Пациент "взят на контроль"... Ваше мнение коллеги.

Пол пациента: 
Тип патологии: 
Методы исследования: 

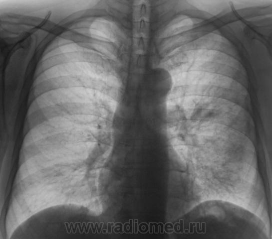
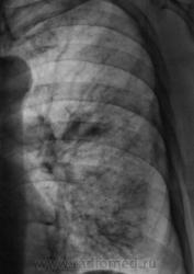
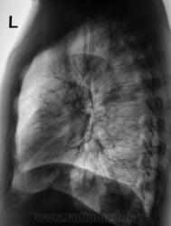
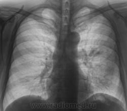
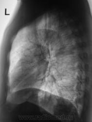
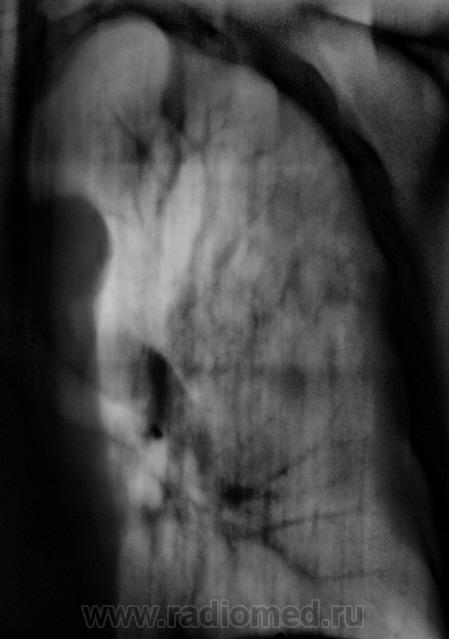
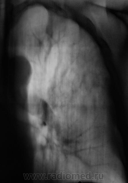
При расшифровке флюорограмм пациент "взят на контроль". Жалоб пациент не предъявляет. Подняли "архив", флюорограмма за 2009 г. - "норма".

Произвели стандартное дообследование.

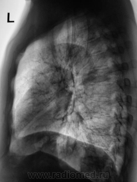
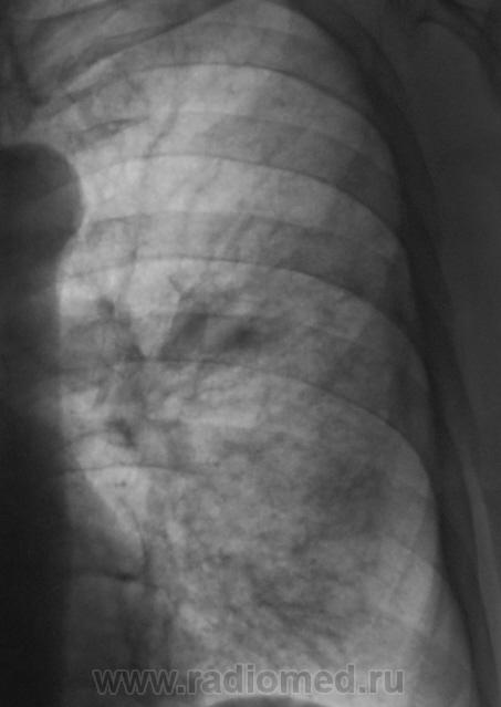
Томограммы.

  • https://radiomed.ru/sites/default/files/styles/case_slider_image/public/user/12/2.B.N..jpg?itok=NYwieFji
  • https://radiomed.ru/sites/default/files/styles/case_slider_image/public/user/12/3.B.N..jpg?itok=2P2wnOpj
  • https://radiomed.ru/sites/default/files/styles/case_slider_image/public/user/12/4.B.N..JPG?itok=j8e41E-d
  • https://radiomed.ru/sites/default/files/styles/case_slider_image/public/user/12/5.B.N..jpg?itok=h_I98cWO
  • https://radiomed.ru/sites/default/files/styles/case_slider_image/public/user/12/6.B.N..JPG?itok=bgUnE4us
  • https://radiomed.ru/sites/default/files/styles/case_slider_image/public/user/12/7.B.N..jpg?itok=MNmUl5az
  • https://radiomed.ru/sites/default/files/styles/case_slider_image/public/user/12/8.B.N..JPG?itok=7U12PTT7
  • https://radiomed.ru/sites/default/files/styles/case_slider_image/public/user/12/9.B.N..jpg?itok=x-BNC-oO
  • https://radiomed.ru/sites/default/files/styles/case_slider_image/public/user/12/10.B.N..JPG?itok=GPUgjG3F
  • https://radiomed.ru/sites/default/files/styles/case_slider_image/public/user/12/11.B.N..jpg?itok=R24DmPeU
  • https://radiomed.ru/sites/default/files/styles/case_slider_image/public/user/12/12.B.N..JPG?itok=GObkUj8G
  • https://radiomed.ru/sites/default/files/styles/case_slider_image/public/user/12/13.B.N..JPG?itok=p780qY-k
  • https://radiomed.ru/sites/default/files/styles/case_slider_image/public/user/12/14.B.N..jpg?itok=z14j_ZhG
  • https://radiomed.ru/sites/default/files/styles/case_slider_image/public/user/12/15.B.N..jpg?itok=q1WSBrY2
ID:1246
Ольга Дмитриевна аватар
Не на сайте
Был на сайте: 15 лет 9 месяцев назад
Зарегистрирован: 13.01.2010 - 16:55
Публикации: 168

tbc

Красота - гормон карьерного роста!

Катенёв Валентин Львович аватар
Не на сайте
Был на сайте: 7 лет 3 недели назад
Зарегистрирован: 22.03.2008 - 22:15
Публикации: 54876

Ольга Дмитриевна wrote:

tbc

А, какой ТВС?