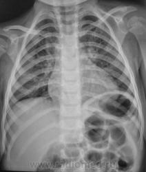
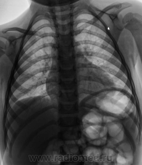
Пол пациента: Женский пол Тип патологии: Воспалительное заболевание неинфекционной природы Область исследования: Грудная клетка и верхние дыхательные пути Методы исследования: Rg Пациентка из детского отделения направлена на рентгенографию органов грудной полости с диагнозом - "Пневмония". Ваше мнение уважаемые коллеги? https://radiomed.ru/sites/default/files/styles/case_slider_image/public/user/12/2.Rebyonok.jpg?itok=dMaaWYGH ID:1367 Сб, 20/02/2010 - 22:53 #1 Анатолий Владим... Не на сайте Был на сайте: 7 лет 11 месяцев назад Зарегистрирован: 16.10.2009 - 21:16 Публикации: 1941 Пневмонической инфильтрации не видно. Вс, 21/02/2010 - 16:48 #2 Vikkur Не на сайте Был на сайте: 4 года 8 месяцев назад Зарегистрирован: 24.09.2009 - 14:34 Публикации: 1749 Не могу исглючить бронхообструктивного синдрома. Виктор. Втр, 23/02/2010 - 09:59 #3 Николай Не на сайте Был на сайте: 2 года 10 месяцев назад Зарегистрирован: 29.05.2009 - 04:38 Публикации: 554 Рентгенологических признаков пневмонии нет, легочная ткань без изменений. О бронхобструкции также речи нет. Пнд, 28/03/2011 - 08:02 #4 гана Не на сайте Был на сайте: 4 года 1 месяц назад Зарегистрирован: 12.01.2011 - 09:43 Публикации: 84 какая то рахитеческая грудная клетка,да и рисунок легочной выражен в прикорневой зоне больше слева, а сердечко - не увеличены левые границы? УЗИ сердца делали? - может врожденная патология?петли кишечника пневматизированы.
Пневмонической инфильтрации не видно.
Не могу исглючить бронхообструктивного синдрома.
Виктор.
Рентгенологических признаков пневмонии нет, легочная ткань без изменений. О бронхобструкции также речи нет.
какая то рахитеческая грудная клетка,да и рисунок легочной выражен в прикорневой зоне больше слева, а сердечко - не увеличены левые границы? УЗИ сердца делали? - может врожденная патология?петли кишечника пневматизированы.