Пол пациента:
Тип патологии:
Область исследования:
Методы исследования:
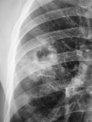
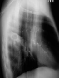
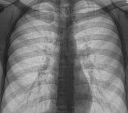
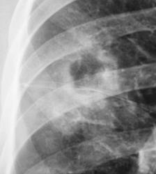
Пациент взят на контроль после флюорографии. Произвели только обзорный снимок.
Ваше мнение уважаемые коллеги?
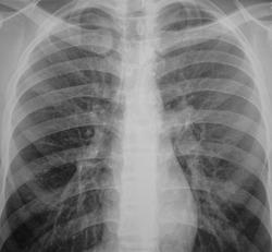
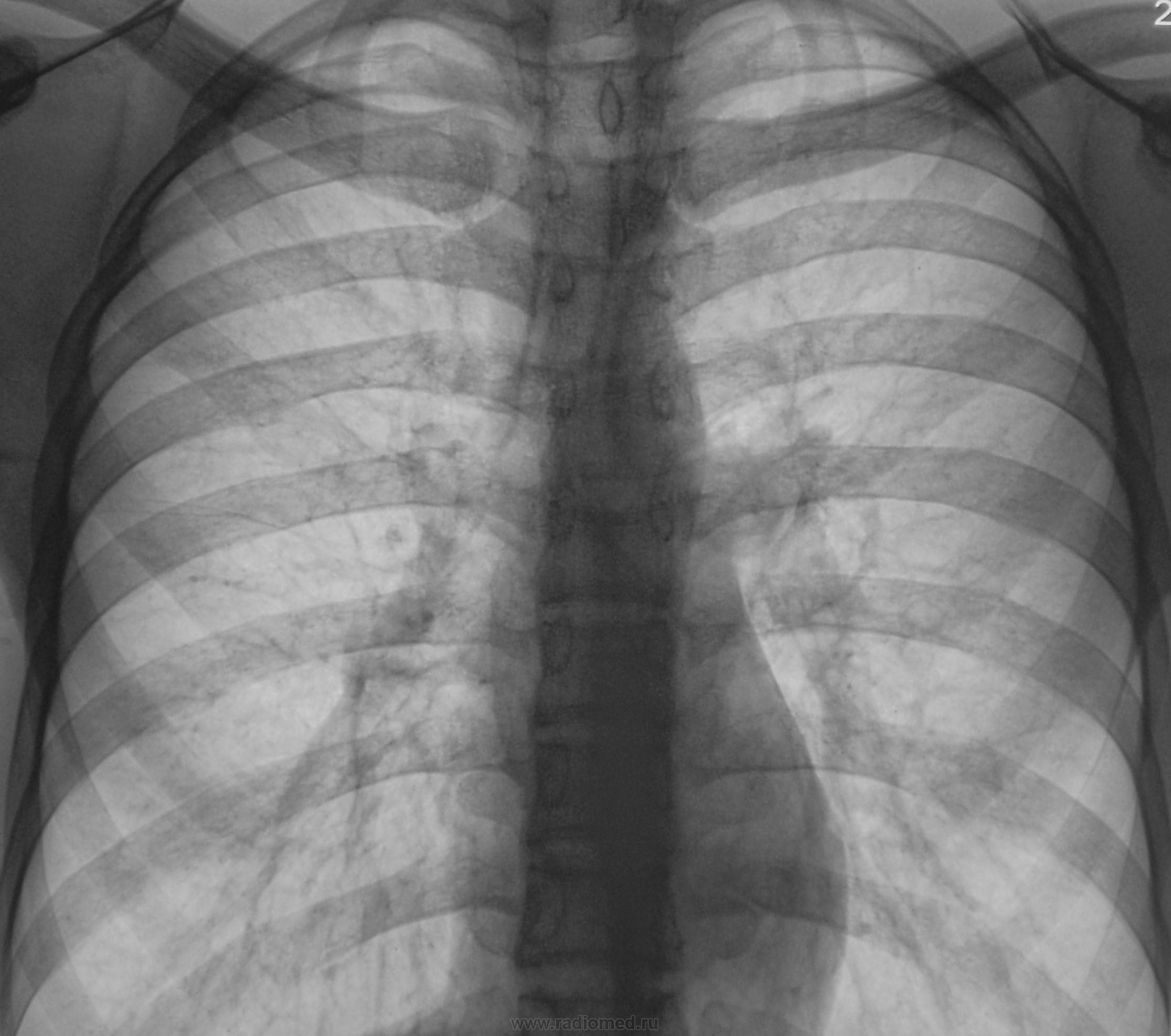
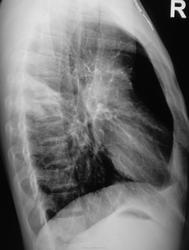
Прошло 3 месяца, и сегодня, фтизиатр прислал на «контроль», взятого на заметку.
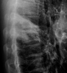
Стало ясно, что линейная томография в данном случае не повредит.
И, что посоветуют уважаемые коллеги, ну, в плане диагноза?
- https://radiomed.ru/sites/default/files/styles/case_slider_image/public/user/12/2.p9260024.jpg?itok=z2vzTz8U
- https://radiomed.ru/sites/default/files/styles/case_slider_image/public/user/12/1.p9260025.jpg?itok=-sENjAw_
- https://radiomed.ru/sites/default/files/styles/case_slider_image/public/user/12/2.p9260026.jpg?itok=Tk14rpLW
- https://radiomed.ru/sites/default/files/styles/case_slider_image/public/user/12/3.p9260026a.jpg?itok=BteI6XAJ
- https://radiomed.ru/sites/default/files/styles/case_slider_image/public/user/12/4.p9260026abg.jpg?itok=Hqrniwh2
- https://radiomed.ru/sites/default/files/styles/case_slider_image/public/user/12/5.p9260027.jpg?itok=YwviMnWz
- https://radiomed.ru/sites/default/files/styles/case_slider_image/public/user/12/6.p9260027a.jpg?itok=RjRb_TGG
- https://radiomed.ru/sites/default/files/styles/case_slider_image/public/user/12/7.p9260027ab.jpg?itok=WU_VaegE
- https://radiomed.ru/sites/default/files/styles/case_slider_image/public/user/12/1.p9260028.jpg?itok=b8XGEqu7
- https://radiomed.ru/sites/default/files/styles/case_slider_image/public/user/12/2.p9260029.jpg?itok=twXOaxRa
- https://radiomed.ru/sites/default/files/styles/case_slider_image/public/user/12/3.p9260029a.jpg?itok=KdtGiZG_
- https://radiomed.ru/sites/default/files/styles/case_slider_image/public/user/12/4.p9260029av.jpg?itok=yIBQhhw6
- https://radiomed.ru/sites/default/files/styles/case_slider_image/public/user/12/5.p9260030.jpg?itok=EdB1uQ8u
ID:15676
См. Стрелки. Целесообразно сделать задний снимок. С уважением Nikolas
Здравствуйте Nikolas!
Я никак не ожидал, что получу первый "комент", именно от Вас, но тем для меня приятнее. Видать Вы почувствовали, возможно даже интуитивно, "запах фтизы"?
Мы с коллегой фтизиатром смотрели вместе, снимок, коллега не проявил "интересу", со всеми вытекающими из этого последствиями...
Да, я посмотрел стрелочки, я полностью согласен. Но у меня граз цеплялся справа...
Я, конечно, написал протокол, указал «очаговые тени» и рекомендовал консультацию фтизиатра. Фтизиатр «был не склонен», в личном разговоре назвал меня «собакой женского рода», но дело было сделано (он фтизиатр, куда денется с нашей «подводной лодки»), пациент был взят на «заметку» туб кабинетом, так сказать чтобы сделать контроль.
хорошее сегодня. Приветствую Вас уважаемый Валентин Львович! Интересны мнения других врачей. С уважением Nik
И, случай интересный...
У нас фтизиатры даже радуются, что мы выявляем больных, обследуют далее сами, у нас они какие то идейные, нам проще
Какое мнение будет после томографии у уважаемых коллег?
ух круто!
А, мне бы советик по поводу диагноза. А, то, что круто, у нас все круто от недостатка организации здравоохранения.
пациенту?
18 лет.
А, фамилия юноши, вдруг, показалась мне знакомой. Мы, недавно его «однофамильца» с полным «туберным комплектом» упаковали в областную туббольницу (активное бацилловыделение). Вот, и интересуюсь я, а не родственник ему Бармалей Бармалеевич Бармалеев, а в ответ получаю, что это родной его дядюшка, и проживали они в одной «хате».
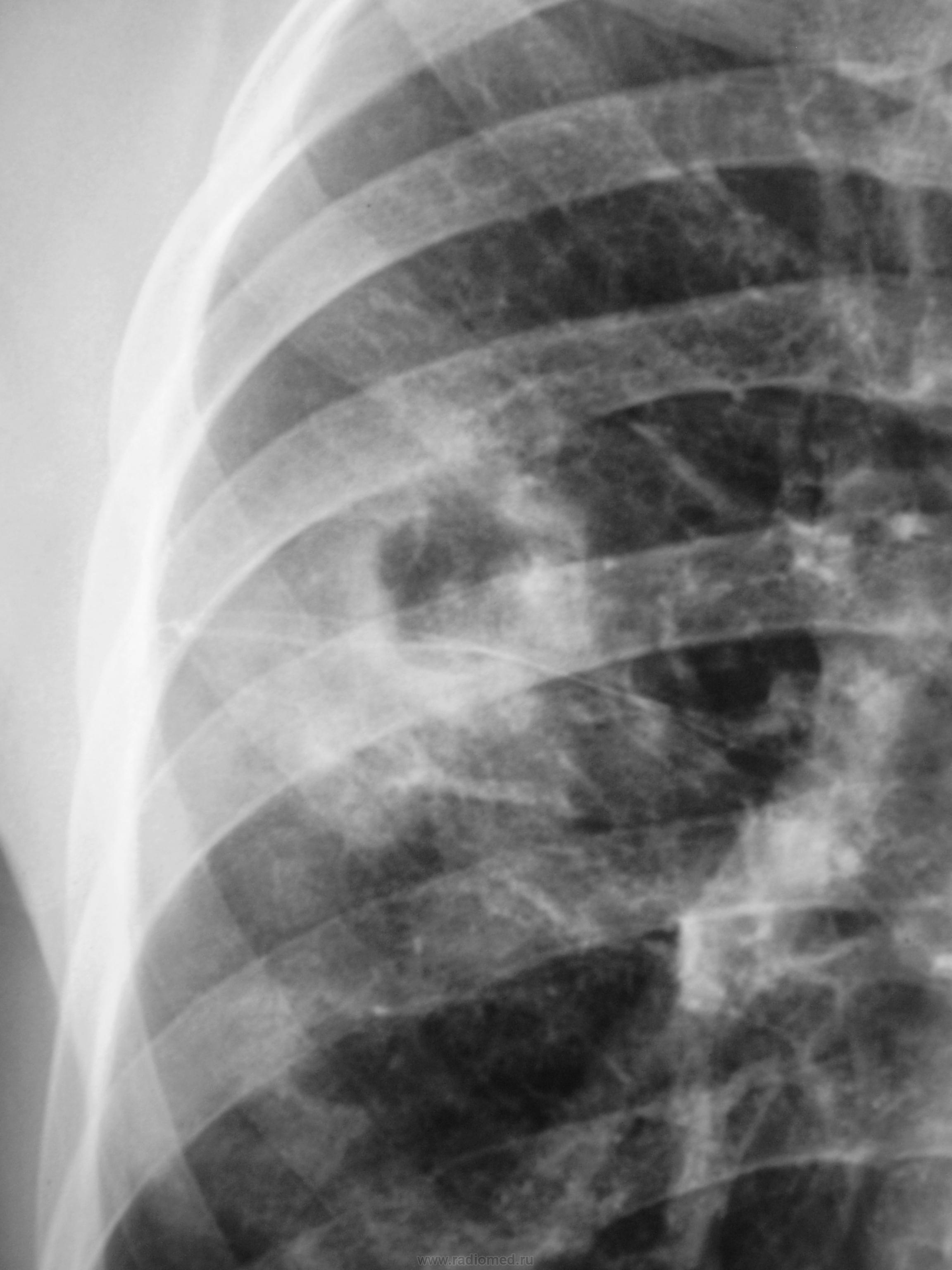
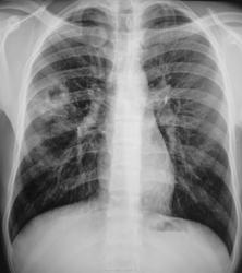
Томограммы дядюшки...
Формально фтизиатры поставят диагноз инфильтративный туберкулез S6 правого легкого, фаза распада. Но, я не зря спросил про возраст больного. У молодых людей нижнедолевой туберкулез особенно в 6 сегменте часто связан с поражением внутригрудных лимфатических узлов. Пути распространения инфекции лимфобронхогенное. Подтверждением этого является обнаружение при бронхоскопии различных форм активного туберкулеза (инфильтративный, язвенный и лимфобронхиальный свищ). При бронхоскопии у больного могут найдут специфическое поржение бронхов. Лимфогенный путь распространения напоминает раковый лимфангиит . О лимфогенном распространении инфекции указывает прединфильтратная сетка, которую хорошо видно на рентгенограммах. О поражении лимфатических бронхопульмональных узлов свидетельствует вовлечение в процесс плевральных листков в виде воспалительного уплотнения междолевой плевры, а также наклонность к раннему образованию распада. Известно,что у взрослых трудно выявить изменения со стороны ВГЛУ, так как они не часто достигают той величины, как у детей. Умеренно выраженное увеличение бронхопульмональных л/у на КТ диагностируется только при контрастировании. Таким образом, предварительный патогенетический диагноз звучал бы так : туберкулез внутригрудных лимфатических узлов бронхопульмональной группы справа, осложненный бронхолегочным поражением в S6 с распадом. Необходимо построить патогенетический диагноз, так как специфические изменения в лимфатических узлах требуют более длительного лечения. Такова моя точка зрения на диагноз у представленного пациента. С уважением Ваш NIkolas
Я думаю, что мы будем иметь динамику, после туббольницы. В районе одно ЛПУ, одно Р-отделение, а следовательно, пациент нас не минует, да будут и данные из области.