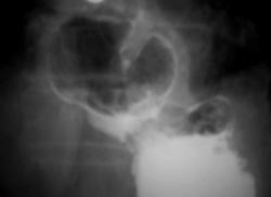
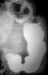
Пациент направлен на рентгенологическое исследование ЖКТР с диагнозом - "Хронический гастрит".

Пол пациента: 
Тип патологии: 
Область исследования: 
Методы исследования: 

Пациент направлен на рентгенологическое исследование ЖКТР врачом терапевтом с диагнозом - "Хронический гастрит". В процессе проведения рентгенологического исследования выявлена грыжа пищеводного отверстия диафрагмы. Ваше мнение коллеги?

11.GPOD_.jpg
11.GPOD_.jpg
12.GPOD_.JPG
12.GPOD_.JPG
13.GPOD_.JPG
13.GPOD_.JPG

 

 

 

 

 

 

 

 

 

 

 

14.GPOD_.JPG
14.GPOD_.JPG
15.GPOD_.JPG
15.GPOD_.JPG
16.GPOD_.jpg
16.GPOD_.jpg

 

 

 

 

 

 

 

 

 

 

 

17.GPOD_.JPG
17.GPOD_.JPG
ВложениеРазмер
Иконка изображения 11.GPOD_.jpg63.75 КБ
Иконка изображения 12.GPOD_.JPG98.92 КБ
Иконка изображения 13.GPOD_.JPG69.97 КБ
Иконка изображения 14.GPOD_.JPG64.34 КБ
Иконка изображения 15.GPOD_.JPG77.67 КБ
Иконка изображения 16.GPOD_.jpg78.33 КБ
Иконка изображения 17.GPOD_.JPG74.68 КБ
v1tal аватар
Не на сайте
Был на сайте: 4 года 9 месяцев назад
Зарегистрирован: 07.06.2008 - 19:41
Публикации: 1779

Фиксированная грыжа пищеводного отверстия диафрагмы, а по ФГДС больше ни какой особенности?

"Знаешь, у некоторых врачей есть комплекс мессии — им необходимо спасать мир. А у тебя комплекс Рубика — тебе необходимо решать головоломки."

Анатолий Владимирович Шумаков аватар
Не на сайте
Был на сайте: 7 лет 10 месяцев назад
Зарегистрирован: 16.10.2009 - 21:16
Публикации: 1941

Картина фиксированной осевой (аксиальной) грыжи пищеводного отверстия диафрагмы, вероятно врожденный короткий пищевод (на снимке №11 виден его небольшой изгиб, но для полноценного пищевода этого недостаточно). Нарушение функции замыкающего механизма кардии. Насчет желудочно - пищеводного рефлюкса без скопии по одним снимкам неясно, во всяком случае явной перестройки складок нижних отделов пищевода нет.

Наталия аватар
Не на сайте
Был на сайте: 8 лет 7 месяцев назад
Зарегистрирован: 30.07.2008 - 13:24
Публикации: 538

А чем доказано, что эта грыжа фиксированная?

Анатолий Владимирович Шумаков аватар
Не на сайте
Был на сайте: 7 лет 10 месяцев назад
Зарегистрирован: 16.10.2009 - 21:16
Публикации: 1941

Уважаемая Наталия!

Безусловно всей необходимой инфрмацией может располагать только врач проводивший конкретное исследование. Однако на всех представленных рентгенограммах нет снимка, где бы кардиальный отдел желудка был на своем законном месте - ниже купола диафрагмы, а это признак фиксированности грыжы. Хочу подчеркнуть, что неправомерно употребляемый часто нами, рентгенологами, термин "скользящая грыжа" есть не что иное - как синоним термина " аксиальная" (в отличие от параэзофагеальной), а вовсе не отражение состояния фиксированности (невправимости) или нет.