Пол пациента:
Тип патологии:
Область исследования:
Методы исследования:
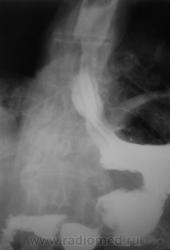
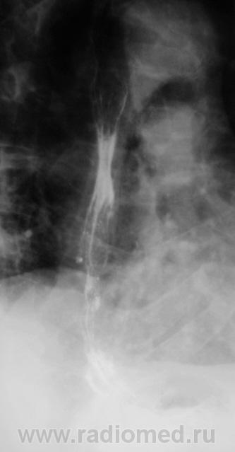
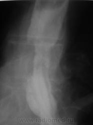
Пациент направлен на рентгенологическое исследование пищевода после ФГДС с диагнозом - "Пищевод Барретта".
Пациент первично был направлен в онкологический диспансер (областной). От туда он был направлен по месту жительства для производства ФГДС, которая и была проведена, был выставлен выше указанный диагноз.
После ФГДС, врач эндоскопист рекомендовал провести рентгеновское исследование пищевода.
Маленькая ссылка.
- https://radiomed.ru/sites/default/files/styles/case_slider_image/public/user/12/2.41a.Slayd42.JPG?itok=6atti6VZ
- https://radiomed.ru/sites/default/files/styles/case_slider_image/public/user/12/3.21.23._0.JPG?itok=zGDymfiI
- https://radiomed.ru/sites/default/files/styles/case_slider_image/public/user/12/1.P4210033a.jpg?itok=Mqb0ksn6
- https://radiomed.ru/sites/default/files/styles/case_slider_image/public/user/12/2.P4210034a.jpg?itok=E-B9MQs5
- https://radiomed.ru/sites/default/files/styles/case_slider_image/public/user/12/3.P4210035a.jpg?itok=kNa5sx7J
- https://radiomed.ru/sites/default/files/styles/case_slider_image/public/user/12/4.P4210036a.jpg?itok=xfTgKfHn
- https://radiomed.ru/sites/default/files/styles/case_slider_image/public/user/12/5.P4210037a.jpg?itok=EbrLzukW
- https://radiomed.ru/sites/default/files/styles/case_slider_image/public/user/12/6.P4210037ab.jpg?itok=TMwvijWn
- https://radiomed.ru/sites/default/files/styles/case_slider_image/public/user/12/7.P4210038a.jpg?itok=uKlJd8ib
- https://radiomed.ru/sites/default/files/styles/case_slider_image/public/user/12/8.P4210040.JPG?itok=NJnUVUtp
- https://radiomed.ru/sites/default/files/styles/case_slider_image/public/user/12/9.P4210041.JPG?itok=UQDWie2i
- https://radiomed.ru/sites/default/files/styles/case_slider_image/public/user/12/10.P4210042.JPG?itok=1rp2L4lV
- https://radiomed.ru/sites/default/files/styles/case_slider_image/public/user/12/11.P4210042a.jpg?itok=NiLnngjS
- https://radiomed.ru/sites/default/files/styles/case_slider_image/public/user/12/12.P4210043.JPG?itok=lGIg_Nb1
- https://radiomed.ru/sites/default/files/styles/case_slider_image/public/user/12/13.P4210043a.jpg?itok=7k3gCcoD
ID:3221
Довольно подозрительный пищевод Баретта, с учетом регидности стенки в н/3 ретрокардиального сегмента пищевода, предположу сочетание с "органикой", на то есть Ваш пример выше. А вообще окончательное слово за гистологией, при ФГДС была взята биопсия?
"Знаешь, у некоторых врачей есть комплекс мессии — им необходимо спасать мир. А у тебя комплекс Рубика — тебе необходимо решать головоломки."
У нас ФГДС очень интересная - биопсию не берут...
Добавка.
Ну вообще пищевод Баретта является как бы предраковым состоянием, другое дело, что нет возможно провести гистологию.
"Знаешь, у некоторых врачей есть комплекс мессии — им необходимо спасать мир. А у тебя комплекс Рубика — тебе необходимо решать головоломки."
Еще добавка.
Расценивать данное состояние как пищевод Баретта без биопсии, тем более участок неравномерного сужения в ретрокардиальном сегменте с ТАКИМИ контурами - смело...., как мне кажется...но все таки...
По сути:
1. Пищеводно-желудочный переход отсутствует - это одно из подтверждений пищевода Баррета.
2. Наблюдаемое сужение может быть следствием эзофагеального стеноза в зоне трансформации эпителия - это тоже подтверждение пищевода Баретта, но как без биопсии дифференцировать с инфильтративной формой рака....
3. Нишеподобное выпячивание по левой стенке может быть пептической язвой - это тоже характерно для пищевода Баретта....
4. Изменения в кардиальном отделе желудка по медиальной стенке - интересное и непонятное явление...думаю без биопсии тут никто не разберется, это и отек слизистой, это и рост в просвет...
Вывод, столь серьезная заявка, как пищевод Баретта, тем более с учетом возможности развития на этом фоне опухолевого поражения, требует ОБЯЗАТЕЛЬНОГО гистологического подтверждения....без биопсии НИКУДА....увы...
Болезни ног: виды, симптомы, причины, профилактика и лечение
Спасибо.
Циркулярное сужение в н/3 + отсутствие складок на уровне поражения + формирующееся престенотическое расширение = рак н/3 пищевода. Ну, а Барреты? А Барреты потом...
Андрей Юрьевич
Полностью согласен. Куда мы будем свои очи прятать, когда какой нибудь малолетка-онколог нас дураками и неуками назовет при ретроспективном анализе.
Так ведь никто рак пищевода и не исключает...именно о нем и говорим....но пищевод Баретта - это хорошая почва для рака....там "всходит намного чаще и гуще")))))....
Болезни ног: виды, симптомы, причины, профилактика и лечение
Здравствуйте Андрей Юрьевич!
Так и написал - "Рак"
А, мы на онкологов положим "нежный взгляд" и "добрую улыбку".