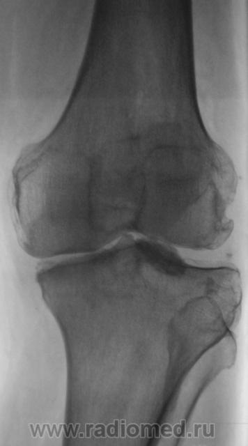
Пациент направлен в рентгеновский кабинет врачом хирургом для рентгенографии коленного сустава. Пациента в течение 2-х лет беспокоят боли в коленном суставе "Тупого характера". Хирургом выставлен диагноз - "Деформирующий артроз". Произведены рентгенограммы.





Ваше мнение коллеги?
Свободное внутрисуставное тело.
https://www.instagram.com/pediatricradiology/
А куда его Ольга можно приавязать - это "тело". К Кенигу не привязать.
Даже не знаю, со взрослыми не работаю. Может хондроматоз сустава?
https://www.instagram.com/pediatricradiology/
Вы сами сказали - "хондроматоз", что по всей видимости, не подразумевает "узкую локальность", а сдесь только в одном месте. А может это, что-то типа оторвавшегося куска "мениска", и в результате травмы "пропитавшееся"солями извести?
ОЛЬГА! Огромная просьба. Я постраюсь сегодня к вечеру поместить случай "Девушка 21 года". Хотел-бы услышать Ваше мнение. Уже в течение 8 лет (с ребетячьего возраста) её обследуют, констатируют, а "оно растет", но говорят, что "!не надо трогать".
Вполне возможно. Но и при хондроматозе не все внутрисуставные тела выявляются рентгенологически, часть их не видна. Хотя, хондроматоз маловероятен.
https://www.instagram.com/pediatricradiology/
А термин "суставная мышь" не подойдет? Или он уже не используется?
Андрей Юрьевич
Да нет, используется и весьма часто, особенно тогда, когда затруднительно конретизировать. Но "мышь" какая-то уж сильно плотная, прямо - пропитанная "мумия" мыши.
Согласен по поводу мениска -- вероятно, фрагмент медиального. И обратите внимание на мелкую тень с латеральной стороны -- то ли ещё одно свободное тело, то ли обызвествление в толще латерального мениска.
upd: перечитал пост -- засомневался: неужели свободное тело за два года дало только "тупые боли"?