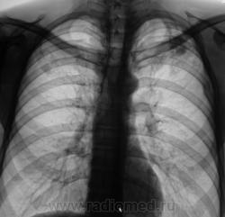
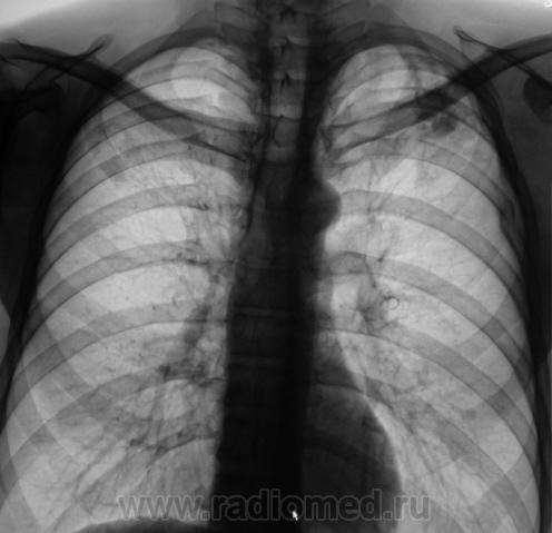
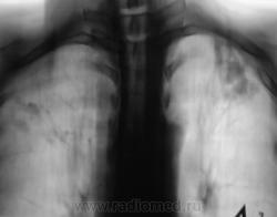
Пациент, после прохождения профилактической флюорографии "взят на контроль". Произведено дообследование.

Пол пациента: 
Тип патологии: 
Методы исследования: 

Пациент, после прохождения профилактической флюорографии "взят на контроль".  Произведено дообследование.

  • https://radiomed.ru/sites/default/files/styles/case_slider_image/public/user/12/2..Vzya_.jpg?itok=4uroG0Ja
  • https://radiomed.ru/sites/default/files/styles/case_slider_image/public/user/12/3..Vzya_.JPG?itok=2ZLfpEAU
  • https://radiomed.ru/sites/default/files/styles/case_slider_image/public/user/12/4..Vzya_.jpg?itok=zYVsvWVY
  • https://radiomed.ru/sites/default/files/styles/case_slider_image/public/user/12/5..Vzya_.jpg?itok=iA4-4xbG
  • https://radiomed.ru/sites/default/files/styles/case_slider_image/public/user/12/11.Vzya__2.JPG?itok=1lDdezRc
  • https://radiomed.ru/sites/default/files/styles/case_slider_image/public/user/12/12..Vzya__0.JPG?itok=Qt8Qtw_P
  • https://radiomed.ru/sites/default/files/styles/case_slider_image/public/user/12/13..Vzya__0.JPG?itok=npQ1x74n
ID:1399
Игорь Иванович аватар
Не на сайте
Был на сайте: 3 года 9 месяцев назад
Зарегистрирован: 23.01.2010 - 14:56
Публикации: 3695

Валентин Львович, ну зачем хоть на ночь глядя? Без туберкулеза тут не обошлось. А вот что там с 1-м  ребром слева, деструкция?

Катенёв Валентин Львович аватар
Не на сайте
Был на сайте: 7 лет 2 недели назад
Зарегистрирован: 22.03.2008 - 22:15
Публикации: 54876

Обязательно выставлю томограммы. А, "Его Величество Туберкулёз", и на ночь можно потребить, ибо, по сравнению с "Величеством" никакие "Свинюшкины" или "Стрекозинные" гриппы, а может быть и ВИЧ, не идут ни в какие сравнения, просто умалчивается стыдливо. А заболевание - то - одно из древнейших, и как "тараканы" - не победимое при "такой" организации борьбы с ним.

Синкевич Наталья аватар
Не на сайте
Был на сайте: 8 лет 11 месяцев назад
Зарегистрирован: 16.01.2009 - 16:28
Публикации: 23

Процесс вероятно "не свежий", интересно когда была предыдущая ФГ? и что там?

Катенёв Валентин Львович аватар
Не на сайте
Был на сайте: 7 лет 2 недели назад
Зарегистрирован: 22.03.2008 - 22:15
Публикации: 54876

Через год, после проведенного "специфического" лечения.

Рентгенограмма.

 

Приложения: 
21._Chere.jpg22._Chere.jpg23._Chere.jpg
Катенёв Валентин Львович аватар
Не на сайте
Был на сайте: 7 лет 2 недели назад
Зарегистрирован: 22.03.2008 - 22:15
Публикации: 54876

Томограммы.

 

Приложения: 
31.Chere_.JPG32._Chere.JPG33._Chere.JPG34._Chere.JPG35._Chere.jpg36._Chere.jpg
ElenaG аватар
Не на сайте
Был на сайте: 15 лет 7 месяцев назад
Зарегистрирован: 23.02.2010 - 23:21
Публикации: 69

Я бы остановилась на множественных туберкулемах s1-2 обоих легких,Туберкулемы не однородны.за счет уплотнения,пл очаги.фиброз.

Регион05Наира аватар
Не на сайте
Был на сайте: 13 лет 9 месяцев назад
Зарегистрирован: 26.11.2011 - 14:43
Публикации: 59

Слева туберкулома и корень подтянут Справа-очаги отсева .Динамика типичная- лечим.лечим-а туберкуломе хоть бы хны!

Катенёв Валентин Львович аватар
Не на сайте
Был на сайте: 7 лет 2 недели назад
Зарегистрирован: 22.03.2008 - 22:15
Публикации: 54876

ElenaG wrote:

Я бы остановилась на множественных туберкулемах s1-2 обоих легких

Действительно множественные туберкуломы, или нет?

Nikolas аватар
Не на сайте
Был на сайте: 1 месяц 3 недели назад
Зарегистрирован: 21.12.2010 - 20:37
Публикации: 4559

Туберкулёма только в С1+2 слева, как дела давно минувших дней.  Произошла реактивация туберкулёзного процесса с развитием двустороннего очагового туберкулёза. Имеется положительная динамика в виду некоторого уплотнения очагов. Таково мое мнение. 

Катенёв Валентин Львович аватар
Не на сайте
Был на сайте: 7 лет 2 недели назад
Зарегистрирован: 22.03.2008 - 22:15
Публикации: 54876

Спасибо за высказанное мнение.

Евгений Алексеевич аватар
Не на сайте
Был на сайте: 4 года 12 месяцев назад
Зарегистрирован: 28.06.2013 - 16:23
Публикации: 4122

<p>Сложно конечно после признанных авторитетов высказываться))) Но, вопросы есть! Почему туберкулема с реактивацией, а не инфильтрация с распадом? Все что высокой интенсивности слева это старые дела, а остальное и справа средней интенсивности неоднородные затенения дела реактивированные?</p>

Nikolas аватар
Не на сайте
Был на сайте: 1 месяц 3 недели назад
Зарегистрирован: 21.12.2010 - 20:37
Публикации: 4559

Уважаемый Евгений Александрович! "Не сотвори себе кумира" — жить своей головой, не поклоняться бездумно кому-либо, любой идее, мысли,  быть собой, иметь собственное мнение, суждение. Эта заповедь - двигатель профессионального раста. Как Вы пишите, "после признанных авторитетов" высказываться сложно. На сайте каждый пишет в силу своего опыта и профессиональной подготовки. Все относительно. Надо стремиться быть лучше и выше  "признанных авторитетов". 

Евгений Алексеевич аватар
Не на сайте
Был на сайте: 4 года 12 месяцев назад
Зарегистрирован: 28.06.2013 - 16:23
Публикации: 4122

Согласен, Николас! Подмастерье должны перерастать своих мастеров, иначе нет движению науки(((