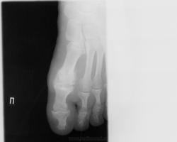
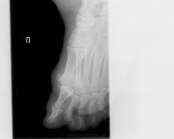
https://radiomed.ru/sites/default/files/styles/case_slider_image/public/user/1875/00015457.jpg?itok=Z6hwc_k8 ID:56315 Ср, 04/08/2010 - 21:45 #1 Катенёв Валенти... Не на сайте Был на сайте: 7 лет 3 недели назад Зарегистрирован: 22.03.2008 - 22:15 Публикации: 54876 Похоже. Посмотрите по ссылке. http://www.radiomed.ru/forum/podagra-nabor-izobrazheniy Чт, 05/08/2010 - 04:54 #2 Vikkur Не на сайте Был на сайте: 4 года 8 месяцев назад Зарегистрирован: 24.09.2009 - 14:34 Публикации: 1749 Похоже подагрический артрит, есть характерные тофусы Виктор. Втр, 17/08/2010 - 16:14 #3 MarinaD Не на сайте Был на сайте: 10 лет 4 месяцев назад Зарегистрирован: 10.07.2010 - 02:22 Публикации: 108 И я похожую на эту картинку подтвержденную подагру видела.
Похоже. Посмотрите по ссылке.
http://www.radiomed.ru/forum/podagra-nabor-izobrazheniy
Похоже подагрический артрит, есть характерные тофусы
Виктор.
И я похожую на эту картинку подтвержденную подагру видела.