойно оценено, хотя "мнения были", и через год мы "поимели" следующее....

Снимки добавлены. 

rentgengb1 аватар
Не на сайте
Был на сайте: 12 лет 3 недели назад
Зарегистрирован: 13.02.2009 - 23:02
Публикации: 290

Ну вот, он и есть асептический некроз головки бедра.

Катенёв Валентин Львович аватар
Не на сайте
Был на сайте: 7 лет 1 месяц назад
Зарегистрирован: 22.03.2008 - 22:15
Публикации: 54876

А, как "стадировать" будем?

rentgengb1 аватар
Не на сайте
Был на сайте: 12 лет 3 недели назад
Зарегистрирован: 13.02.2009 - 23:02
Публикации: 290

а смысл ? тут все ровно эндопротез карячится.

Катенёв Валентин Львович аватар
Не на сайте
Был на сайте: 7 лет 1 месяц назад
Зарегистрирован: 22.03.2008 - 22:15
Публикации: 54876

Я спросил, так как некоторыми коллегами было высказано мнение, что "это" законченный случай...

О протезе пациентка (молодая женщина) пока не думает.

rentgengb1 аватар
Не на сайте
Был на сайте: 12 лет 3 недели назад
Зарегистрирован: 13.02.2009 - 23:02
Публикации: 290

Год назад была 1 стадия, сейчас импрессия,фрагментация. Протез нужен, дальше будет только хуже,т.к. вовлечение вертлужной впадины неизбежно.

ЛГ аватар
Не на сайте
Был на сайте: 8 лет 11 месяцев назад
Зарегистрирован: 06.01.2010 - 12:31
Публикации: 3523

Первые снимки - вторая стадия, последние снимки - пятая. О протезировании задуматься уже даже поздно. Еще 0.5-1 год, и будет трудоемко ставить протез.... Похоже, дама вполне терпеливая.

P.S. Евгений опередил... я по 5-стадийной классификации (Рейнберга)))

Катенёв Валентин Львович аватар
Не на сайте
Был на сайте: 7 лет 1 месяц назад
Зарегистрирован: 22.03.2008 - 22:15
Публикации: 54876

Людмила Григорьевна wrote:

Первые снимки - вторая стадия, последние снимки - пятая. О протезировании задуматься уже даже поздно. Еще 0.5-1 год, и будет трудоемко ставить протез.... Похоже, дама вполне терпеливая.

P.S. Евгений опередил... я по 5-стадийной классификации (Рейнберга)))

Дама сильно и не жалуется. Надо думать, что 5 ст. - это законченный случай?

Спасибо за комент Людмила Григорьевна, спасибо Евгений!

rentgengb1 аватар
Не на сайте
Был на сайте: 12 лет 3 недели назад
Зарегистрирован: 13.02.2009 - 23:02
Публикации: 290

Когда хрящ сотрет в пыль,  жалобы будут выраженные.

ЛГ аватар
Не на сайте
Был на сайте: 8 лет 11 месяцев назад
Зарегистрирован: 06.01.2010 - 12:31
Публикации: 3523

А болеть будет дальше, и чем дальше, тем больше. Евгений прав, потом начнется более интенсивное изменение вертлужной впадины.

Катенёв Валентин Львович аватар
Не на сайте
Был на сайте: 7 лет 1 месяц назад
Зарегистрирован: 22.03.2008 - 22:15
Публикации: 54876

Конечно Евгений прав, прав он и по поводу наших условий - нет КТ, нет МРТ, есть только "классика", окантованная цифрой.

Вот и решили мы, пройтись по суставу линейной томографией, ибо согласия в товарищах не было. Конечно, линейку нельзя сравнить с КТ, но мал-мал картина прояснилась, да и консультанты, одобрительно покивали головами.

Конечно, пациентке было сделано только 4 среза, остальные иллюстрации - это происки АРМа в тесном контакте с ДИКОМОМ.

Петрович аватар
Не на сайте
Был на сайте: 7 лет 3 месяцев назад
Зарегистрирован: 22.03.2009 - 01:13
Публикации: 3908

 

Катенёв Валентин Львович wrote:

Конечно Евгений прав, прав он и по поводу наших условий - нет КТ, нет МРТ, есть только "классика", окантованная цифрой.

 

Грустные условия, что скажешь. Для успешного лечения недавно заболевших, нужна ранняя диагностика, а для неё капиталоёмкие «нанотехнологии». В условиях нашего здравоохранения встретиться с такими технологиями у пациента появляется шанс обычно на пути к инвалидности, в реанимацию, а то и в ПАО. Ну а когда патология уже махрово-гротескная, в большинстве случаев хватает и РУМа с Рейнбергом.

Катенёв Валентин Львович wrote:

Конечно, пациентке было сделано только 4 среза, остальные иллюстрации - это происки АРМа в тесном контакте с ДИКОМОМ.

Это Вы, наверное, для представителей партии Прокурора и Санинспектора уточняете.

Неоднозначно всё

Катенёв Валентин Львович аватар
Не на сайте
Был на сайте: 7 лет 1 месяц назад
Зарегистрирован: 22.03.2008 - 22:15
Публикации: 54876

Вы правы Петрович, и для Партии (сейчас - фронт), да и блюстителей доз. Да и предварительных диагнозов (варианты) было множество. До сих пор единого мнения нет...

Петрович аватар
Не на сайте
Был на сайте: 7 лет 3 месяцев назад
Зарегистрирован: 22.03.2009 - 01:13
Публикации: 3908

 

То есть и сейчас сомневаетесь в асептическом некрозе? А представители партии "Прокурора и Санинспектора" к нам захаживают и замечания по поводу томограмм отпускают. По-барски.

Неоднозначно всё

Катенёв Валентин Львович аватар
Не на сайте
Был на сайте: 7 лет 1 месяц назад
Зарегистрирован: 22.03.2008 - 22:15
Публикации: 54876

Недавно "санблюститель" меня грозно вопросил, мол зачем Вы делаете томографию гортани? Мол - де надо КТ использовать, а не "облучать пациентов". Мы объяснили, что мы пациентов к себе не "на рынке зазываем", а направляет их врач отоларинголог, по всей видимости, испытывая диагностическую необходимость. Но, не дошло до "санблюстителя", грозен был очень.

Но нам не привыкать. Кроме истинных учителей, много было и "других учитилей", мы ко многому привычно, многое прошли...

Катенёв Валентин Львович аватар
Не на сайте
Был на сайте: 7 лет 1 месяц назад
Зарегистрирован: 22.03.2008 - 22:15
Публикации: 54876

Петрович wrote:

 

То есть и сейчас сомневаетесь в асептическом некрозе? А представители партии "Прокурора и Санинспектора" к нам захаживают и замечания по поводу томограмм отпускают. По-барски.

Да, сомневающиеся есть, и на более высоком уровне, чем наш ЦРБ-ушный.

Петрович аватар
Не на сайте
Был на сайте: 7 лет 3 месяцев назад
Зарегистрирован: 22.03.2009 - 01:13
Публикации: 3908

Тогда какие ещё предположения были?

Неоднозначно всё

Катенёв Валентин Львович аватар
Не на сайте
Был на сайте: 7 лет 1 месяц назад
Зарегистрирован: 22.03.2008 - 22:15
Публикации: 54876

Мы, ко многому привыкли уважаемый Петрович!

1. И к РУМу, и прогнившим бакам танкам, и к экономии пленки и химреактивов.

2. И "веник" вместо дворника - это наша отечественная "нана-технология"

3. И здравоозранение, которое высасывают всевозможные структуры, имеющие к здравоохранению весьма отдаленное отношение.

 

Россия!

Супер фото приколы, прикольные забавные сюжеты.

 

 

 

 

 

 

 

 

 

 

 

 

 

Супер фото приколы, прикольные забавные сюжеты.



 

.

 

 

 

 

 

Катенёв Валентин Львович аватар
Не на сайте
Был на сайте: 7 лет 1 месяц назад
Зарегистрирован: 22.03.2008 - 22:15
Публикации: 54876

Петрович wrote:

Тогда какие ещё предположения были?

Бруцеллёз, туберкулёз, остеомиелит (это клиницисты).

гаур моника аватар
Не на сайте
Был на сайте: 14 лет 4 месяцев назад
Зарегистрирован: 07.07.2011 - 12:17
Публикации: 27

раз-ви с головкой все норма?????

гаур моника аватар
Не на сайте
Был на сайте: 14 лет 4 месяцев назад
Зарегистрирован: 07.07.2011 - 12:17
Публикации: 27

извините не дочитала....все ясно...

Катенёв Валентин Львович аватар
Не на сайте
Был на сайте: 7 лет 1 месяц назад
Зарегистрирован: 22.03.2008 - 22:15
Публикации: 54876

Могу выставить головку изолировано, будет большее увеличение.

гаур моника аватар
Не на сайте
Был на сайте: 14 лет 4 месяцев назад
Зарегистрирован: 07.07.2011 - 12:17
Публикации: 27

спасибо Валентин Львович,,,,

Катенёв Валентин Львович аватар
Не на сайте
Был на сайте: 7 лет 1 месяц назад
Зарегистрирован: 22.03.2008 - 22:15
Публикации: 54876

Отдельно головка.

Приложения: 
1.p8260072.jpg2.p8260072a.jpgp8260067.jpgp8260068.jpgp8260069.jpgp8260070.jpgp8260071.jpg