Пациент направлен на рентгенологическое исследование ЖКТр из военкомата.

Пол пациента: 
Тип патологии: 
Область исследования: 
Методы исследования: 

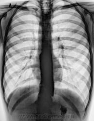
Пациент направлен на рентгенологическое исследование ЖКТр из военкомата с диагнозом - "Хронический гастрит". Пациенту неоднократно проводилась ФГДС. В течение последник 6 лет наблюдается и обследуется в области по поводу хронического гастрита и невроза пищевода. Произведено стандартное исследование.

  • https://radiomed.ru/sites/default/files/styles/case_slider_image/public/user/12/22.Nevroz.jpg?itok=WKojOpq5
  • https://radiomed.ru/sites/default/files/styles/case_slider_image/public/user/12/23.Nevroz.JPG?itok=k5sicKbL
  • https://radiomed.ru/sites/default/files/styles/case_slider_image/public/user/12/24.Nevroz.JPG?itok=SYPRquCY
  • https://radiomed.ru/sites/default/files/styles/case_slider_image/public/user/12/25.Nevroz.jpg?itok=hNS59fLr
  • https://radiomed.ru/sites/default/files/styles/case_slider_image/public/user/12/26.Nevroz.JPG?itok=lKOgxa-G
  • https://radiomed.ru/sites/default/files/styles/case_slider_image/public/user/12/27.Nevroz.jpg?itok=OFZa6_B7
ID:2920
Катенёв Валентин Львович аватар
Не на сайте
Был на сайте: 7 лет 2 недели назад
Зарегистрирован: 22.03.2008 - 22:15
Публикации: 54876

"Картинка" через 1 час после приема водной взвеси сернокислого бария.

 

Приложения: 
31.Nevroz.JPG32.Nevroz.jpg33.Nevroz.JPG34.Nevroz.jpg35.Nevroz.JPG36.Nevroz.jpg37.Nevroz.jpg38.Nevroz.jpg
Катенёв Валентин Львович аватар
Не на сайте
Был на сайте: 7 лет 2 недели назад
Зарегистрирован: 22.03.2008 - 22:15
Публикации: 54876

И еще "картинка" через 15 минут.

 

Приложения: 
41.Nevroz.jpg42.Nevroz.JPG43.Nevroz.jpg44.Nevroz.jpg
v1tal аватар
Не на сайте
Был на сайте: 4 года 9 месяцев назад
Зарегистрирован: 07.06.2008 - 19:41
Публикации: 1779

Субкардия деформирована?

"Знаешь, у некоторых врачей есть комплекс мессии — им необходимо спасать мир. А у тебя комплекс Рубика — тебе необходимо решать головоломки."

Катенёв Валентин Львович аватар
Не на сайте
Был на сайте: 7 лет 2 недели назад
Зарегистрирован: 22.03.2008 - 22:15
Публикации: 54876

Все эластично, все смещаемо.

Катенёв Валентин Львович аватар
Не на сайте
Был на сайте: 7 лет 2 недели назад
Зарегистрирован: 22.03.2008 - 22:15
Публикации: 54876

При обзоре газа в газовом пузыре не было.

drleon аватар
Не на сайте
Был на сайте: 11 лет 2 месяцев назад
Зарегистрирован: 14.07.2008 - 22:30
Публикации: 45

Ахалазия пищевода.

Воробьев Александр Юрьевич

v1tal аватар
Не на сайте
Был на сайте: 4 года 9 месяцев назад
Зарегистрирован: 07.06.2008 - 19:41
Публикации: 1779

Или спазм кардии, хотя ахалазия более подходит.

"Знаешь, у некоторых врачей есть комплекс мессии — им необходимо спасать мир. А у тебя комплекс Рубика — тебе необходимо решать головоломки."

Грицько Виталий аватар
Не на сайте
Был на сайте: 8 лет 12 месяцев назад
Зарегистрирован: 05.01.2010 - 14:06
Публикации: 1058

Валентин Львович здравствуйте.Первый вопрос сколько ему лет и второй какой у него вес?

Катенёв Валентин Львович аватар
Не на сайте
Был на сайте: 7 лет 2 недели назад
Зарегистрирован: 22.03.2008 - 22:15
Публикации: 54876

Направлен "от военкомата" - 17 лет. Мальчик худоват. На мой вопрос по поводу жалоб ответ был интересный - "после приема любой пищи - срыгиваю". Именно "срыгивает". Ест малыми порциями. Невроз и гастрит приклеены, как диагноз, в течение 6 лет.

Наталия аватар
Не на сайте
Был на сайте: 8 лет 7 месяцев назад
Зарегистрирован: 30.07.2008 - 13:24
Публикации: 538

Ахалазия пищевода. Почему ослабленный лег. рисунок в верхних поясах легочных полей.

Yar-sumy аватар
Не на сайте
Был на сайте: 11 лет 5 месяцев назад
Зарегистрирован: 24.02.2010 - 09:23
Публикации: 24

классика ахалазии кардии, 3 ст. симптом  "мышинного хвоста".

 

Almo аватар
Не на сайте
Был на сайте: 1 день 16 часов назад
Зарегистрирован: 28.09.2008 - 18:50
Публикации: 8254

Ахалазия кардии.

Фаина аватар
Не на сайте
Был на сайте: 2 года 11 месяцев назад
Зарегистрирован: 14.12.2008 - 16:51
Публикации: 323

Ахалазия кардии

Петрович аватар
Не на сайте
Был на сайте: 7 лет 2 месяцев назад
Зарегистрирован: 22.03.2009 - 01:13
Публикации: 3908

Фаина wrote:
Ахалазия кардии

То, что не убивает, делает нас сильнее.

  Ахалазия кардии не убивает. Но делает ли нас сильнее? В нерешительности

Неоднозначно всё

Катенёв Валентин Львович аватар
Не на сайте
Был на сайте: 7 лет 2 недели назад
Зарегистрирован: 22.03.2008 - 22:15
Публикации: 54876

Yar-sumy wrote:

классика ахалазии кардии, 3 ст. симптом  "мышинного хвоста".

 

+